V Jornadas de Ecografía de la semFYC

9 y 10 de febrero de 2024

Comunicaciones: Casos clínicos

Diagnóstico de fractura del dedo de la mano por ecografía (póster)

Ámbito del caso

Urgencias de Atención Primaria

Motivos de consulta

Mordedura de perro

Historia clínica

Enfoque individual

Paciente de 28 años, sin antecedentes de interés, bien vacunada. Consulta en el centro de salud de urgencias por mordedura de perro callejero en el 2º dedo de la mano derecha hace media hora.

Exploración: Herida incisacontusa en falange media y distal junto con hematoma en falange distal del 2º dedo sin crepitación. No sangrado actual. No afectación tendinosa. Lesión en uña. Muy doloroso a la palpación. Limitación a la flexión del dedo. No signos inflamatorios.

Se decide cura de herida por enfermería. Ante la sospecha de posible fractura asociada, realizamos ecografía en consulta de urgencias.

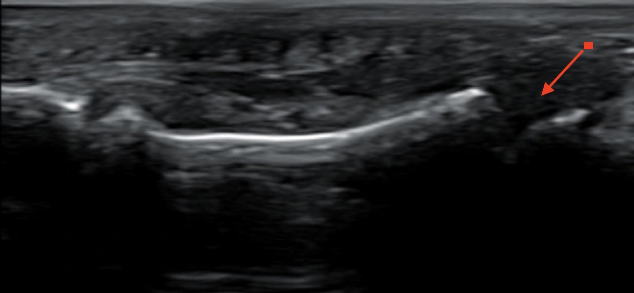
Hallazgos ecográficos

Ecografía portátil: Pérdida ósea de la cortical en falange distal del dedo afecto (segundo de la mano derecha).

Pruebas complementarias

Se decide derivación a urgencias donde confirman fractura mediante radiografía de la mano.

Juicio clínico, diagnóstico diferencial, identificación de problemas

Juicio clínico: Fractura desplazada de falange distal 2º dedo mano derecha.

Tratamiento y planes de actuación

Al tratarse de una fractura desplazada, se contacta con Traumatología de guardia para intervención quirúrgica de urgencias.

Evolución

Alta con puntos de sutura y férula. Revisión de fractura por Traumatología en 4-6 semanas.

Conclusiones (y aplicabilidad para la Medicina de Familia)

Cada día mas, la ecografía está ganando espacio en Atención Primaria gracias a la facilidad para su acceso, su inocuidad y el aumento de formación sobre ella. En los últimos años, la ecografía se ha convertido en el primer método de diagnóstico de muchas patologías, sin embargo con referencia a fracturas, la radiografía sigue siendo la primera elección. Gracias a múltiples casos ya publicados, incluido este que presentamos, nos hace pensar que podría convertirse en una gran herramienta, fácil de utilizar en AP y en urgencias ante sospecha de fractura sin utilizar pruebas invasivas y en algunas ocasiones evitando derivaciones innecesarias hospitalarias.

 

Comunicaciones y ponencias semFYC: 2025; Comunicaciones: Casos clínicos. ISSN: 2339-9333

Autores

Linares Canalejo, Anaís María
CS Isla Chica. Huelva
Santos Estudillo, Marcos Isidro
CS La Orden. Huelva
Tena Santana, Gonzalo
CS Valverde del Camino. Huelva