V Jornadas de Ecografía de la semFYC

9 y 10 de febrero de 2024

Comunicaciones: Casos clínicos

Adenopatías retroperitoneales, un signo guía en el diagnóstico (oral)

Ámbito del caso

Atención Primaria

Motivos de consulta

Dolor lumbar

Historia clínica

Enfoque individual

Paciente varón de 68 años sin antecedentes de interés, fumador de una cajetilla y bebedor de 4 cervezas al día. Consulta por presentar desde hace 2 meses dolor lumbar paravertebral izquierdo, discontinuo, que se irradia hacia zona costal izquierda y abdomen superior.

El dolor es intermitente y mejora flexionando el tronco hacia delante. Asocia astenia, anorexia y síndrome constitucional con pérdida de 8 Kg. Pareja refiere tinte subictérico observado ocasionalmente. La exploración física es anodina. Radiografías y analítica sin hallazgos patológicos.

Hallazgos ecográficos

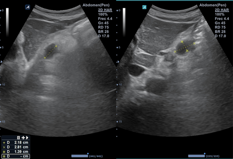
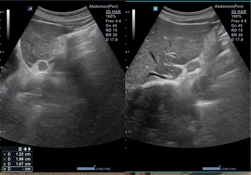
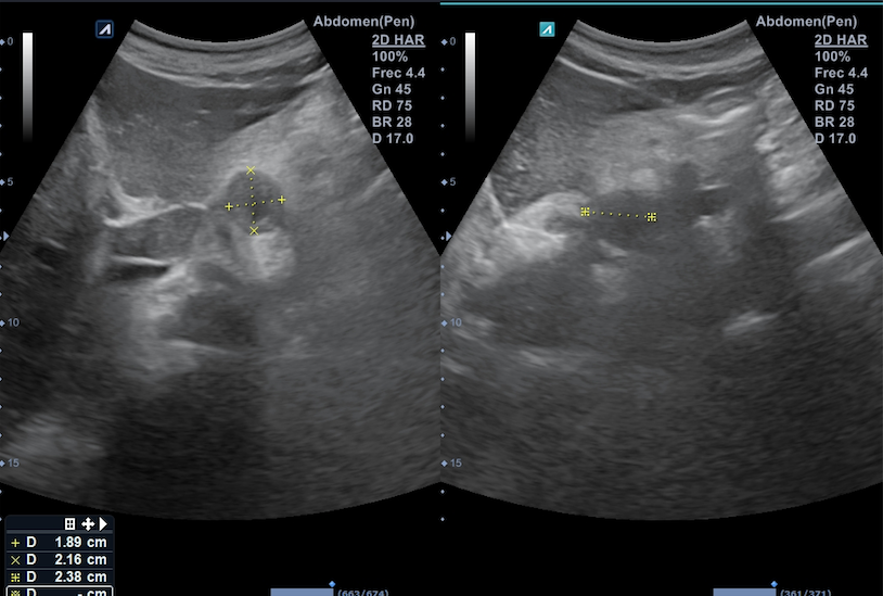
Citamos en consulta para realizar ecografía abdominal destacando a la exploración la presencia de 3 formaciones en retroperitoneo superior, en zona subdiafragmática y mediales al hiato aórtico: la primera a la derecha del tronco celiaco, de aspecto ovalado e isoecogénico de 1,2 x 1,9 cm; la segunda en línea media, debajo del lóbulo caudado, de aspecto hipoecogénico y con zona central de menor densidad de 1,9 x 2,2 cm; la tercera, a la izquierda de esta última de 2,2 x 2,8 cm sugerentes de adenopatías retroperitoneales.

Pruebas complementarias

Se comenta el caso con Alta Resolución de Medicina Interna, quien solicita TAC body, destacando visualización de una imagen sospechosa compatible con neoplasia del esófago distal o fundus gástrico herniado así como adenopatías metastásicas en el ligamento gastrohepático. 

Tras ello, se realiza gastroscopia del paciente con hallazgos endoscópicos sugestivos de neoformación a nivel de cardias que se confirman con Anatomía Patológica llegando al diagnóstico de adenocarcinoma gástrico y de esófago. En PET no se observa captación a otros niveles.

Juicio clínico, diagnóstico diferencial, identificación de problemas

El juicio clínico es adenocarcinoma gástrico y de esófago con afectación ganglionar, concordando las adenopatías retroperitoneales visualizadas en la ecografía con las adenopatías metastásicas en este caso.

El diagnóstico diferencial barajado es el linfoma dada la importante afectación ganglionar del mismo así como su afectación retroperitoneal.

Tratamiento y planes de actuación

El paciente es derivado a Oncología Médica donde comienza tratamiento quimioterápico.

Evolución

Mantiene buena tolerancia al tratamiento. Aún está pendiente de evaluar la respuesta tumoral al mismo.

Conclusiones (y aplicabilidad para la Medicina de Familia)

Destacar nuevamente la aplicabilidad y accesibilidad de esta técnica por el médico de familia, que nos permite en cualquier momento y ante una sospecha diagnóstica ahorrar un tiempo que puede resultar muy valioso para el paciente.

 


Comunicaciones y ponencias semFYC: 2025; Comunicaciones: Casos clínicos. ISSN: 2339-9333

Autores

Sevilla Reyes, María Nazaret
CS II. Ciudad Real
Rivera Alonso, Inés
CS II. Ciudad Real
González Rodríguez, Lorena
CS II. Ciudad Real