V Jornadas de Ecografía de la semFYC

9 y 10 de febrero de 2024

Comunicaciones: Casos clínicos

«Doctor, será por la hernia» (póster)

Ámbito del caso

Atención Primaria

Motivos de consulta

Varón de 79 años que acude a consulta para sus controles habituales, acabando la consulta, su mujer nos comenta que le molesta la «panza» desde hace unas semanas.

Historia clínica

Enfoque individual

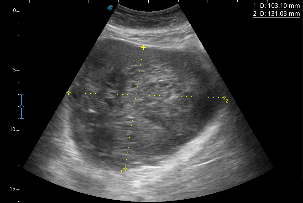
HTA, DM II y obesidad, dislipemia. Recuerdan que hace años le dijeron que tenía una hernia y que tendría que operarse en un futuro, el paciente piensa que podría deberse a ello. Refiere que ha perdido 3 kilos en 2 semanas por falta de apetito. EF masa centroabdominal izquierda algo dura a la palpación de unos 10 cm aproximadamente de diámetro, molesta pero no dolorosa a la palpación. Se realiza ecografía de la pared abdominal.

Hallazgos ecográficos

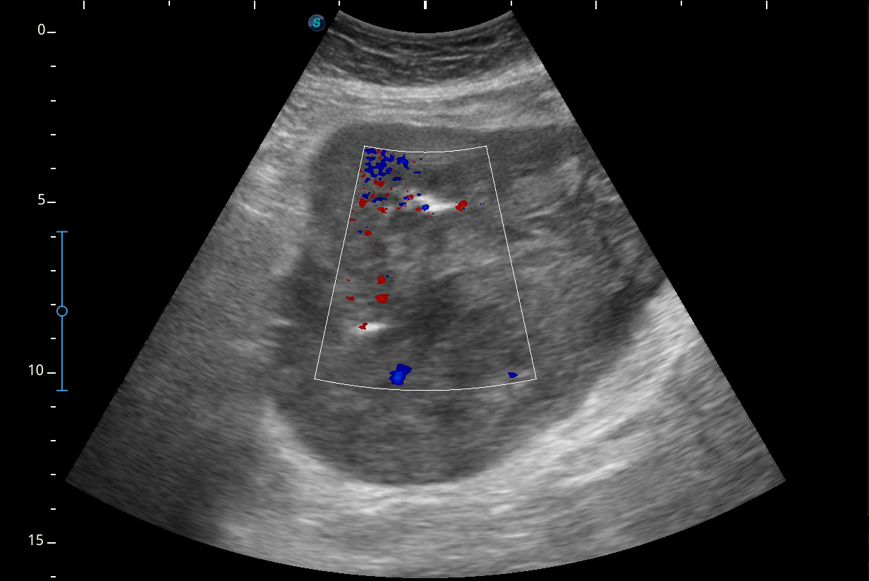
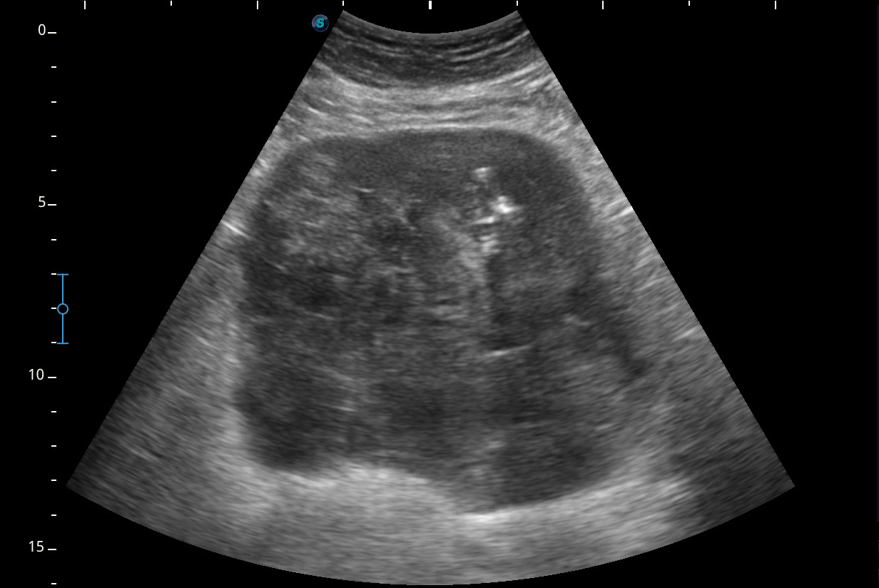
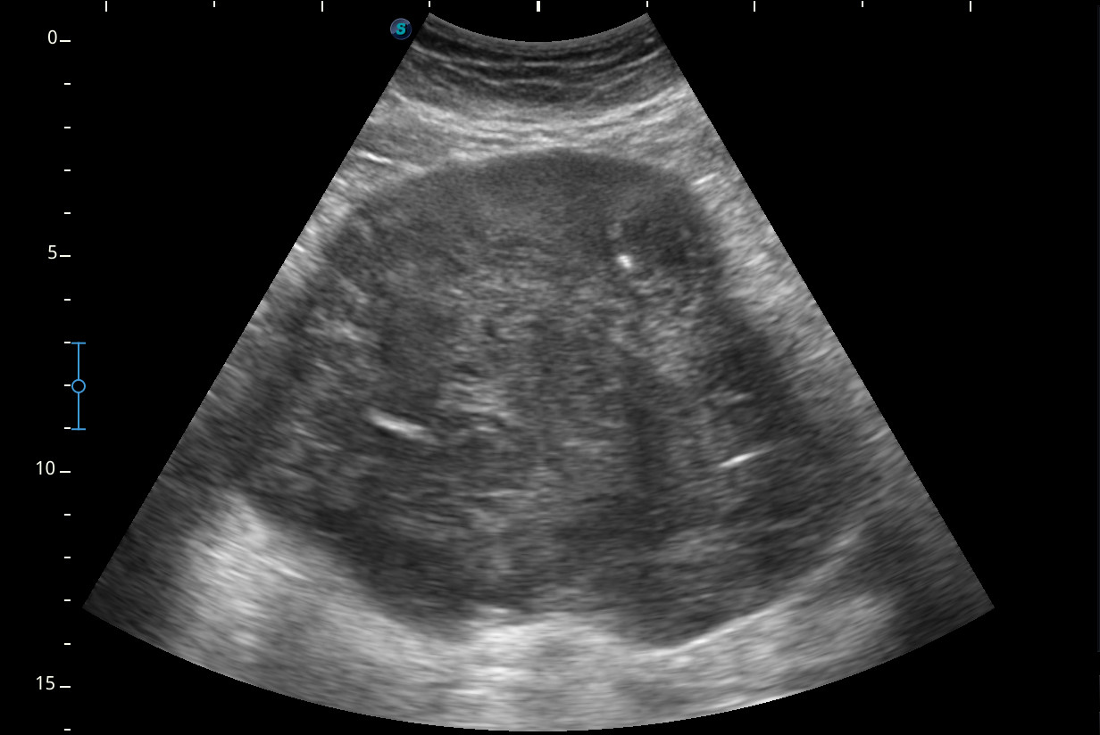
Se visualiza una masa heterogénea de unos 10 x 13 cm aproximadamente de diámetro con posibles focos necróticos y captación Doppler color, de dudosa organodependencia, que podría corresponder a un sarcoma retroperitoneal.

Pruebas complementarias

Una vez ingresado en el hospital, se realiza TC, en la que se ve una masa mesentérica homogénea vascularizada sin clara organodependencia y neoplasia de sigma con posibles mtx hepáticas.

Se realiza biopsia de la masa, corresponde a un adenocarcinoma intestinal GIST.

Juicio clínico, diagnóstico diferencial, identificación de problemas

Diagnóstico de masa abdominal a estudio que podría corresponder con un sarcoma peritoneal, dudosa organodependencia. La ecografía del hospital coincide, pero por las dudas, se solicita TC abdominal.

Tratamiento y planes de actuación

Se remitió desde AP al hospital de referencia para ingreso urgente y estudio de la masa.

Evolución

El paciente fue intervenido en un primer tiempo de la neoplasia de sigma, próximamente será intervenido de la masa que podría corresponder con un GIST.

Conclusiones (y aplicabilidad para la Medicina de Familia)

Ante la aparición de una masa abdominal, aunque lo más frecuente puede ser una hernia, al tener la posibilidad de realizar la ecografía en el mismo pie de cama del paciente, evita errores diagnósticos y nos ayuda a orientar correctamente al paciente.
 
 
 
 

Comunicaciones y ponencias semFYC: 2025; Comunicaciones: Casos clínicos. ISSN: 2339-9333

Autores

Sanchez Ruiz, Juan Manuel
CS Cuenca 2. Cuenca
Alonso Herrera, Francisco
CS Honrubia. Cuenca