V Jornadas de Ecografía de la semFYC

9 y 10 de febrero de 2024

Comunicaciones: Casos clínicos

Aplicación del protocolo blue (bed lung ultrasoud in emergency) en Atención Primaria. A propósito de un caso de disnea aguda (póster)

Ámbito del caso

Atención Primaria.

Motivos de consulta

Disnea de 4 días de evolución llegando a ser de mínimos esfuerzos y de reposo con el decúbito.

Historia clínica

Enfoque individual

Varón de 51 años. Antecedentes de HTA, tabaquismo y consumo de alcohol.
Hace 2 años abandonó en tratamiento antihipertensivo y actualmente no toma ninguna medicación.
Sat O2 97%.
AC arrítmica a 90 x´.
AP crepitantes en ambas bases.
TA a 200/130.
Realizamos ecografía pulmonar a pie de cama en el Centro de Salud.

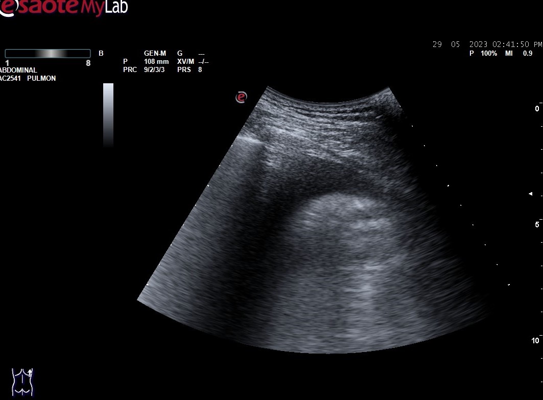
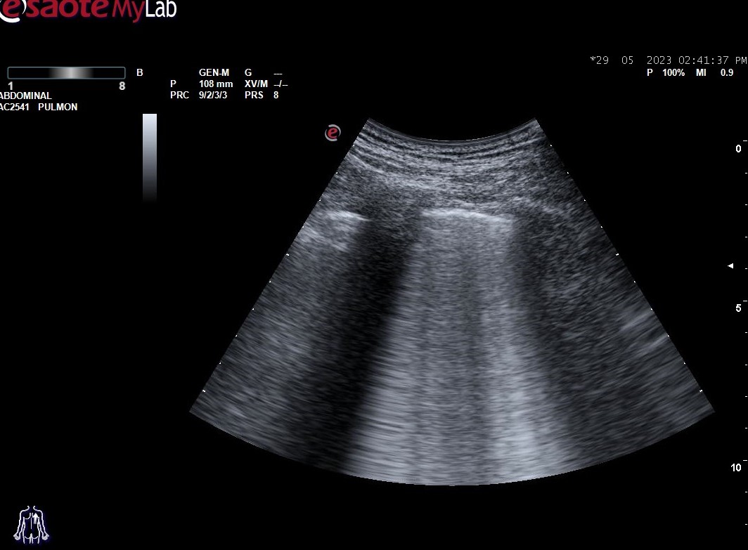
Hallazgos ecográficos

Hallazgos ecográficos: derrame pleural bilateral y abundantes líneas B (más de 3 por espacio intercostal) en ambos 1/3 medios inferiores bilaterales (adjuntamos imágenes).

Pruebas complementarias

ECG: RS 90 x´ y extrasístoles ventriculares. No signos de isquemia.

Juicio clínico, diagnóstico diferencial, identificación de problemas

La disnea produce un cuadro de insuficiencia respiratoria normalmente causada por neumotórax, ASMA/EPOC, neumonía, insuficiencia cardíaca o embolismo pulmonar.

En la ecografía pulmonar observamos unos patrones ecográficos (normal, deslizamiento pleural, líneas A, líneas B, derrame pleural y consolidación pulmonar). Realizando una serie de preguntas dicotómicas sobre estos patrones ecográficos se establece un algoritmo (protocolo BLUE) que permite establecer con alta sensibilidad y especificidad la causa de la disnea mediante un árbol de decisión.

Aplicando dicho protocolo establecemos un diagnóstico ecográfico de presunción de Edema Agudo de Pulmón/Insuficiencia cardíaca.

Tratamiento y planes de actuación

El paciente se deriva a urgencias hospitalarias con un diagnóstico de presunción de primer episodio Insuficiencia Cardíaca y crisis hipertensiva.

Se trató en Atención Primaria con captopril VO y furosemida IV.

Evolución

Ingresa en el servicio de cardiología con los diagnósticos de DSVI 10%, arterias coronarias sin lesiones significativas, Enfermedad Renal Crónica (con un Filtrado Glomerular de 30) e Hipertensión Arterial.

Conclusiones (y aplicabilidad para la Medicina de Familia)

El protocolo BLUE es utilizado normalmente en servicios de urgencias para valorar al paciente con disnea aguda, estableciendo el diagnóstico con una precisión superior al 90%.

Creemos que la aplicación del protocolo BLUE es de gran utilidad en la Atención Primaria al ser causa frecuente de consulta.

En el caso descrito, la ecografía pulmonar fue de gran ayuda para el diagnóstico al tratarse de un paciente sin patología cardíaca conocida.


Comunicaciones y ponencias semFYC: 2025; Comunicaciones: Casos clínicos. ISSN: 2339-9333

Autores

Catrain Ostáriz, Luis Martín
CS Lavapiés. Madrid
Martín Santervás, Sandra
CS Lavapiés. Madrid
Gavilan Martinez, Fernando
CS Lavapiés. Madrid