Comunicaciones: Casos clínicos

Diagnóstico precoz de cáncer de vejiga mediante ecografía en Atención Primaria: más allá del protocolo habitual (Oral)

Ámbito del caso (Atención Primaria, servicios de Urgencias o atención domiciliaria)

Atención Primaria.

Motivos de consulta

Hematuria macroscópica aislada hace dos semanas, sin otros síntomas asociados.

Historia clínica

Antecedentes personales relevantes, anamnesis, exploración física y lugar que ocupa en ella la ecografía

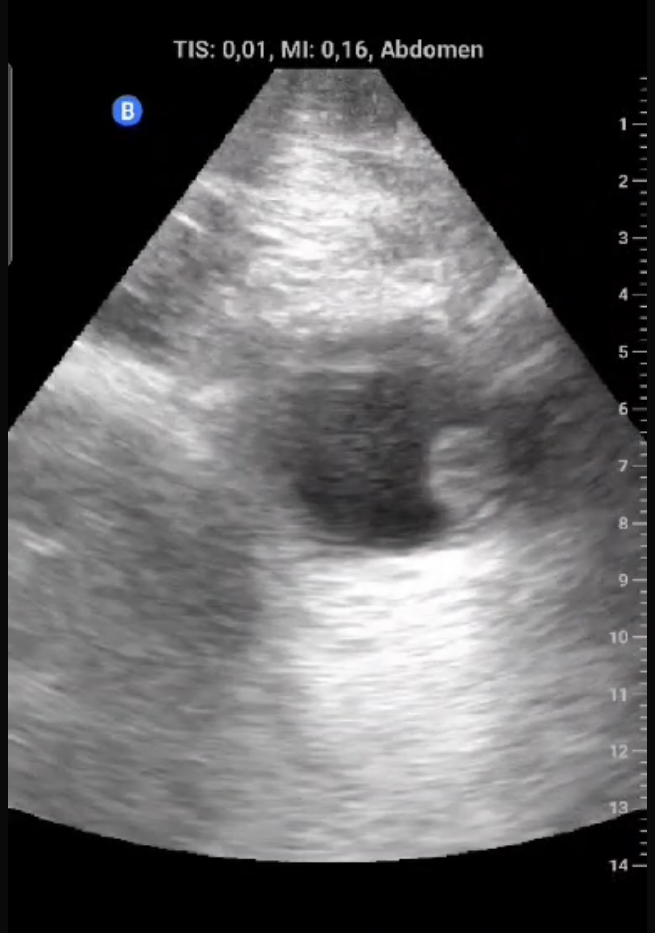
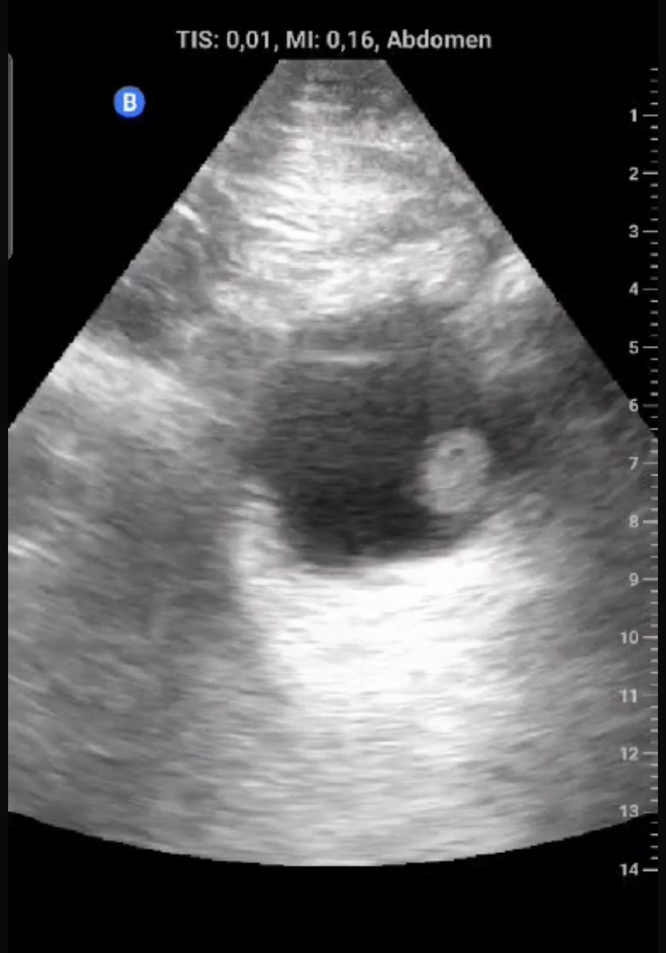
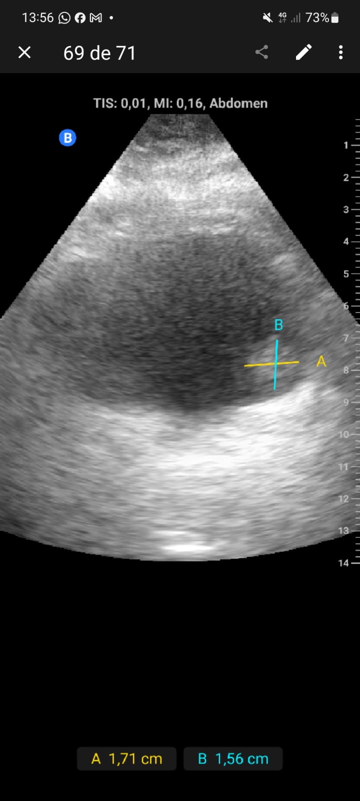
Exfumador, HTA, hipercolesterolemia, cirrosis hepática por alcohol. Hombre de 58 años que refiere episodio de hematuria macroscópica hace dos semanas, coincidiendo con un esfuerzo físico intenso el día previo. No presenta disuria, fiebre, poliaquiuria, ni dolor. En controles posteriores, no había recurrencia de hematuria y el paciente se encontraba asintomático.Exploración física sin hallazgos relevantes. Ecografía realizada en consulta en apenas 5 minutos mostró una masa en la cara lateral izquierda de la vejiga, de 1,5 x 1,3 cm, con características sugerentes de lesión tumoral superficial.

Descripción de los hallazgos ecográficos y las imágenes más relevantes para la resolución del caso

Lesión sólida, pediculada, de bordes definidos y fronda larga en la cara lateral izquierda de la vejiga.

Otras pruebas complementarias realizadas (si existen)

Sedimento de orina: eritrocitos ++++ sin nitritos ni otros valores alterados. 

Juicio clínico, diagnóstico diferencial, concordancia con el hospital (en su caso)

Se sospechó un tumor vesical; pólipo vesical. Urología confirmó la lesión mediante cistoscopia, describiendo una masa papilar superficial de 2 cm en la pared lateral izquierda.

Decisiones adoptadas: tratamiento, planes de actuación

Derivación preferente a Urología con imágenes e informe ecográfico.

Evolución y seguimiento

El paciente fue intervenido mediante resección transuretral, confirmándose carcinoma urotelial superficial (T1). 

Conclusiones y aplicabilidad para la medicina de familia

En áreas donde la ecografía en consulta no forma parte del protocolo habitual, este caso demuestra su valor añadido. Según el protocolo estándar sin ecografía, se habría solicitado un urocultivo y una segunda muestra de orina, lo que habría retrasado la derivación a Urología. La ecografía permitió un diagnóstico y derivación en minutos, evitando retrasos y optimizando la capacidad resolutiva en Atención Primaria. Su inclusión podría mejorar significativamente el manejo de la hematuria y el pronóstico del paciente.

 


Comunicaciones y ponencias semFYC: 2025; Comunicaciones: Casos clínicos. ISSN: 2339-9333

Autores

Pallarés Padrón, Sofía
Consultorio de Maribañez. Sevilla
Pinilla Gonzalez, MARIA DEL CARMEN
Consultorio de Maribañez. Sevilla
Castillo Burgos, Óscar David
Consultorio de Maribañez. Sevilla