V Jornadas de Ecografía de la semFYC

9 y 10 de febrero de 2024

Comunicaciones: Casos clínicos

Bulto en el cuello (póster)

Ámbito del caso

Atención Primaria

Motivos de consulta

Paciente que acude por palpación nódulo submandibular derecho.

Historia clínica

Enfoque individual

Paciente de 75 años sin alergias ni antecedentes a destacar. Acude a nuestro centro por palpación de nódulo submandibular derecho indoloro de una semana de evolución. No clínica infecciosa asociada. Se palpa nódulo de 1 cm no adherido a planos profundos, no fluctuante y no doloroso, de carácter duro pero elástico, sin otras lesiones colindantes. La exploración otorrinolaringológica es normal.

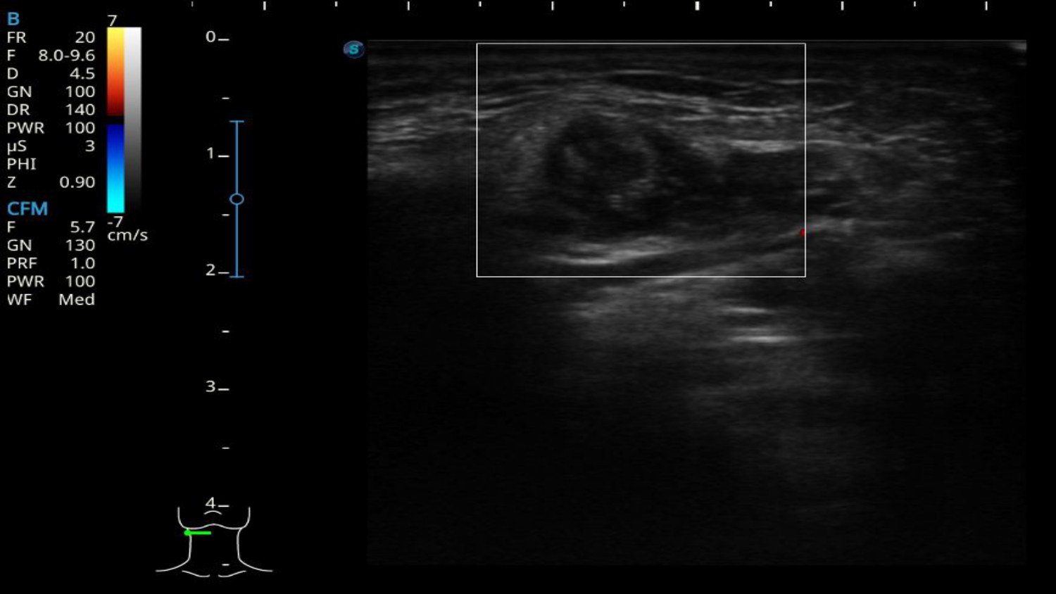
Hallazgos ecográficos

Se realiza ecografía que muestra imagen heterogénea redondeada encapsulada de 1 cm de diámetro, con discreta vascularización periférica, sin vascularización central a nivel de glándula submandibular derecha que podría ser compatible con adenoma pleomorfo. No se visualiza dicha imagen en región contralateral.

Pruebas complementarias

Se deriva para realización de resonancia magnetica (RM).

Juicio clínico, diagnóstico diferencial, identificación de problemas

Dada la sospecha de tumoración benigna pero con capacidad de transformarse en carcinoma maligno o tumoración maligna, solicitamos RM para realizar diagnóstico diferencial (adenoma pleomorfo, carcinoma mucoepidermoide bajo grado o linfoma). La RM concluye inflamación ganglionar submandibular sin lesión de malignidad.

Tratamiento y planes de actuación

Se hace seguimiento desde Atención Primaria.

Evolución

Resolución de la lesión.

Conclusiones (y aplicabilidad para la Medicina de Familia)

El adenoma pleomorfo de parótida, es uno de los tumores de glándulas salivales más frecuentes, de características benignas, con indicación de exéresis por riesgo de malignización con el paso de los años. La utilización de la ecografía a nivel de Atención Primaria nos permite detectar posibles tumoraciones y poder tomar decisiones en nuestro centro o valorar derivar al paciente a otros especialistas. Además, nos permite realizar seguimiento en consulta.
 
 
 

Comunicaciones y ponencias semFYC: 2025; Comunicaciones: Casos clínicos. ISSN: 2339-9333

Autores

Leon Prieto, Claudia Natali
EAP 7 Mataró
Abizanda Saro, Adriana
EAP 7 Mataró
Bustamante Abril, Gloria
Cap Guineueta. Barcelona