V Jornadas de Ecografía de la semFYC

9 y 10 de febrero de 2024

Comunicaciones: Casos clínicos

Cistoadenoma seroso de ovario en mujer de 72 años (póster)

Ámbito del caso

Atención Primaria 

Motivos de consulta

Meteorismo y distensión abdominal

Historia clínica

Enfoque individual

Mujer de 72 años con hipertensión arterial, hernia de hiato y apendicectomizada que consulta por meteorismo y distensión abdominal tras ingesta. No otra sintomatología sobreañadida.

En la exploración física: se palpa masa abdominal con bordes definidos a 2 cm supraumbilical, que impresiona de aumento de altura uterina citamos una ecografía en el centro de salud.

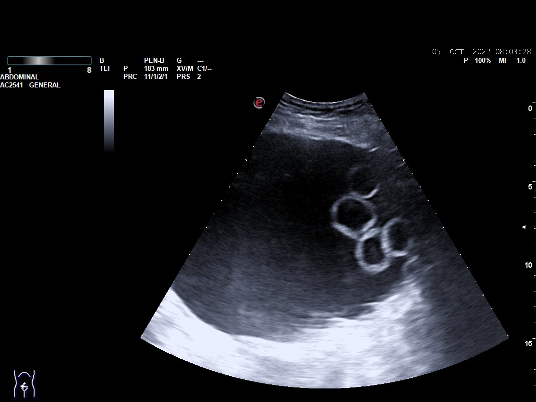
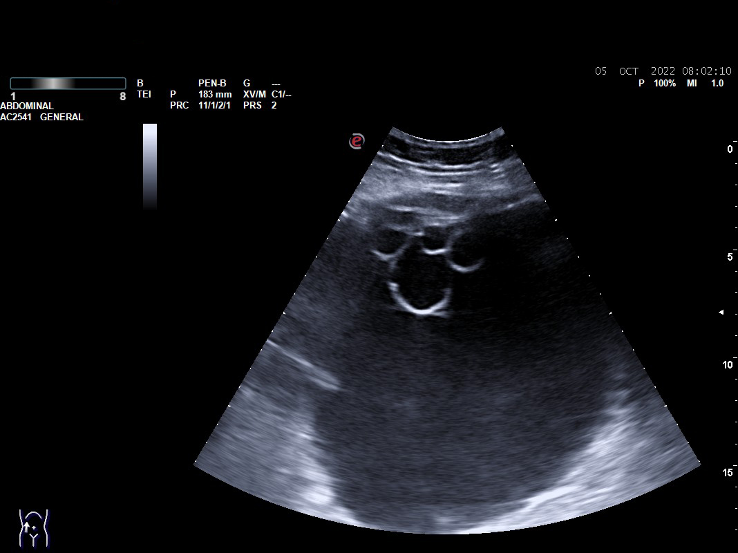
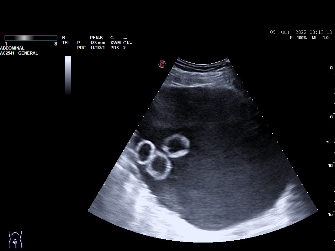
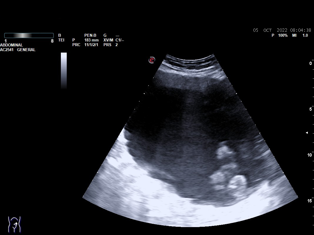
Hallazgos ecográficos

Objetivamos formación quística compleja tabicada de 17 x 10 cm con cámaras en su interior que parece depender de ovario, sin vascularización. Presencia de líquido libre en Douglas.  

Con sospecha de formación anexial se deriva a Urgencias de Ginecología para valoración: exploración ginecológica normal y en Eco-Doppler-Transvaginal confirman formación multicameral sonoluscente localizada en zona central de pelvis, suprauterina hasta un través por encima de ombligo, ocupando toda la pelvis de 176 x 107 mm con múltiples cámaras en polo superior derecho. No se visualiza líquido libre en hemiabdomen superior, no impresiona de carcinomatosis  ni de dilatación de pelvis renales. Líquido libre en Douglas moderado. Sin ascitis.

Pruebas complementarias

Dados los hallazgos ecográficos se programa cirugía.

Juicio clínico, diagnóstico diferencial, identificación de problemas

Se realiza histerectomía y doble anexectomía con omentectomía y lavado peritoneal y en resultados de Anatomía Patológica se confirma: CISTOADENOMA SEROSO DE OVARIO.

Tratamiento y planes de actuación

El previo.

Evolución

La paciente ha evolucionado favorablemente tras la cirugía.

Conclusiones (y aplicabilidad para la Medicina de Familia)

Los cistoadenomas serosos o mucinosos se encuentran entre los tumores benignos más frecuentes de ovario. Pared delgada, uni o multiloculares entre 5-20 cm. La mayoría de estos, asintomáticos y su hallazgo es incidental con el examen pélvico o ecográfico. al crecer puede causar presión, dolor, distensión, síntomas urinarios e incluso torsión ovárica. No existe ningún consenso aceptado sobre la clasificación del riesgo de malignidad de las masas anexiales. Además, existe gran variabilidad tanto en la adquisición de la imagen como en la interpretación. Existe una clasificación americana emergente para estandarizar los hallazgos ecográficos (O-RADS «Ovarian- Adnexial Reporting and Data System») pero aún no es ampliamente utilizada. Dada la complejidad de los diagnósticos no invasivos, muchas de las pacientes sometidas a cirugía para excluir malignidad tendrán una masa benigna. Pero el beneficio de la confirmación diagnóstica supera el riesgo de la potencial morbilidad de la cirugía.
 
 
 
 

Comunicaciones y ponencias semFYC: 2025; Comunicaciones: Casos clínicos. ISSN: 2339-9333

Autores

Jiménez Martín, Patricia Irene
CS Sector III. Getafe. Madrid
Sanz Velasco, Carmelina
CS Sector III. Getafe. Madrid
García Navas, Juan Pedro
CS Sector III. Getafe. Madrid