V Jornadas de Ecografía de la semFYC

9 y 10 de febrero de 2024

Comunicaciones: Casos clínicos

Cuidado con los dolores (oral)

Ámbito del caso

Atención Primaria.

Motivos de consulta

Mujer de 77 años, control anual de HTA, buen control sin tratamiento (suspendió tiazida hacia meses por buen control) y unicamente destaca una GGT:181, resto de parametros normales. Refiere molestia lumbar y cadera izquierda desde una caída hacía 5 meses por la que ha precisado tomar paracetamol. Refiere también astenia sin clínica digestiva ni biliar.

Historia clínica

Enfoque individual

  • Antecedentes personales: No alérgica, hipertensión arterial.
  • Anamnesis: Paciente acude por persistencia de coxalgia, que aumenta con movimientos y aprovecha para hacer un control analítico anual. Afebril. Pérdida de peso no cuantificada.
  • Exploración física: Lasègue negativo bilateral, no deformidades, marcha antiálgica, impingement negativo, resto de exploración sin datos de patología.

Se solicita confirmación analítica tras suspender farmacos y ampliamos marcadores hepáticos, proteinograma, Rx de cadera y columna lumbar y citamos paciente para realizar Ecografía en atención primaria.

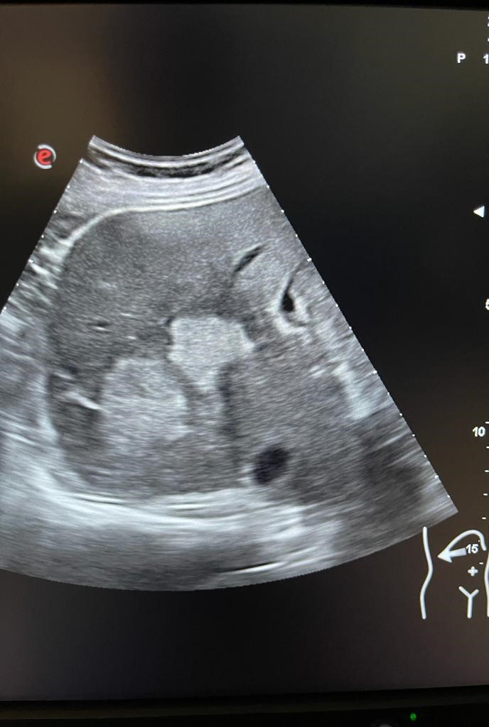
Hallazgos ecográficos

Se aprecia hígado heterogéneo con múltiples LOES hepáticas hiperecogénicas (una de ellas de unos 7x7 cm), sin captación de doppler. Al menos otras 2 LOES de menor tamaño presentan halo hipoecoico. Vesícula replecionada de contornos lisos y sin litiasis en su interior. Ambos riñones visualizados de tamaño normal y sin datos de hidronefrosis.

Pruebas complementarias

Analítica: GGT 185 y neutrofília. Confirmación con GGT: 214 y FA: 215, resto normal.

Rx pelvis: borrado de corticales en cresta ilíaca izquierda.

Juicio clínico, diagnóstico diferencial, identificación de problemas

Coxalgia mecánica vs fractura pelvis vs metástasis ósea.

Tratamiento y planes de actuación

Se decide pedir ecografía reglada para valorar estudio posterior. Ecografía confirma sospecha de LOES intrahepáticas. Desde radiología amplian estudio con TAC: lesión ósea lítica con criterios de agresividad expansiva con masa de partes blandas en vertiente posterior de pala ilíaca izquierda.

Evolución

Se explican hallazagos y se propone plan diagnóstico. Se realiza estudio llegando al diagnóstico de:

  1. Mieloma multiple por biopsia medular con presencia de una banda monoclonal con movilidad en la fracción beta-2. Gammapatía monoclonal IgG-Kappa.
  2. Afectación metastásica hepática, pulmonar, adenopática supra e infradiafragmáticas y óseas.

Se plantean alternativas terapéuticas decidiéndose manejo paliativo.

Conclusiones (y aplicabilidad para la Medicina de Familia)

La ecografía en Atención Primaria puede ser un apoyo diagnóstico para sospecha clínica y analítica de neoplasias, contribuyendo así a adelantar el estudio de las mismas y aumentar la posibilidad de tratamiento exitoso. Otra vertiente interesante es la accesibilidad y disponibilidad de ecografía en Atención Primaria, reduciendo tiempos de espera y incertidumbre para las pacientes.


Comunicaciones y ponencias semFYC: 2025; Comunicaciones: Casos clínicos. ISSN: 2339-9333

Autores

Meis Piñeiro, Xurxo
CS Ortuella. Ortuella
Méndez Sampedro, Tomás ángel
CS Ortuella. Ortuella
Prieto Boveda, Ana
CS Ortuella. Ortuella