Comunicaciones: Casos clínicos

Algo más que un catarro (Póster)

Ámbito del caso (Atención Primaria, servicios de Urgencias o atención domiciliaria)

Urgencias Hospitalaria.

Motivos de consulta

Tos y fiebre.

Historia clínica

Enfoque individual: antecedentes personales, anamnesis, exploración, pruebas complementarias, etc.

Hombre de 76 años que acude a urgencias por tos y flemas de 7 días de evolución. Desde hace 24 h, fiebre de hasta 39 ºC axilar en domicilio. 

Sin antecedentes personales relevantes de interés salvo HTA en tratamiento con enalapril 10 mg 1 comprimido cada 12 h.

Exploración física:
TA 110/80 mmHg FC 105 lpm Sat 95% basal Temp 38,3 ºC axilar.
Buen estado general. Consciente y orientado. Normohidratado y normoperfundido. Eupneico en reposo. 

  • Tórax: 

A.C.: Rítmico sin soplos
A.P.: Buena ventilación bilateral, roncus dispersos en ambos campos medios.

Pruebas complementarias:
ECG: Taquicardia sinusal a 95 lpm, QRS estrecho, sin alteraciones de la repolarización.

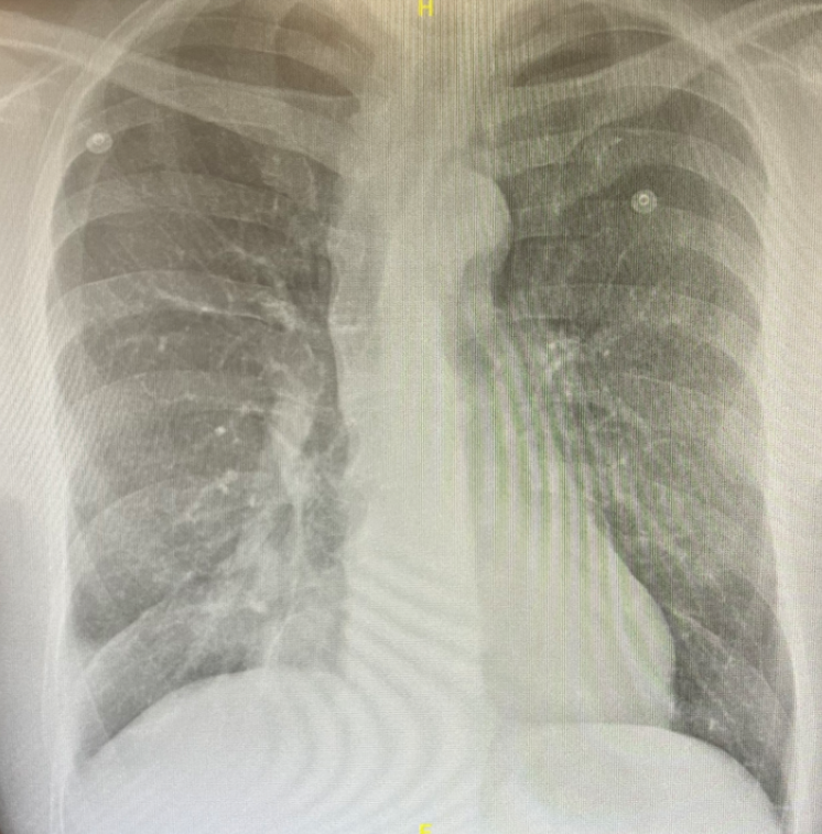
Rx tórax PA: Sin alteraciones pleuropulmonares de interés. Sin cardiomegalia.

AS: leucocitosis 12.000 (N 81% L 12%), PCR 100, PCT 1.6.

Frotis nasofaríngeo negativo para Covid 19, Gripe A y B y VRS.

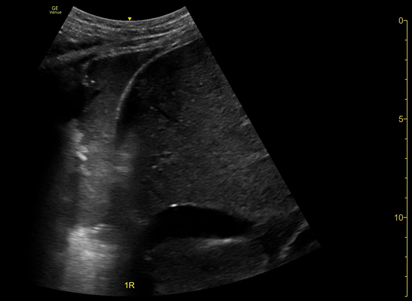
Ecografía pulmonar a pie de cama: Líneas A en ambos ápex y campos pulmonares. Imagen de hepatización pulmonar en base derecha. 

Antigenuria: negativa.

Hemocultivos x2 cursados

Enfoque familiar y comunitario: estudio de la familia y la comunidad (si fuese necesario)

FINE III (Riesgo Moderado).

Juicio clínico, diagnóstico diferencial, identificación de problemas

Neumonía en lóbulo inferior derecho (LID).

Tratamiento y planes de actuación.

Tras resultados de pruebas complementarias y elevación de reactantes de fase aguda en analítica de sangre, se administra primera tanda antibiótica con Ceftriaxona 2 g ev en urgencias para posterior ingreso con Hospitalización a Domicilio (HaD) para terapia endovenosa (TADE).

Evolución

Tras ingreso en HaD la evolución fue favorable con resolución del cuadro agudo.

Conclusiones y aplicabilidad para la medicina de familia

En este caso, la ecografía en la urgencia ayudó a objetivar la condensación neumónica en LID que no se conseguía ver en la Rx torax PA previamente realizada, que junto a la alta sospecha clínica de posible infección respiratoria, ayudó a iniciar el tratamiento antibiótico dirigido y evitar pruebas complementarias innecesarias.

 


Comunicaciones y ponencias semFYC: 2025; Comunicaciones: Casos clínicos. ISSN: 2339-9333

Autores

Oregi Belaustegi, Irati
Hospital de Mendaro. Osakidetza
Ramos García, Alba María
Hospital Bidasoa. Osakidetza. Hondarribia
Erdozáin De Blas, Íñigo
Hospital Bidasoa. Osakidetza. Hondarribia