V Jornadas de Ecografía de la semFYC

9 y 10 de febrero de 2024

Comunicaciones: Casos clínicos

De sospechar a determinar. El uso del pocus en consulta de medicina de familia (póster)

Ámbito del caso

Consulta de Medicina de Familia.

Motivos de consulta

Hematuria.

Historia clínica

Enfoque individual

Varón de 60 años, fumador activo, sin más antecedentes personales que un cuadro de claudicación intermitente (en seguimiento por cirugía vascular) y un episodio de hematuria, confirmado con tira de orina y urocultivo positivo para E. Coli, que se resolvió con tratamiento antibiótico (fosfomicina) hace un año.

Acude a consulta tras presentar nuevo episodio de hematuria, de 20 días de evolución, que persiste pese al tratamiento pautado en urgencias ante la sospecha de infección del tracto urinario y al posterior ajuste realizado en consulta en base al antibiograma. Niega síndrome miccional, fiebre, síndrome constitucional u otros signos o síntomas. Ni la exploración abdominal ni la analítica solicitada muestran hallazgos patológicos.

Hallazgos ecográficos

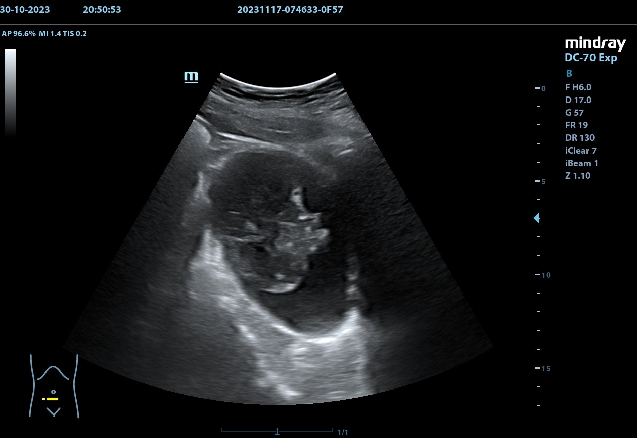
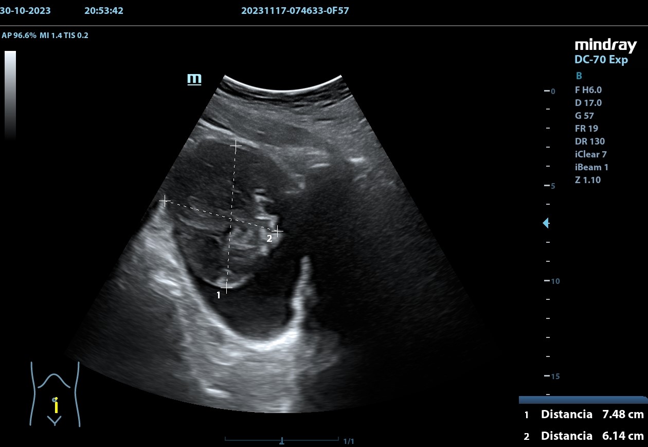
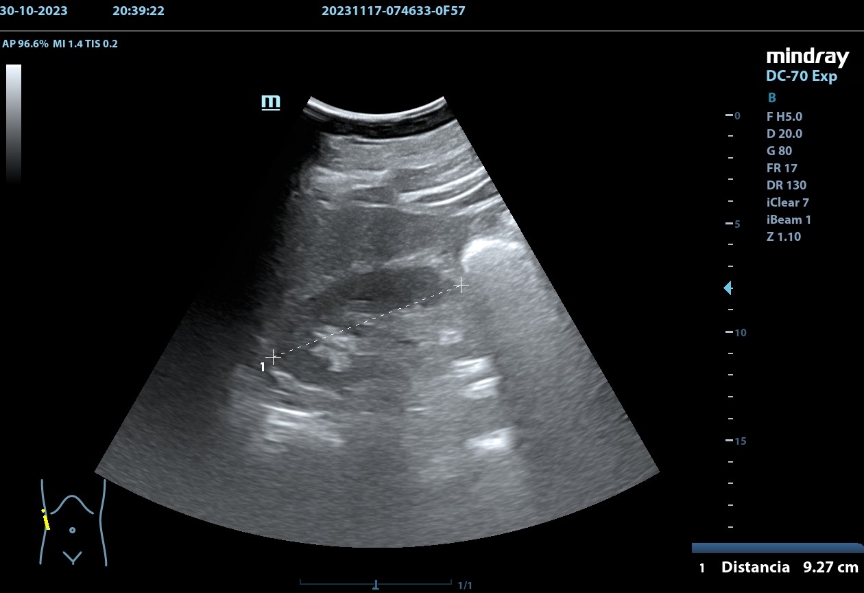
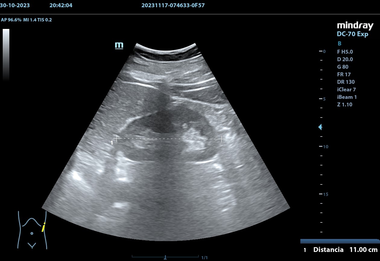
Se realiza, en consulta, una ecografía de las vías urinarias (POCUS), apreciando una lesión excrecente, pediculada, de 7,48 x 6,14 cm, que afecta a la pared izquierda y superior de la vejiga. Doppler negativo. No apreciándose jets ureterales. Riñón izquierdo de 11cm, y derecho de 9.27 cm, sin signos de dilatación de las pelvis renales que sugieran hidronefrosis.

Juicio clínico, diagnóstico diferencial, identificación de problemas

Juicio clínico: Masa intravesical.
Diagnóstico diferencial: Tumor primario epitelial vs. tumor de origen no epitelial.
Diagnóstico hospitalario: No consta en el momento de presentación.

Tratamiento y planes de actuación

Se cursa interconsulta preferente al servicio de urología, describiendo los hallazgos y se hace un seguimiento semanal del paciente.

Evolución

El paciente continúa con hematuria al final de la micción, sin otros síntomas y pendiente de valoración por urología.

Conclusiones (y aplicabilidad para la Medicina de Familia)

La ecografía en consulta (POCUS) es una herramienta accesible que facilita la orientación diagnóstica precoz desde Atención Primaria y, cuando es necesario, contribuye a sustentar la derivación a Atención Hospitalaria. Resulta especialmente útil para establecer el grado de prioridad de la misma.
 
No obstante, aunque la medicina en consulta avanza, no siempre se obtiene el resultado esperado. Actualmente, a nivel hospitalario, no siempre se tienen en consideración los hallazgos ecográficos obtenidos por el Médico de Familia. Esto podría deberse a la falta de interconexión informática entre sistemas y a la falta de un protocolo para derivación con imágenes ecográficas, donde el otro especialista al que derivamos pueda contrastar nuestra información. ¿Presente o futuro?
 
 
 
 
 
 

Comunicaciones y ponencias semFYC: 2025; Comunicaciones: Casos clínicos. ISSN: 2339-9333

Autores

Hernández Almeida, Pablo Jesús
CS Santa Brígida. Las Palmas
González Marrero, Ana Delia
CS Santa Brígida. Las Palmas
Vega Hernández, Marta
CS Santa Brígida. Las Palmas