V Jornadas de Ecografía de la semFYC

9 y 10 de febrero de 2024

Comunicaciones: Casos clínicos

Diagnóstico diferencial de la ictericia (póster)

Ámbito del caso

Atención Primaria.

Motivos de consulta

Paciente que acude a consulta de Atención Primaria por síndrome constitucional.

Historia clínica

Enfoque individual

Paciente de 52 años con antecedentes de DM2 que acude a consulta por malestar general progresivo y dolor epigástrico, astenia e hiporexia con pérdida de peso progesiva desde hace 2 meses, asociando desde hace 2 días fiebre hasta 38 ºC sin foco infeccioso claro, con progresivo tinte ictérico de piel sin otra sintomatología asociada. A la exploración física destaca palidez cutánea, caquexia, ictericia generalizada de piel y conjuntivas, palpación dolorosa en epigastrio y Murphy negativo. Se realiza ecografía con el fin de realizar el diagnóstico diferencial entre colangitis, coledocolitiasis y colecistitis. 

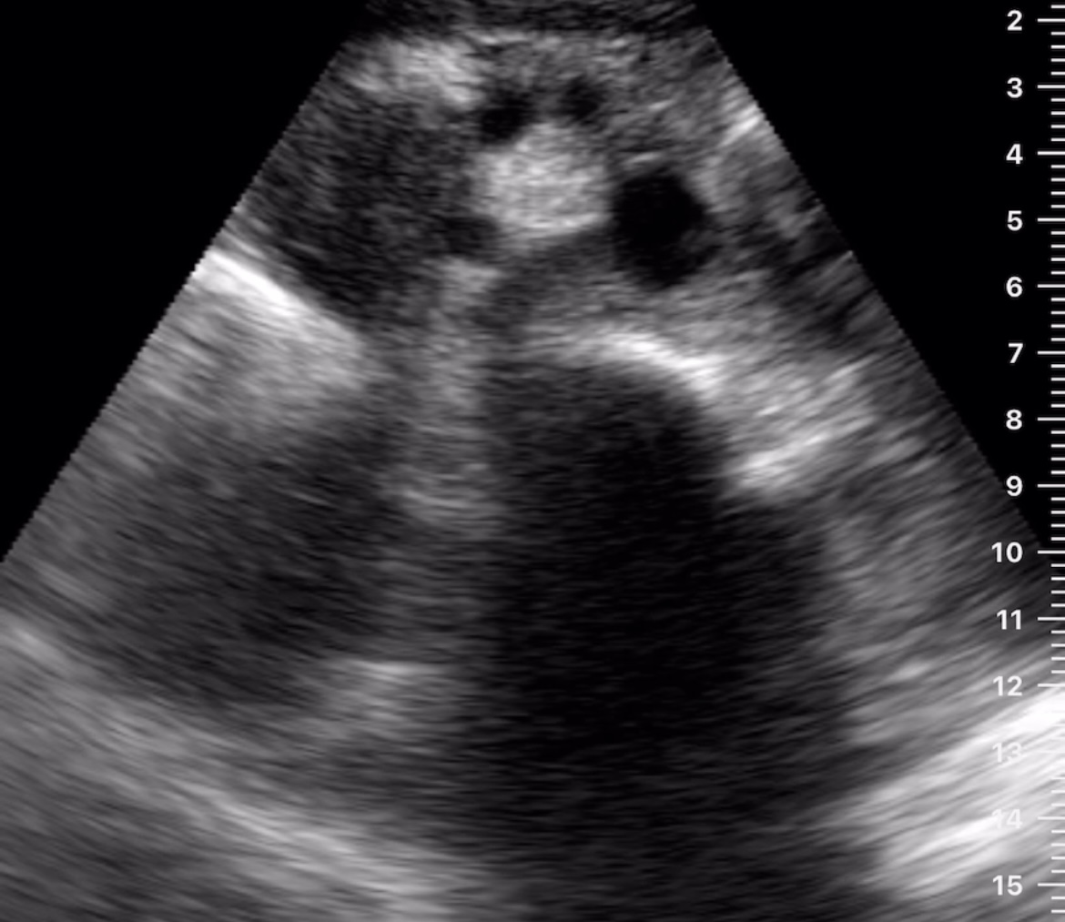
Hallazgos ecográficos

Observamos una lesión a nivel de la cabeza del páncreas, de bordes mal definidos, hipoecogénica, además de dilatación del conducto de Wirsung y dilatación de la vía biliar tanto intra como extrahepática. 

Pruebas complementarias

Derivamos al paciente a urgencias hospitalarias por malestado general, e ictericia, realizaron hemograma y bioquímica con los siguientes resultados: aumento de transaminasas (AST 286 Ul/L ALT 358 Ul/L), alteración del perfil colestásico (GGT 2582 Ul/L FA 1438 Ul/L Br total 6,25 Ul/L y Br directa 5,09 Ul/L) sin alteraciones reseñables en el hemograma.

Juicio clínico, diagnóstico diferencial, identificación de problemas

Se orientó el cuadro como LOE pancreática sugestiva de malignidad y colangitis asociada. Como diagnóstico diferencial nos planteamos: colangitis, colecistitis, coledocolitiasis, colangiocarcinoma, colangitis esclerosante, LOE pancreática. 

Tratamiento y planes de actuación

El paciente ingresa a cargo de cirugía general para completar estudio y completar tratamiento antibiótico intravenoso.

Evolución

Posteriormente se realizó ecoendoscopia, donde se evidenció una lesión de características malignas de 3,7 cm en la cabeza del páncreas que infiltra eje esplenoportal y contacta con AMS sin poder descartar infiltración de la misma y adenopatías de aspecto patológico. Los resultados de la biopsia se informan como adenocarcinoma de páncreas.

Conclusiones (y aplicabilidad para la Medicina de Familia)

La ecografía constituye un recurso muy valioso en las consultas de Atención Primaria puesto que facilitan el diagnóstico y orienta conductas sucesivas como en este caso donde se derivó a urgencias con la sospecha de masa pancreática y de colangitis. 


Comunicaciones y ponencias semFYC: 2025; Comunicaciones: Casos clínicos. ISSN: 2339-9333

Autores

Soria Tur, Elena
Hospital de Dénia
Lledó Domenech, Ana
Hospital de Dénia