V Jornadas de Ecografía de la semFYC

9 y 10 de febrero de 2024

Comunicaciones: Casos clínicos

Diagnóstico diferencial de sangrado en una mujer de 86 años (póster)

Ámbito del caso

Atención Primaria.

Motivos de consulta

Sangre en la compresa de incontinencia.

Historia clínica

Enfoque individual

  • Antecedentes personales:
    • Alergia a la penicilina.

    • Fumadora pasiva, no bebedora.

    • Leucemia linfática crónica B (2013). Citogenética con pronóstico de riesgo intermedio. Estadio 0/A (Rai/Binet).

    • Reflujo gastroesofágico.

    • Migrañas.

    • Cirugías: colecistectomía, apendicectomía y faquectomía bilateral. 

    • Trabajaba en una zapatería.

  • Enfermedad actual: mujer de 86 años, postmenopáusica desde los 56 años, que presenta sangrado escaso de origen indeterminado en 2 ocasiones, evidenciado en compresas que usa para incontinencia urinaria.

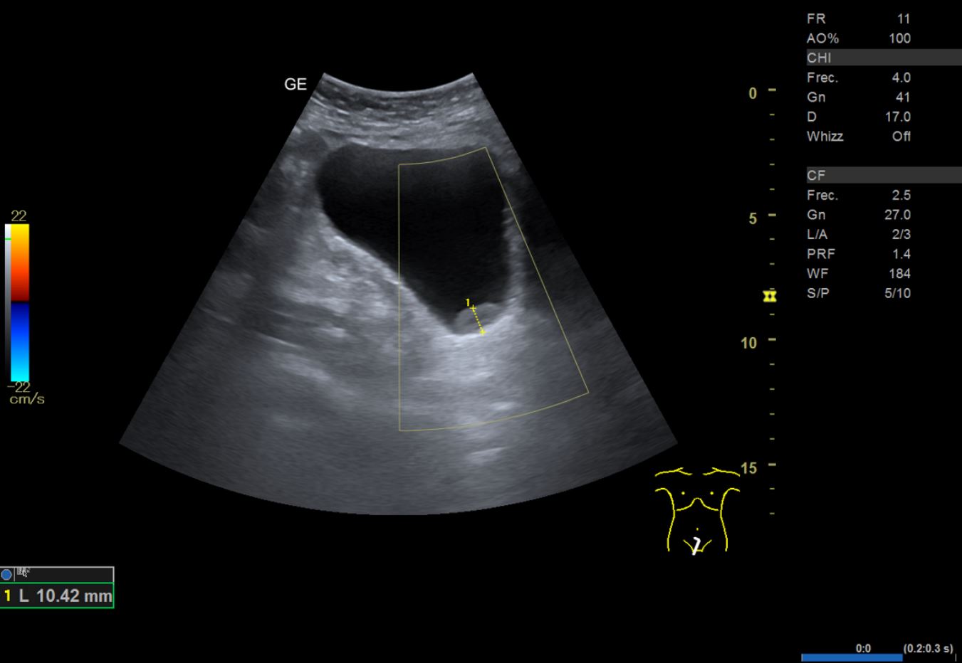
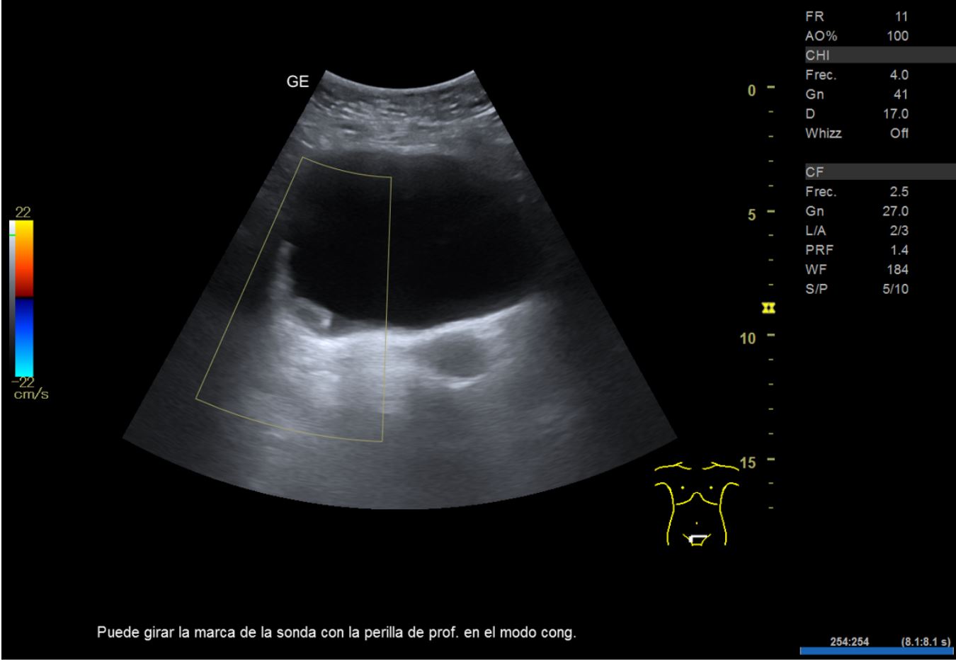
Hallazgos ecográficos

  • Ecografía clínica renovesical: riñones con diámetro dentro de la normalidad. Relación cortico-medular normal. Pedículo renal Doppler normal. No se observan litiasis. Vejiga repleta, paredes finas, se observa imagen hipoecogénica en pared posterior lateral derecha que no capta señal Doppler, de unos 2,21 cm de diámetro aproximadamente. Volumen premiccional 290,86 ml, volumen posmiccional 25,54 ml.

Pruebas complementarias

  • Citología de orina: células uroteliales atípicas sospechosas de malignidad.

Juicio clínico, diagnóstico diferencial, identificación de problemas

En primer lugar se derivó a ginecología por sospecha de sangrado de origen ginecológico donde visualizan ecográficamente un grosor endometrial de 5-6 mm y realizan una biopsia endometrial con resultado de escasos fragmentos superficiales de endometrio atrófico. Tras descartar origen ginecológico y ante la persistencia del sangrado, se orienta como hematuria monosintomática y se realiza una ecografía en el centro de Atención Primaria donde se visualiza imagen hipoecogénica dependiente de la pared vesical.

Tratamiento y planes de actuación

Tratamiento: Resección transuretral de tumor vesical.

Diagnóstico: Carcinoma urotelial papilar e infiltrante, de patrón papilar (100%), de alto grado histológico que infiltra lámina propia (pT1). Músculo detrusor sin evidencia de infiltración neoplásica.

Evolución

Se realiza estudio de extensión mediante TAC de tórax y abdomen sin signos radiológicos de afectación metastásica.

En tratamiento con BCG (bacilo de Calmette-Guérin) endovesical.

Se controla periódicamente con citología de orina y cistoscopia flexible.

Conclusiones (y aplicabilidad para la Medicina de Familia)

La ecografía cada vez se usa más como una extensión de la exploración física en la consulta del médico de familia. En este caso permite el diagnóstico de tumor vesical.
 
 
 
 
 
 

Comunicaciones y ponencias semFYC: 2025; Comunicaciones: Casos clínicos. ISSN: 2339-9333

Autores

Huarte Estévez, Ximena
CS Verge del Toro. Mahón
González Colet, Mar
CS Verge del Toro. Mahón
Pérez Catchot, Mª Dolores
CS Verge del Toro. Mahón