V Jornadas de Ecografía de la semFYC

9 y 10 de febrero de 2024

Comunicaciones: Casos clínicos

De la consulta de Atención Primaria al quirófano (póster)

Ámbito del caso

Atención Primaria y Servicio de Urgencias. 

Motivos de consulta

Dolor abdominal en hemiabdomen derecho y náuseas.

Historia clínica

Enfoque individual

Varón de 42 años diabético tipo 2 en tratamiento con Metformina sin otros antecedentes de interés. 

Acude al Servicio de Urgencias hospitalarias por dolor abdominal en hemiabdomen derecho y náuseas sin otra sintomatología asociada. A la exploración física, destaca únicamente leve dolor a la palpación de hipocondrio derecho, el resto de la exploración es anodina. Como pruebas complementarias se realiza una analítica sanguínea, un estudio de orina, un electrocardiograma y una radiografía de tórax y de abdomen, siendo el resultado de todas ellas normal excepto una elevación de 14.100/mcl leucocitos. Se pauta 1 ampolla de paracetamol intravenoso y ante la mejoría clínica del paciente y la normalidad de las pruebas complementarias se cataloga como cólico biliar no complicado y se decide alta domiciliaria.

Hallazgos ecográficos

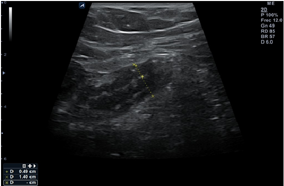
Al día siguiente el paciente acude a su Centro de Salud ya que persiste el dolor abdominal localizado en flanco derecho. A la exploración física destaca dolor la palpación fosa ilíaca derecha (FID) siendo más intenso a la descompresión. Se realiza ecoscopia dirigida con sonda lineal de alta frecuencia donde se visualiza en FID lo que parece un apéndice engrosado (14 milímetros), hipoecogénico, con paredes gruesas (hasta 5 milímetros) no compresible, grasa mesentérica periapendicular hiperrefrigente que se moviliza en bloque y pequeña cantidad de líquido libre periapendicular, con Blumberg ecográfico positivo. (Imagen 1)

Juicio clínico, diagnóstico diferencial, identificación de problemas

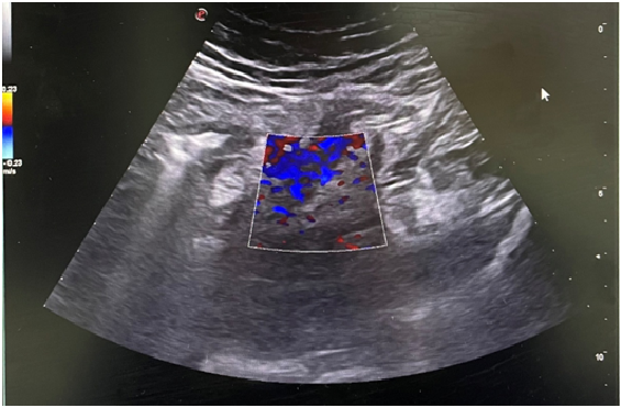
Ante la sospecha de apendicitis aguda se deriva al paciente a Urgencias hospitalarias para ser valorado por el Servicio de Cirugía, donde se vuelve a realizar ecografía de abdomen y se observa, apéndice veriforme en FID, calibre hasta 12 milímetros, con ligeros cambios inflamatorios en el mesoapéndice y flogísticos en Doppler color, asociado a Blumberg ecográfico. (Imagen 2)

Tratamiento y planes de actuación

Los hallazgos de ambas ecografías son concordantes con una apendicitis aguda por lo que finalmente se realizó una apendicectomía laparoscópica sin incidencias.

Conclusiones (y aplicabilidad para la Medicina de Familia)

La disponibilidad de esta técnica mejora y completa los resultados de la exploración física tradicional y permite al médico de familia ser más resolutivo frente a numerosos problemas que a afectan a sus pacientes.


Comunicaciones y ponencias semFYC: 2025; Comunicaciones: Casos clínicos. ISSN: 2339-9333

Autores

Díaz Torregrosa, Rocío
CS Pio XII. Ciudad Real