Comunicaciones: Casos clínicos

Bicitopenia, eco. El bazo tiene 3D (Póster)

Ámbito del caso (Atención Primaria, servicios de Urgencias o atención domiciliaria)

Atención Primaria.

Motivos de consulta

Control FRCV.

Historia clínica

Antecedentes personales relevantes, anamnesis, exploración física y lugar que ocupa en ella la ecografía

Mujer de 63 años de edad sin alergias, extabaquismo, dislipemia, Pielonefritis aguda, Arteriopatia Periferica con Claudicacion intermitente en 2019. En tratsamiento Atorvastatina 10 mg/24 h.

Acude a consulta para control de FRCV. Aqueja poliartralgias con dolor nocturno.

EG, TA: 110/62 mmHg, 70 lpmFR: 24 rpm Tª: 36 ºC.

Abdomen blando y depresible, dolor fosa ilíaca derecha (fid) sin clara defensa, murphy negativo, peristaltismo presente.

No adenopatías palpables.

Descripción de los hallazgos ecográficos y las imágenes más relevantes para la resolución del caso

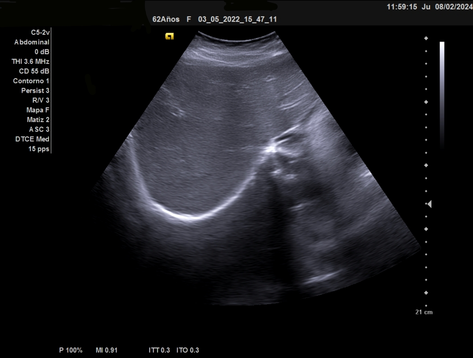
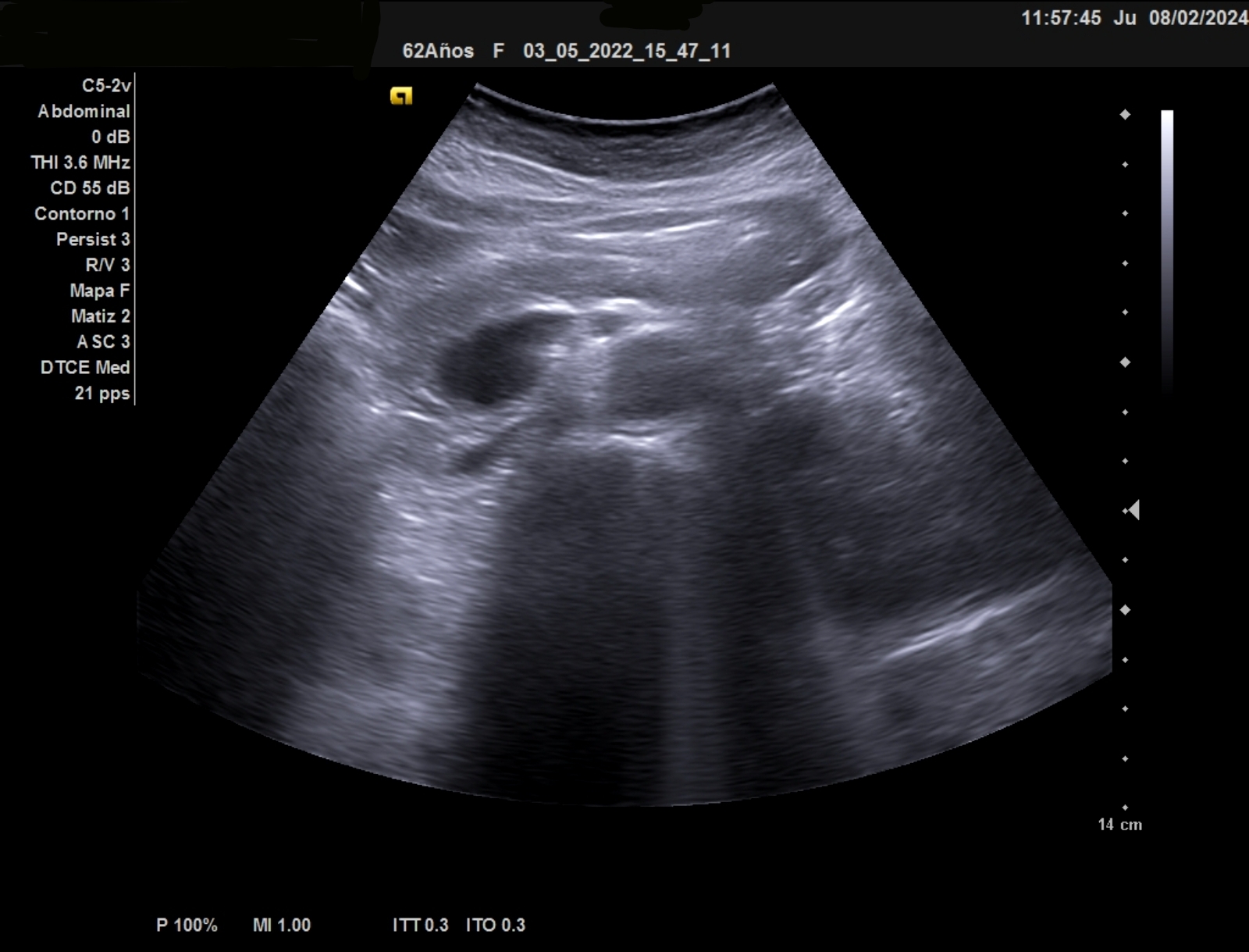
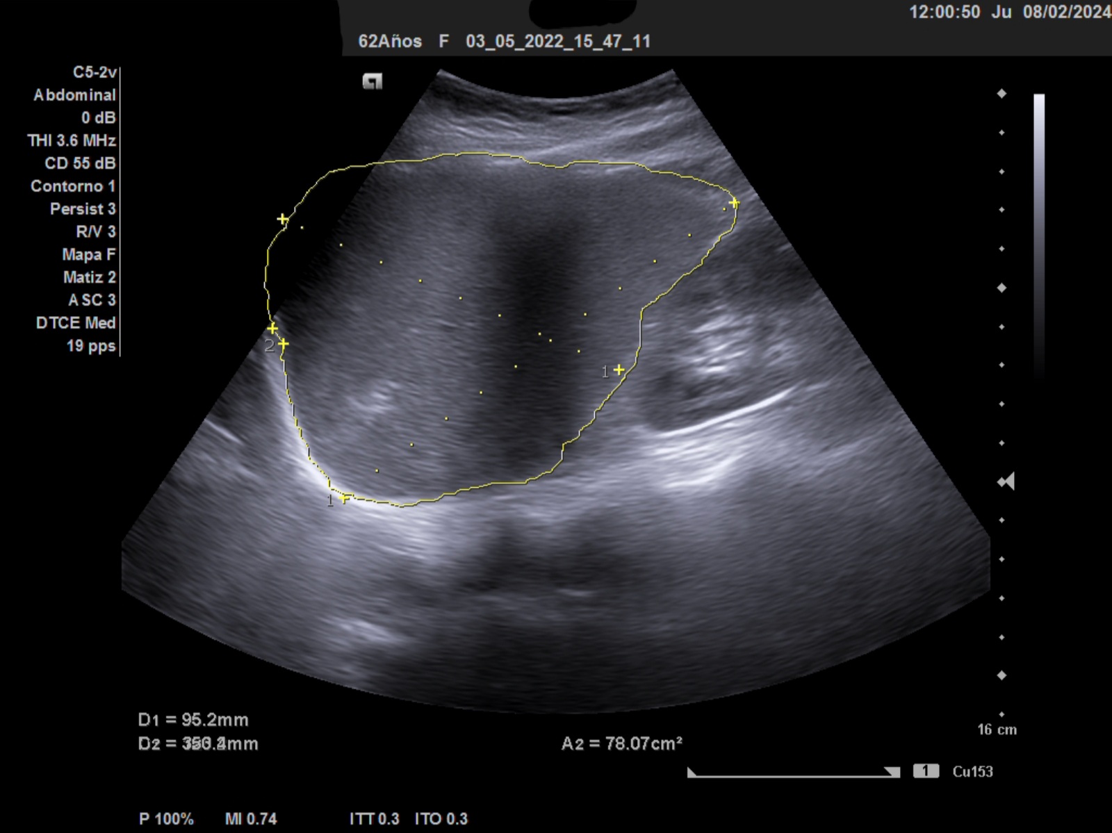
Ecografía clínica: Esplenomegalia con bazo de 12,6 mm eje longitundinal, 9,5 mm transversal y un area 71 cm2 (patológico por encima de 55)

Otras pruebas complementarias realizadas (si existen)

Analítica con 2000 Leucos con 1170 Neutrófilos, 580 Linfocitos. 120000 Plaquetas sin alteración serie roja. LDL 63, HDL 65, CT 135, TG 33. No alteración perfil hepático.

Confirmados hallazgos al mes con Reticulocitos 2,26%, PCR 0,22 mg/dL, ANA (+) 1/160 patrón nuclear homogéneo.

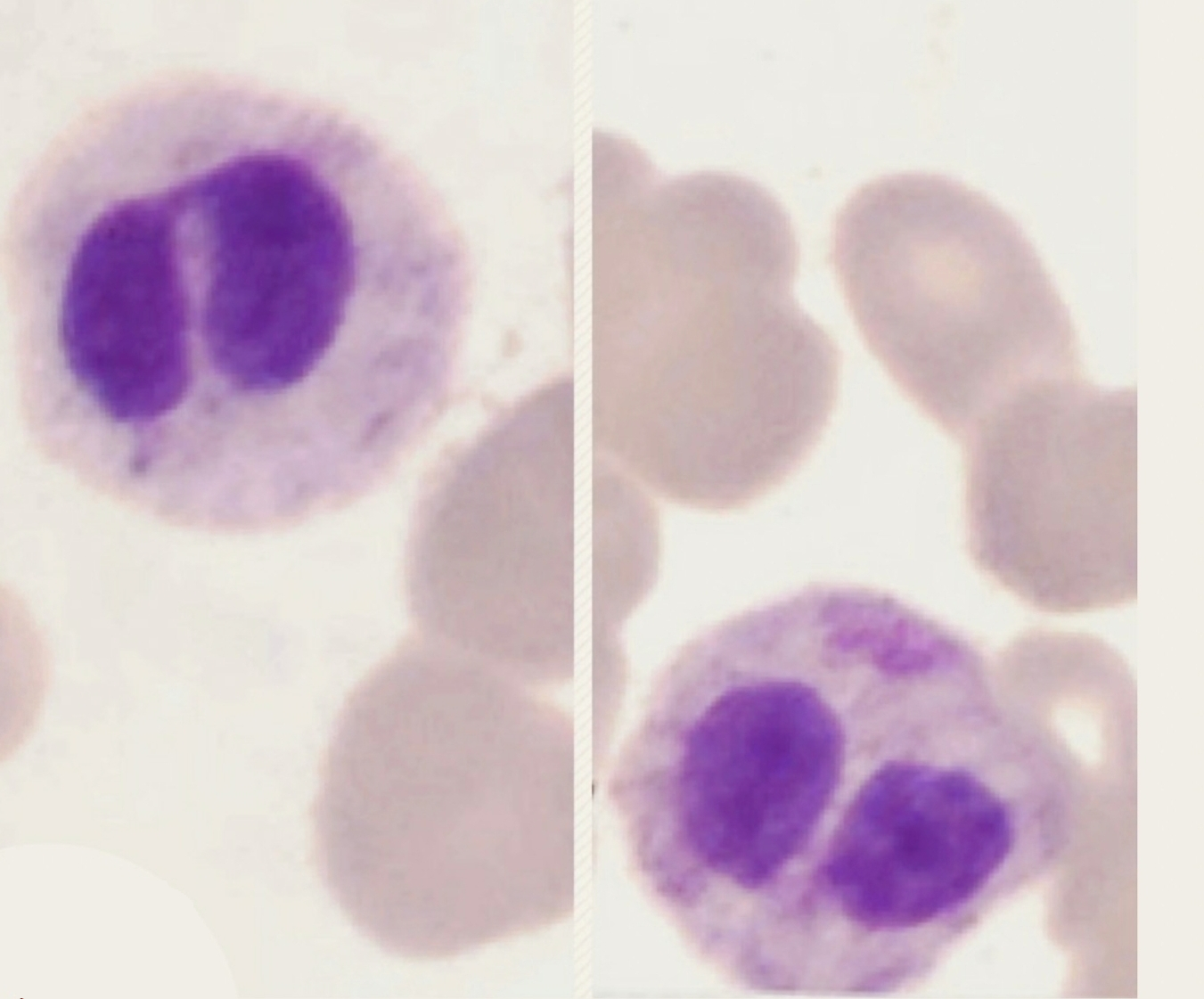
Extensión de sangre perifética: Linfopenia intensa, neutropenia confirmada con aisladas PMN PsedudoPelger. No agregados plaquetarios.

Juicio clínico, diagnóstico diferencial, concordancia con el hospital (en su caso)

Leucopenia con Neutropenia y Trombopenia con Esplenomegalia.

La ecografía clínica debe ser exhaustica, a nivel de hipocondrio izquierdo debe localizarse el bazo con inspección del parénquima, bordes e hilio, debe medirse los 2 diámetros y a eso añadir el area. Se considera patoñogico un diámetro por encima de 12 mm eje longitudinal, >5mm eje transversal y el area por encimad e 55 cm2. En casos de gran esplenomegalia orientará hacia etiología infecciosa: parasitaria, vírica o bacteriana.

Decisiones adoptadas: tratamiento, planes de actuación

Remitida preferente a consulta de hematología quien confirma los hallazgos del Centro de Salud.

Evolución y seguimiento

Hematología amplía el estudio incluyendo punción de médula osea con población linfocitaria B de fenotipo normal sin restricción de cadenas ligeras.

Conclusiones y aplicabilidad para la medicina de familia

Ante la detección de una alteración en el hemograma como la bicitopenia, nos planteamos la ecografía para complementar la ananmesis y la exploración física. La ecografía abdominal debe ser sistemática y exhaustica, inspeccionando las visceras en su totalidad. En el hipocondrio izquierdo puede ser una compleja la visualización completa del bazo. Deben medirse en sus 3 ejes incluyendo el área.


Comunicaciones y ponencias semFYC: 2025; Comunicaciones: Casos clínicos. ISSN: 2339-9333

Autores

Roca Pujol, Jaime
CS Martí Serra. Marratxí
San Juan Almenara, Mar
CS La Laguna - Mercedes. San Cristobal de La Laguna. Santa Cruz de Tenerife
Gracia Agrela, Celia
Hospital Dr Peset. Valencia