V Jornadas de Ecografía de la semFYC

9 y 10 de febrero de 2024

Comunicaciones: Casos clínicos

«Doctor, mire lo que me ha crecido» (póster)

Ámbito del caso

Ámbito rural.

Motivos de consulta

Masa en hombro izquierdo.

Historia clínica

Enfoque individual

Varón de 86 años. AP: DM tipo II e hiperuricemia. Presenta masa en hombro izquierdo de 3 años de evolución tras traumatismo directo en dicha zona. La masa es asintomática y no le limita movimientos articulares, pero va creciendo de forma progresiva.

A la exploración: masa bien definida, de unos 5 x 5 cm aproximadamente, en borde superior de la articulación acromion clavicular, blanda, adherida y que no duele a la palpación.
Ante la sospecha de quiste sinovial se realiza Ecografía músculo esquelética en consulta.

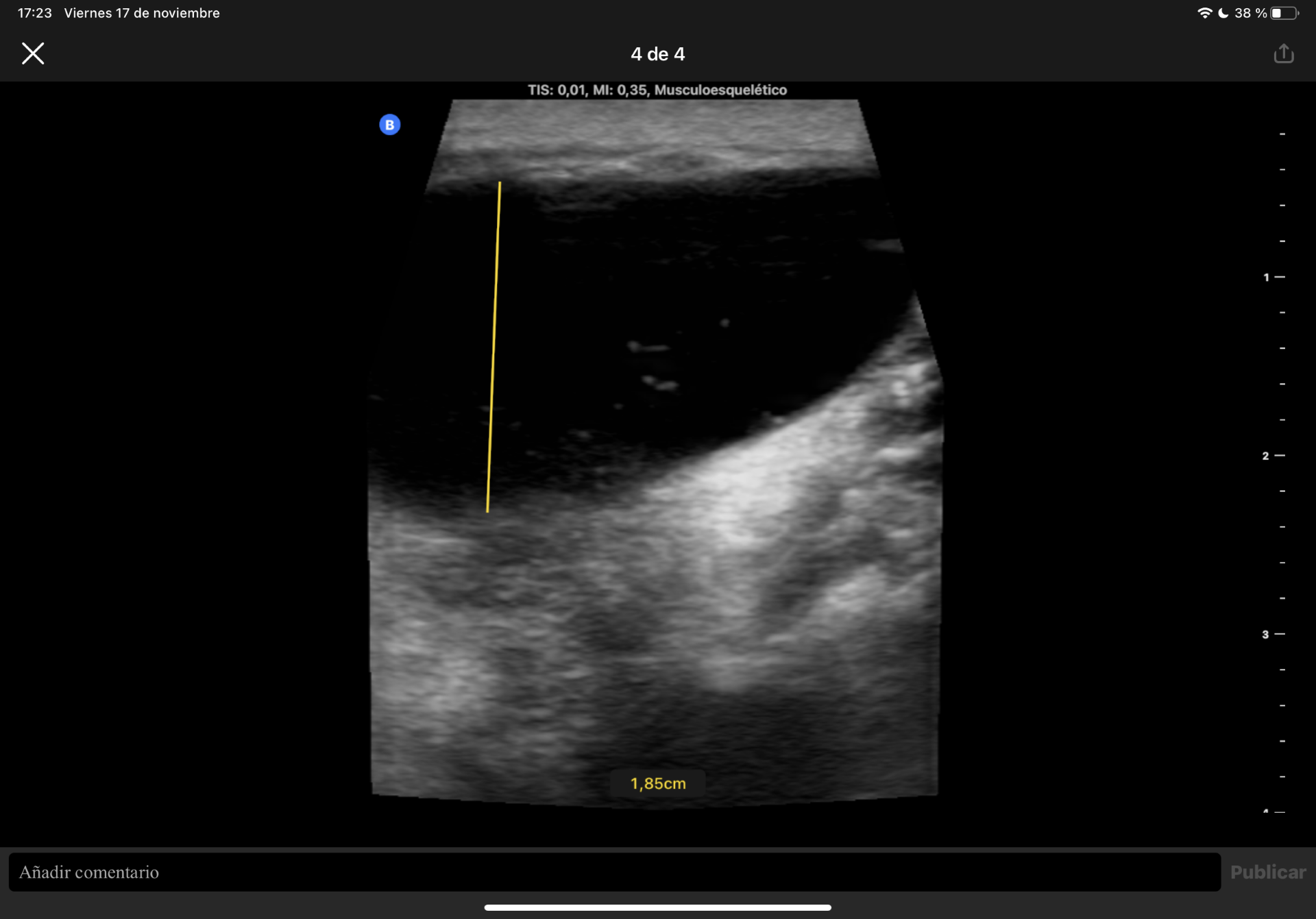
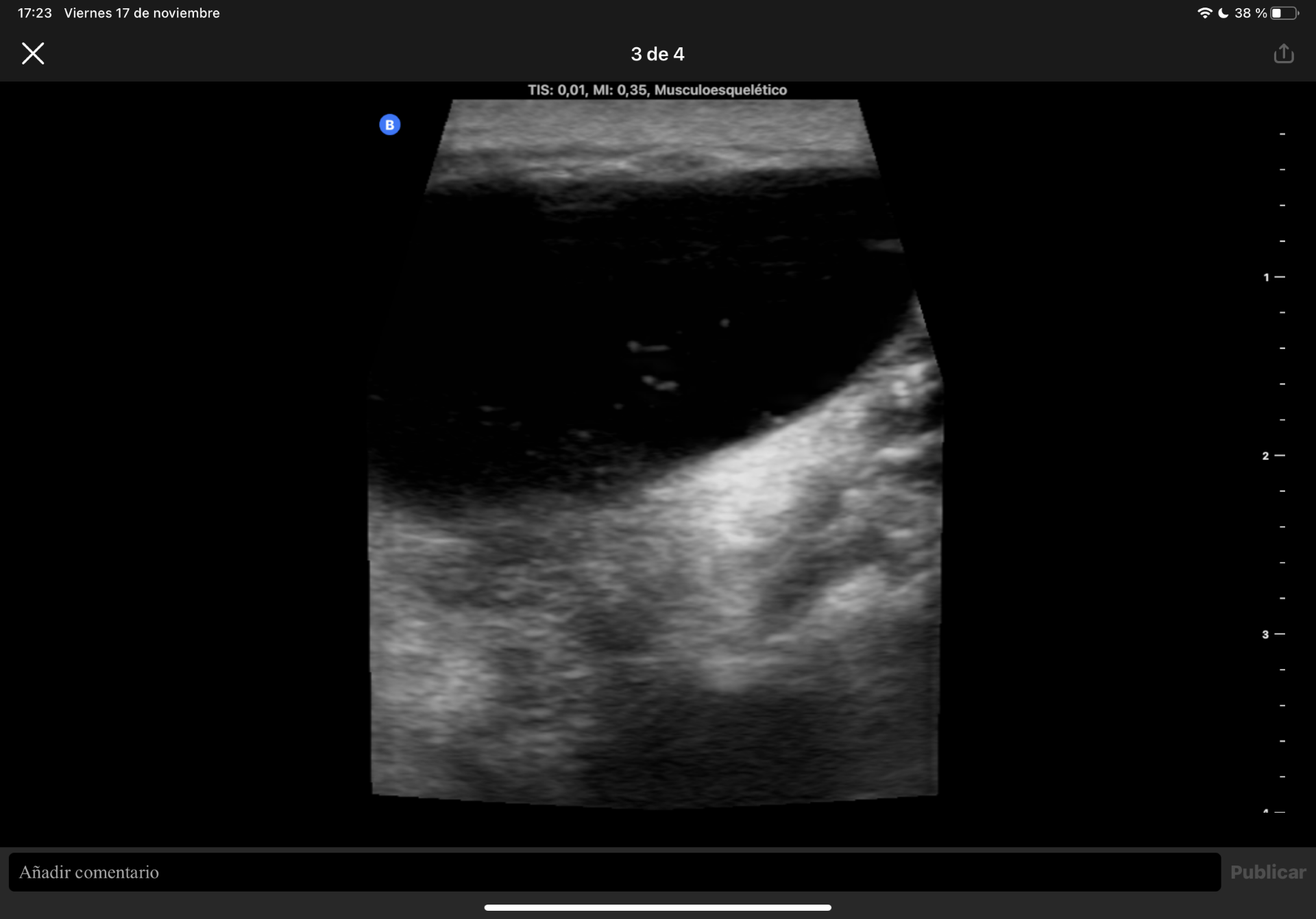
Hallazgos ecográficos

Difícil acceso por las forma de la masa. Se observa en plano dérmico lesión sin pared de 1,85 cm en su mayor altura, aneicoica con flóculos en su interior. No parece depender de la articulación del hombro ni la acromionclavicular, no se aportan más medidas por salirse de la ventana del ecógrafo.

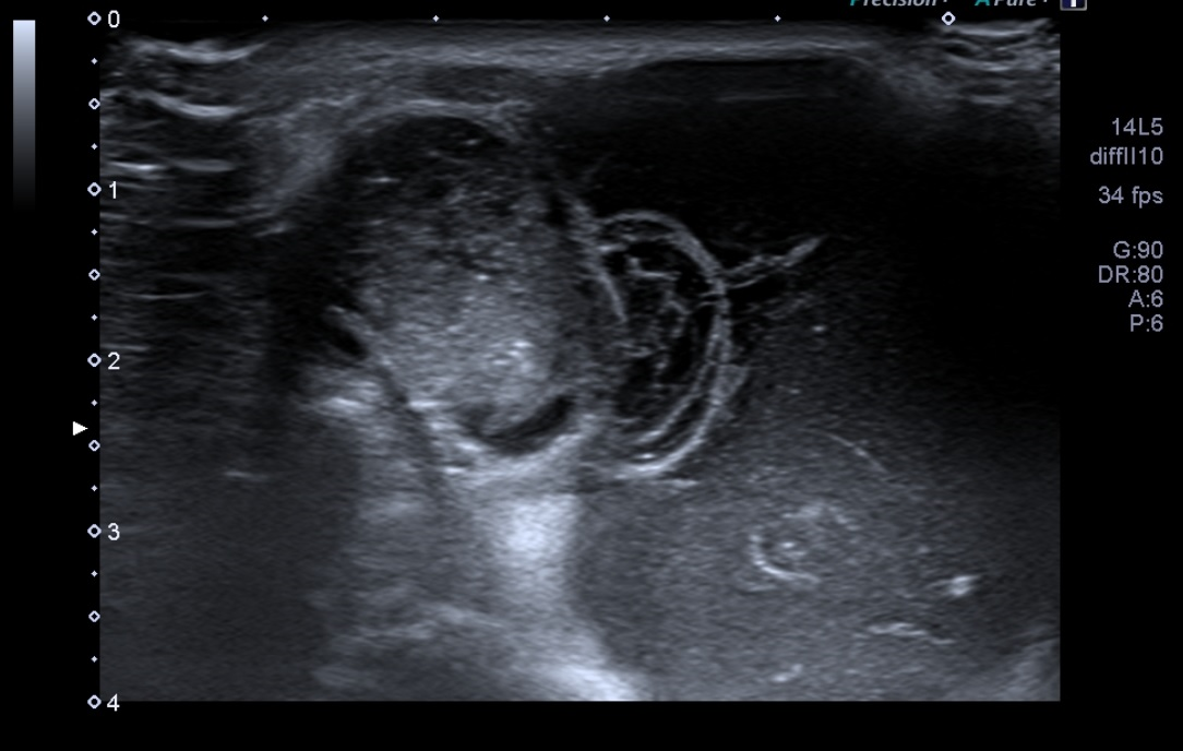
Pruebas complementarias

Ecografía de Radiología: La masa que se palpa en el hombro izquierdo se corresponde con una masa quística que nace desde la articulación acromionclavicular en relación con rotura del manguito de los rotadores identificándose compromiso del supra e infraespinoso.

Juicio clínico, diagnóstico diferencial, identificación de problemas

Diagnóstico diferencial: tumor, lipoma, quiste sebáceo, cuerpo extraño, hematoma encapsulado.

Tratamiento y planes de actuación

Dada la benignidad del cuadro y que el paciente se encuentra asintomático, se decide manejo conservador.

Evolución

A los 4 meses se observa incremento del tamaño hasta 10 x 7 cm. Sigue asintomático pero preocupa al paciente, por lo que se deriva a Traumatología para valorar cirugía. 

Conclusiones (y aplicabilidad para la Medicina de Familia)

A pesar de no haber realizado un diagnóstico certero, disponer de una sonda ultraportátil nos permitió descartar patologías con tratamiento más urgente y tranquilizar al paciente. 
No tenemos que desanimarnos cuendo no conseguimos un diagnóstico certero, sino continuar nuestra formación en ecografía. 
 
 
 
 

Comunicaciones y ponencias semFYC: 2025; Comunicaciones: Casos clínicos. ISSN: 2339-9333

Autores

Alonso Herrera, Francisco
CS Honrubia. Cuenca
Sanchez Ruiz, Juan Manuel
CS Cuenca II. Cuenca