Comunicaciones: Casos clínicos

Absceso perianal: utilidad de la ecografía en la toma de decisiones (Póster)

Ámbito del caso (Atención Primaria, servicios de Urgencias o atención domiciliaria)

Atención Primaria.

Motivos de consulta

Tumoración dolorosa a nivel perianal.

Historia clínica

Antecedentes personales relevantes, anamnesis, exploración física y lugar que ocupa en ella la ecografía

Hombre de 49 años que acude a la consulta para revisión de un absceso perianal cercano al glúteo derecho. Se le pautó hace 48 horas antibioterapia, pero el paciente refiere empeoramiento del dolor que le impide la sedestación y con cambios locales: fluctuante, eritematoso y con aumento de temperatura, sin supuración espontánea y permaneciendo afebril. Se decide realizar ecografía para visualizar la distancia a piel y el contenido de la tumoración y se deriva al paciente a urgencias tras los hallazgos.

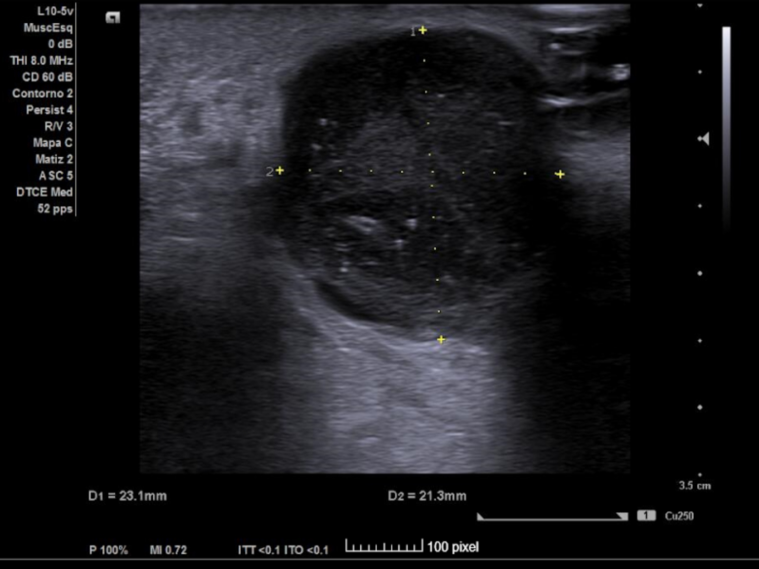
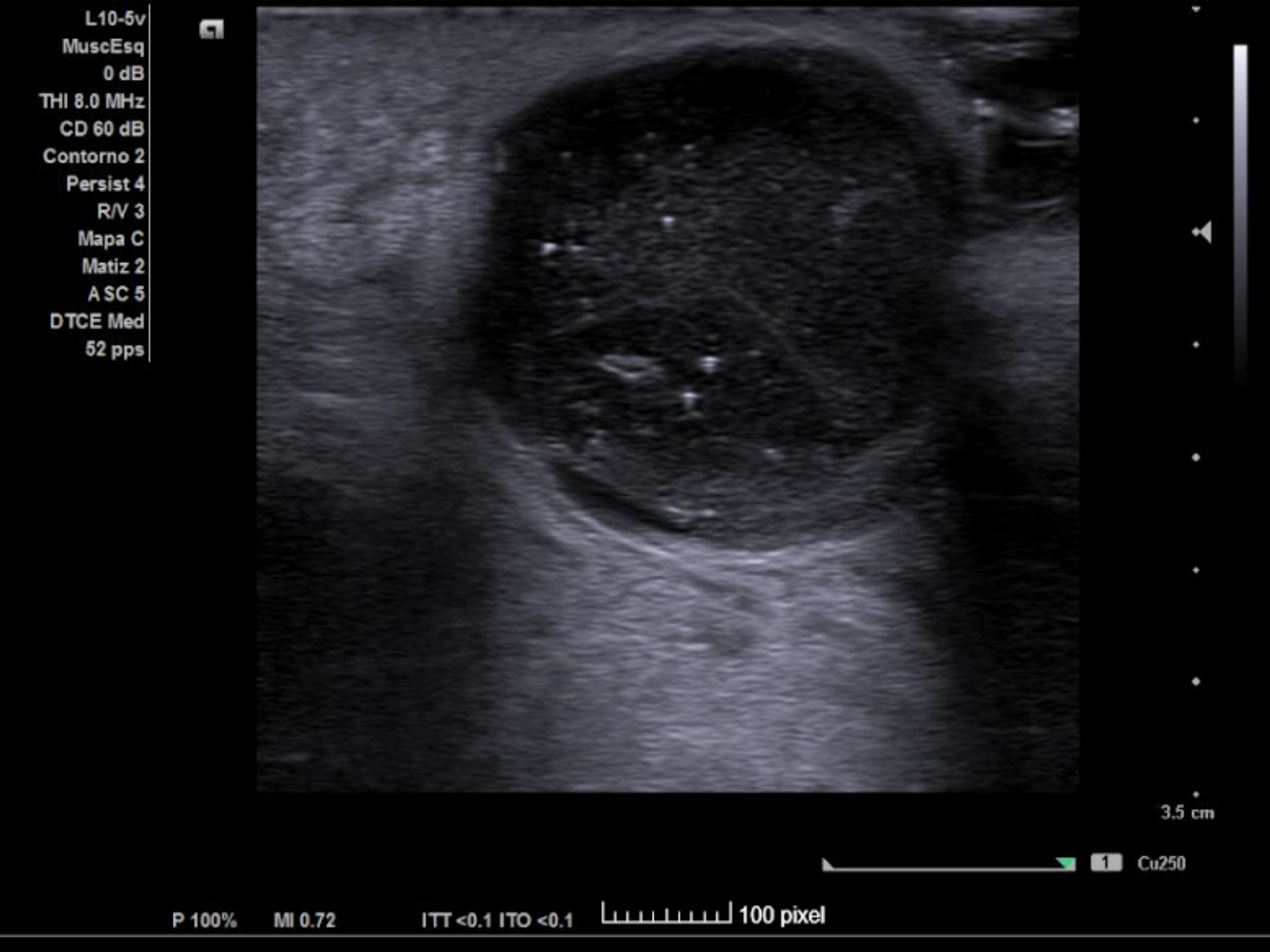
Descripción de los hallazgos ecográficos y las imágenes más relevantes para la resolución del caso

Se realiza ECO POCUS en la que se aprecia un absceso de 23 x 21 mm a menos de 1 cm de profundidad, con fácil acceso a nivel cutáneo y contenido heterogéneo, más anecoico en algunas zonas y poco tabicado.

Juicio clínico, diagnóstico diferencial, concordancia con el hospital (en su caso)

Se remite a Urgencias al paciente, para valoración de drenaje del absceso perianal.

Decisiones adoptadas: tratamiento, planes de actuación

En urgencias, solicitan analítica sanguínea, demostrando leucocitosis con neutrofilia.

Evolución y seguimiento

Valorado por Cirugía General, que decide el drenaje del absceso y al alta pauta antibioterapia, analgesia, medidas físicas y curas locales en su Centro de Salud.

Conclusiones y aplicabilidad para la medicina de familia

La accesibilidad y la longitudinalidad en Atención Primaria permiten apreciar los cambios clínicos en el paciente y tomar decisiones al respecto. La realización de la ecografía nos apoya en la decisión de que se trata de un absceso en una fase que precisa drenaje, facilita identificar su localización y su relación con estructuras cercanas, así como la distancia a piel para realizar el drenaje. Es de utilidad también para el diagnóstico de abscesos no detectados en la exploración física y para reevaluar aquellos que han sido drenados parcialmente y persisten con supuración activa.

 

 


Comunicaciones y ponencias semFYC: 2025; Comunicaciones: Casos clínicos. ISSN: 2339-9333

Autores

Cerezuela Abarca, M Ángeles
CS San Antón. Cartagena
Victoria López, Mar
CS San Antón. Cartagena
Carvajal Sánchez, Irene María
CS San Antón. Cartagena