Comunicaciones: Casos clínicos

Biometría fetal en Atención Primaria (Póster)

Ámbito del caso (Atención Primaria, servicios de Urgencias o atención domiciliaria)

Atención Primaria.

Motivos de consulta

Dolor abdominal

Historia clínica

Antecedentes personales relevantes, anamnesis, exploración física y lugar que ocupa en ella la ecografía

Mujer de gestante 34 años, sin antecedentes personales de interés, consulta por dolor abdominal y sangrado vaginal tras esfuerzo en el domicilio. Dado que disponemos de ecografía, se plantea la exploración por vía abdominal para valorar el estado del feto.

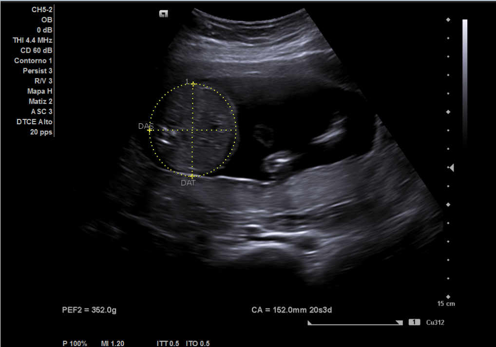
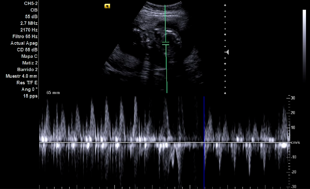
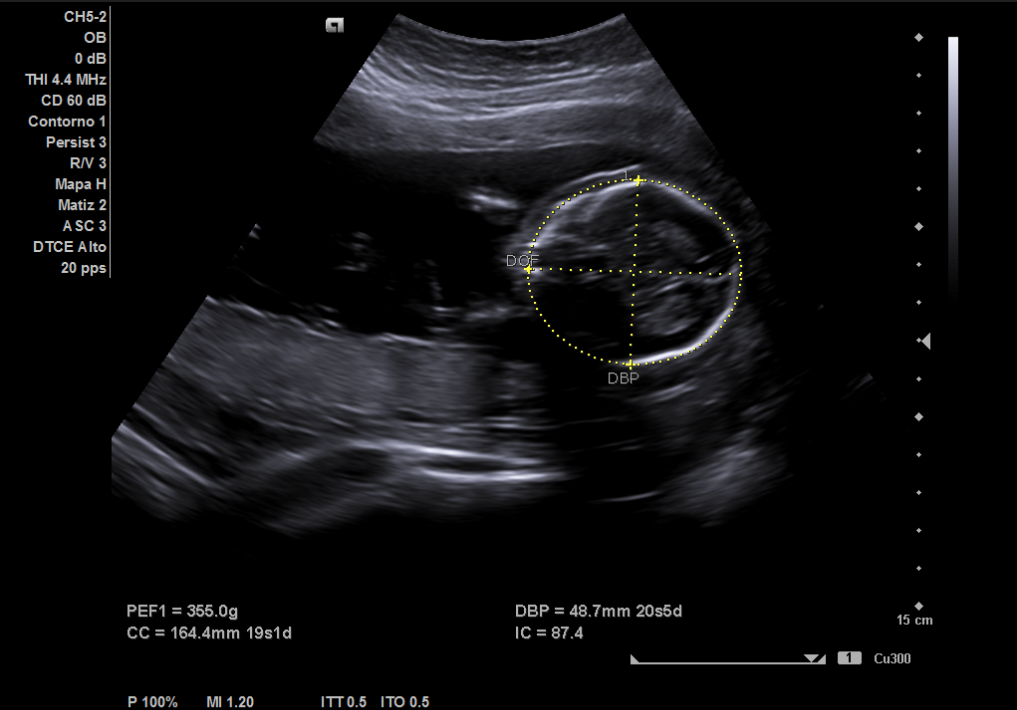
Descripción de los hallazgos ecográficos y las imágenes más relevantes para la resolución del caso

Ecografía: posición fetal con cabeza hacia la izquierda, bolsa más profunda de líquido amniótico de 7 centímetros, actividad cardíaca fetal normal (imagen 3), placenta ubicada en posición anterior, feto único. Se realiza medición de perímetro cefálico y diámetro biparietal (imagen 1) usando software de ecógrafo, así como del perímetro abdominal (imagen 2), estimando una edad gestacional entre 19 semanas y 1 día (cefálico) y 20 semanas y 3 días (abdominal).

Otras pruebas complementarias realizadas (si existen)

No.

Juicio clínico, diagnóstico diferencial, concordancia con el hospital (en su caso)

Gestación normal. La ecografía realizada por Ginecología confirma una edad gestacional de 20 semanas y 1 día, realizada ese mismo día.

Decisiones adoptadas: tratamiento, planes de actuación

Se deriva a la paciente a Urgencias del Hospital Maternal de Murcia, para valorar el sangrado y continuar con el seguimiento que la paciente ya lleva allí. Se cita a la paciente al día siguiente para comentar el resultado.

Evolución y seguimiento

En el momento de presentación de este caso, la paciente presenta un embarazo de evolución normal, estando en la semana 30 de embarazo, sin haber vuelto a presentar otras incidencias.

Conclusiones y aplicabilidad para la medicina de familia

La exploración biométrica fetal por medio de ecografía realizada por un médico de familia puede ser una herramienta adecuada en la evaluación de la paciente gestante y el feto, ayudando a realizar un seguimiento del embarazo normal desde la consulta de Atención Primaria, derivando solo aquellos casos que sean urgentes y precisen valoración por el especialista hospitalario. En este caso, dada la poca experiencia del explorador, se optó por medir solo el perímetro cefálico y el abdominal, así como medir la actividad cardíaca fetal, para que la paciente gestante pueda comprobar el estado de su hijo; la biometría fetal nos permite conocer con certeza en qué punto del embarazo se está, tomando las medidas oportunas. No obstante, el primer trimestre es el más óptimo. Se precisa valoración del ginecólogo en casos como el sangrado vaginal, y eso nos puede servir para mejorar nuestra técnica.


Comunicaciones y ponencias semFYC: 2025; Comunicaciones: Casos clínicos. ISSN: 2339-9333

Autores

De La Ossa Guirao, Isidro
CS Murcia-Vistabella. Murcia
Alcázar Pérez, Cristina
CS Molina Sur-Jesús Marín. Molina de Segura, Murcia