V Jornadas de Ecografía de la semFYC

9 y 10 de febrero de 2024

Comunicaciones: Casos clínicos

¡Alerta! Doble carril. Imágenes ecográficas de alta sospecha patológica (póster)

Ámbito del caso

Atención primaria.

Motivos de consulta

Varón de 59 años que consulta a urgencias de Atención Primaria por 2 episodios de dolor en hipocondrio derecho de inicio en la madrugada, el primero hacía 72 horas, de 4-5 horas de duració un EVA 7-8, el segundo la madrugada del día de la consulta, de menor intensidad y de una hora de duración aproximadamente.
Verbaliza orina oscura el día de la consulta y un vómito alimentario.
En el momento de la consulta asintomático.

Historia clínica

Enfoque individual

Afebril.
Abdomen blando y depresible. Murphy dudoso. No signos de irritación peritoneal. Peristaltismo presente. No icterícia de piel ni mucosas.
Se confirma orina colúria.
Como antecedente a destacar en tratamiento con evolocumab por cardiopatía isquémica crónica asociada a dislipémia, se revisan efectos secundarios.
Ante la sospecha de posible cólico hepático se decide realizar una ecografía clínica a pie de cama.

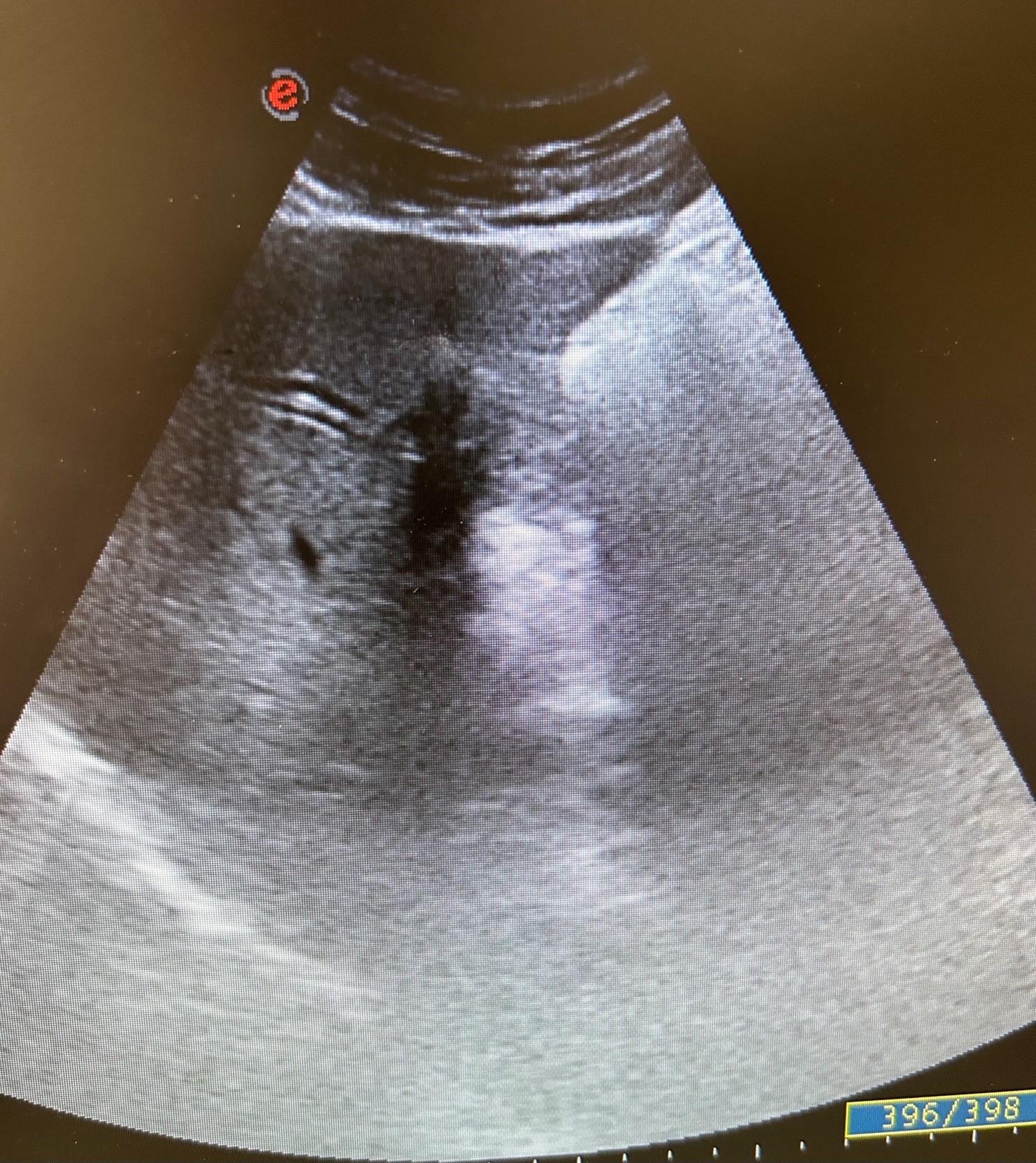
Hallazgos ecográficos

En la ecografía se observa ectasia de la vía biliar intrahepática conformando un patrón de doble carril.
No se visualizan colelitiasis.

Pruebas complementarias

Tira de orina: BI positiva.

Juicio clínico, diagnóstico diferencial, identificación de problemas

Por los hallazgos ecográficos y de la exploración física se decide derivar a urgencias del hospital de referencia ante la sospecha de colecistitis aguda vs coledocolitiasis. En urgencias se realiza ecografía con resultado concordante con la realizada desde Atención Primaria.

Tratamiento y planes de actuación

Además se le realiza una analítica que muestra alteración del perfil hepático y se decide ingreso en planta de gastroenterología para completar estudio con sospecha diagnóstica de cólico biliar complicado. Sospecha de coledocolitiasis.

Evolución

Durante el ingreso se completa estudio con colangioRMN, que no es diagnóstica y TC ABDOMEN: que muestra un proceso neoformativo del colédoco medio compatible con colangiocarcinoma.

Conclusiones (y aplicabilidad para la Medicina de Familia)

La ecografía clínica en Atención Primaria nos ayuda en la toma de decisiones en la consulta diària y en la atención continuada a nuestros pacientes y incluso en el diagnóstico precoz, si estamos alertas a los signos ecográficos de alta sospecha patológica.

Utilitzar la ecografía clínica como en una herramienta de uso diario aumenta la calidad de nuestra práctica clínica.


Comunicaciones y ponencias semFYC: 2025; Comunicaciones: Casos clínicos. ISSN: 2339-9333

Autores

Páez Regadera, Carme
Cap Banyoles. Banyoles. Girona
Pasgonzález Pastor, Carles
Cap Banyoles. Banyoles. Girona
Sinyol Gispert, Berta
Cap Banyoles. Banyoles. Girona