Comunicaciones: Casos clínicos

Diagnóstico ecográfico de teratoma ovárico en Atención Primaria (Póster)

Ámbito del caso (Atención Primaria, servicios de Urgencias o atención domiciliaria)

Atención Primaria.

Motivos de consulta

Mujer de 35 años que acude a consulta de Atención Primaria por presentar dolor intenso en fosa lumbar izquierda, sin irradiación. También refiere escozor al orinar y polaquiuria.

Historia clínica

Antecedentes personales relevantes, anamnesis, exploración física y lugar que ocupa en ella la ecografía

  • Antecedentes personales: Sin antecedentes ginecológicos ni quirúrgicos de relevancia.
  • Anamnesis: la paciente refiere inicio agudo de dolor lumbar izquierdo, asociado a síntomas urinarios de polaquiuria y disuria. No fiebre ni otra sintomatología. Tira de orina positiva (leucocitos y nitritos positivos) y urocultivo (ya extraída muestra esa misma mañana) pendiente de resultado. 
  • Exploración física: Palpación dolorosa en fosa lumbar izquierda. Puño percusión renal izquierda positiva. Abdomen sin palpación de masas ni organomegalias.
  • Decidimos realizar ecografía clínica en consulta para descartar patología urológica obstructiva.

Descripción de los hallazgos ecográficos y las imágenes más relevantes para la resolución del caso

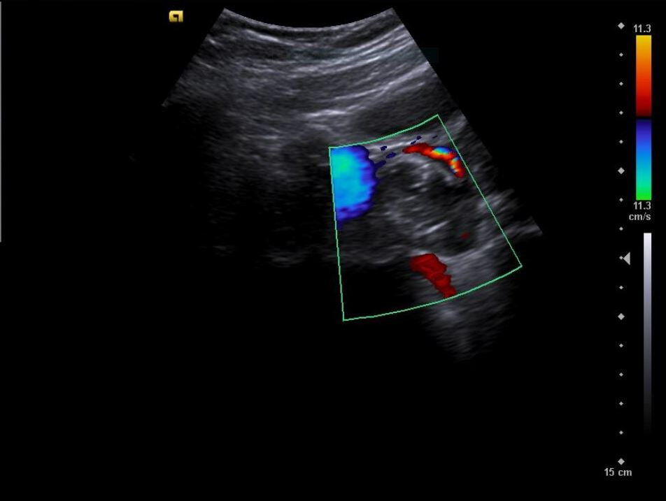
  • Riñones sin hidronefrosis; jets ureterales presentes. No centelleo pielocalicial.
  • Revisión ginecológica incidental muestra una imagen heterogénea en anexos: masa de aspecto solidoquístico en ovario derecho (43 × 33 mm), con zona hiperecoica y posible componente quístico. Se plantea teratoma como primera hipótesis diagnóstica.

Otras pruebas complementarias realizadas (si existen)

Tira reactiva de orina positiva.
Cultivo de orina pendiente.

Juicio clínico, diagnóstico diferencial, concordancia con el hospital (en su caso)

Diagnóstico inicial: Teratoma ovárico derecho versus cuerpo lúteo hemorrágico.

Diagnóstico diferencial: endometriosis, quiste funcional, quiste dermoide.

Decisiones adoptadas: tratamiento, planes de actuación

Ante clínica de dolor de la paciente se administra tratamiento analgésico (Nolotil intramuscular) y antibiótico para infección urinaria. Ante el hallazgo ecográfico encontrado de forma incidental se decide realizar interconsulta a Ginecología para valoración por su parte y seguimiento conjunto de la paciente. 

Evolución y seguimiento

La paciente es valorada en consulta presencial de ginecología. Ecografía vaginal confirma:

  • Formación sólidoquística en anexo derecho de 43 × 33 mm con signos sugestivos de teratoma.
  • Lesión quística densa adyacente de 6 mm (endometriosis o componente adicional del teratoma).

Actualmente se encuentra en espera de ser valorada por Unidad de Ginecología en hospital de referencia, asintomática.

Conclusiones y aplicabilidad para la medicina de familia

La ecografía en Atención Primaria permite identificar hallazgos incidentales significativos, como un teratoma ovárico, facilitando el diagnóstico precoz y la coordinación con especialidades. Este caso destaca la utilidad de la ecografía clínica para ampliar las competencias del médico de familia en la evaluación inicial de dolor abdominal y pélvico.

 


Comunicaciones y ponencias semFYC: 2025; Comunicaciones: Casos clínicos. ISSN: 2339-9333

Autores

Guirao López, Lucía
CS Jesús Marín Molina Sur. Molina de Segura, Murcia
Menárguez Puche, Juan Francisco
CS Jesús Marín Molina Sur. Molina de Segura, Murcia
Moreno Navarro, Barbara
Consultorio Bollullos de La Mitación. Sevilla