Comunicaciones: Casos clínicos

Antes me gustaba el senderismo (Póster)

Ámbito del caso (Atención Primaria, servicios de Urgencias o atención domiciliaria)

Atención Primaria.

Motivos de consulta

Gonalgia izquierda de años de evolución que empeora en las últimas semanas.

Historia clínica

Antecedentes personales relevantes, anamnesis, exploración física y lugar que ocupa en ella la ecografía

Mujer de 30 años, hipotiroidea, migrañosa. Acude por gonalgia izquierda de años de evolución que empeora en las últimas semanas. Refiere dolor, sensación de bloqueo e impotencia funcional. Refiere que inició a raíz de un mal giro durante una ruta de senderismo. Fue valorada por esta clínica en varias ocasiones a lo largo de este tiempo, siendo tratada siempre con antiinflamatorios. Acude por aumento de clínica e inicio en parte lateral de rodilla cuando siempre anteriormente fue en parte medial.
Exploración física: rodilla sin aumento de volumen, no derrames ni escoriaciones. Movilidad conservada. Cepillo negativo. Maniobra meniscal interna y externa positivas. Valguización y varización negativas. Zohlen positivo. Resto exploración sin interés.
Se realiza ecografía de rodilla.

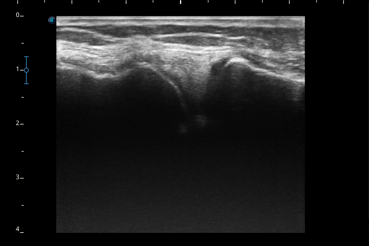
Descripción de los hallazgos ecográficos y las imágenes más relevantes para la resolución del caso

Rodilla sin derrame articular. No se aprecian lesiones en Ligamentos colaterales. Ligamento rotuliano sin hallazgos valorables. Rotura menisco interno y dudosa fisura menisco externo. Tendones rotuliano y cuadricipital normales.

Otras pruebas complementarias realizadas (si existen)

Resonancia magnética confirma rotura cuerno posterior menisco interno.

Juicio clínico, diagnóstico diferencial, concordancia con el hospital (en su caso)

Rotura cuerno posterior menisco interno.

Decisiones adoptadas: tratamiento, planes de actuación

Se cambia de antiinflamatorio, se deriva a traumatología que recomienda manejo conservador.

Evolución y seguimiento

Mejoría clínica con antiinflamatorios, actualmente en lista de espera para rehabilitación.

Conclusiones y aplicabilidad para la medicina de familia

La ecografía permite confirmar el diagnóstico que se sospecha mediante exploración física y ahorra la solicitud de pruebas complementarias.

 


Comunicaciones y ponencias semFYC: 2025; Comunicaciones: Casos clínicos. ISSN: 2339-9333

Autores

Chorniy Rudko, Olga
CS Cuenca II
Gutierrez Rojas, Juan Pablo
Cuenca I