V Jornadas de Ecografía de la semFYC

9 y 10 de febrero de 2024

Comunicaciones: Casos clínicos

De la imagen al diagnóstico (póster)

Ámbito del caso

Atención Primaria

Motivos de consulta

Astenia

Historia clínica

Enfoque individual

Varón de 56 años que consulta porque desde hace un mes presenta astenia generalizada, sin otra sintomatología acompañante.

Exfumador, hipertensión arterial, hipercolesterolemia, hipertrofia benigna de próstata, pendiente de colonoscopia por rectorragia ocasional. Tratamiento crónico: amlodipino/valsartán 5/160 mg, rosuvastatina 10 mg y tamsulosina 0.4 mg.

Exploración física: tensión arterial 190/116 mmHg, 78 lpm, temperatura 37ºC. Buen estado general, normocoloreado y normohidratado. Auscultación cardiopulmonar normal. Abdomen blando y depresible sin signos de defensa ni de irritación peritoneal. Puño-percusión renal bilateral negativa. 
Se realiza ecografía clínica que es concluyente para el diagnóstico.

Hallazgos ecográficos

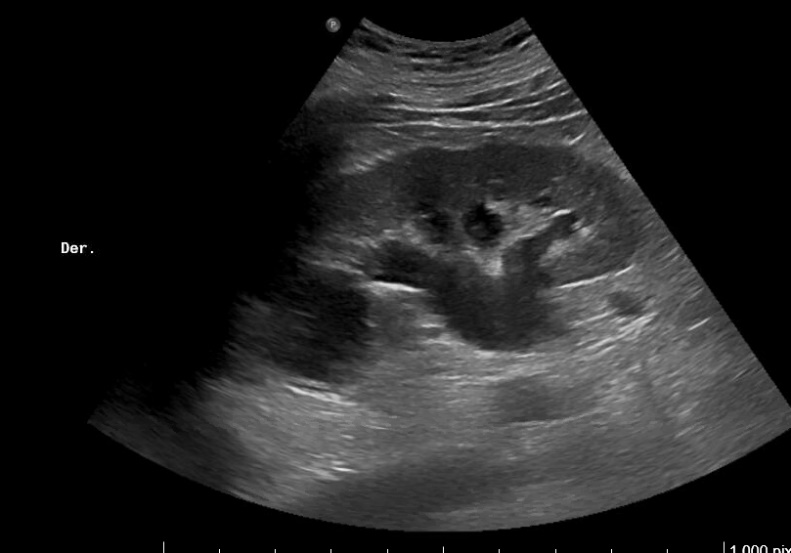
Imagen 1. Riñón derecho: hidronefrosis grado II. Tamaño 11.2 cm.

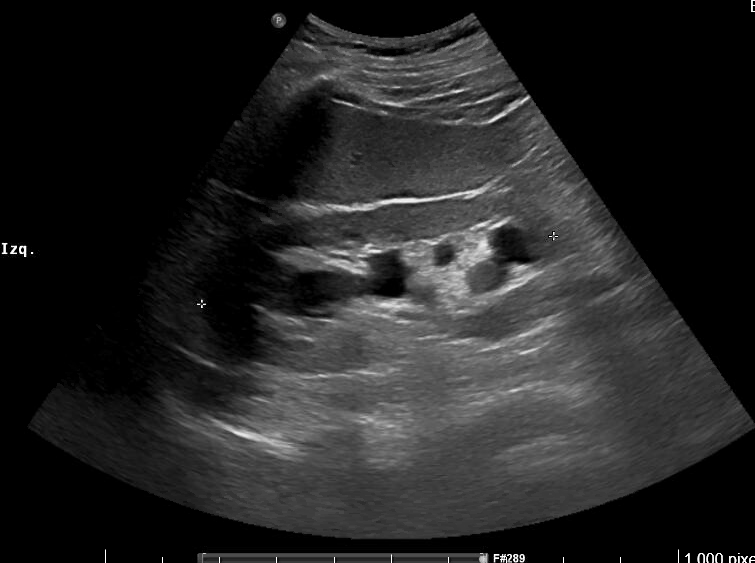
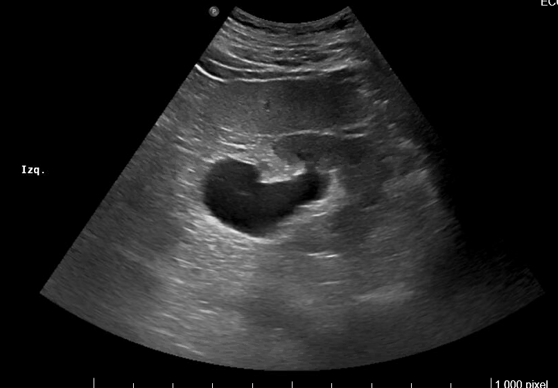
Imágenes 2 y 3. Riñón izquierdo: hidronefrosis grado II. Disminución del grosor cortical. Tamaño 11.5 cm.

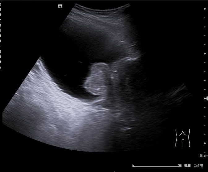
Imagen 4. Ecografía de vejiga y próstata: Corte sagital. Vejiga distendida con paredes engrosadas. Crecimiento del lóbulo medio prostático que impronta en vejiga. Volumen aproximado de 127 cc.

Pruebas complementarias

Se solicita analítica sanguínea para valorar posible síndrome anémico (sospechado por las pérdidas digestivas).

Creatinina 3.96 mg/dL, filtrado glomerular estimado CKD-EPI 15.87 ml/min (creatitina previa 0,95mg/dl y filtrado glomerular 89.65 ml/min), antígeno prostático 10.30 ng/ml, hemoglobina 9.5 mg/dL, hematocrito 25.9%.

Juicio clínico, diagnóstico diferencial, identificación de problemas

Insuficiencia renal aguda obstructiva secundaria a hipertrofia benigna de próstata. 

Diagnóstico diferencial: insuficiencia renal aguda de origen prerrenal, obstructivo o parenquimatoso.

Tratamiento y planes de actuación

Ingreso urgente en Urología por no mejoría de función renal tras sondaje vesical.

Tratamiento definitivo: intervención prostática mediante enucleación láser holmio.

Evolución

Las cifras de creatitina se estabilizaron progresivamente en un mes hasta llegar a la normalidad.

Conclusiones (y aplicabilidad para la Medicina de Familia)

Gracias a la ecografía pudimos sospechar la causa de la insuficiencia renal aguda, derivando urgentemente a Urología. Tras el tratamiento indicado se logró así la mejoría clínica del paciente y las cifras de creatinina se normalizaron progresivamente. La ecografía definitivamente nos ayuda a un diagnóstico temprano y por tanto a una rápida actuación. En este caso el tiempo es valioso, ya que una obstrucción prolongada puede repercutir en la función renal de forma permanente y tratada de manera precoz puede ser reversible.


Comunicaciones y ponencias semFYC: 2025; Comunicaciones: Casos clínicos. ISSN: 2339-9333

Autores

Martínez Ruiz, Marina
CS Vistalegre-La Flota. Murcia
Sanchez Prieto, Maria Dolores
CS Vistalegre-La Flota. Murcia
Sanchez Esteban, Maria Tomasa
CS Vistalegre-La Flota. Murcia