Comunicaciones: Casos clínicos

«Doctora, me duele la tripa» (Póster)

Ámbito del caso (Atención Primaria, servicios de Urgencias o atención domiciliaria)

Urgencias Hospitalarias.

Motivos de consulta

Dolor abdominal de 5 h de evolución.

Historia clínica

Enfoque individual: antecedentes personales, anamnesis, exploración, pruebas complementarias, etc.

Mujer de 40 años que acude al servicio de urgencias por dolor abdominal de 4-5 h de evolución. Dolor iniciado esa mañana, con náuseas y algún vómito aislado junto a una deposición diarreica.

Afebril. Sin convivientes con síntomas infecciosos. Sin estigmas de sangrado. Dolor no controlado a pesar de toma de Paracetamol 1 g en domicilio.

Exploración física:

Buen estado general. Consciente y orientada. Normoihdratada y normoperfundida. Eupneica en reposo.

  • CyC: Sin IY, no reflujo hepatoyugular.
  • Tórax: sin alteraciones cutáneas de interés.

A.C: rítmica sin soplos.

A.P: Buena ventilación bilateral, mvc.

  • Abdomen: blando y depresible. Molestia a la palpación de meso e hipogastrio, no masas ni visceromegalias palpables. Sin signos de irritación peritoneal.
  • EEII: sin edemas ni signos de TVP.

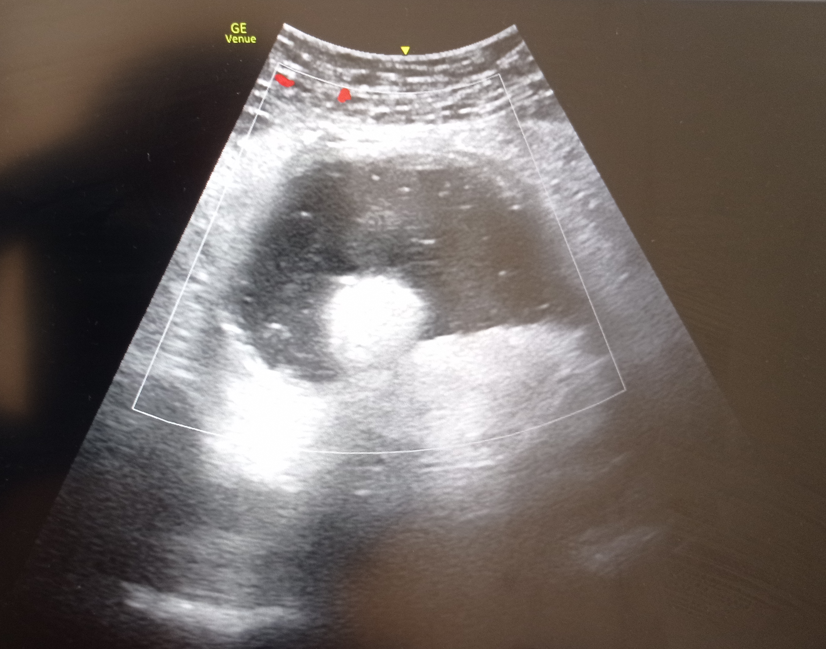
En urgencias, administramos analgesia de primer escalón. Tras 3 h de evolución, se decide realizar ecografía abdominal a pie de cama por persistencia del dolor viendo una imagen sugestiva de masa adyacente a ovario derecho que no conseguimos visualizar.

Pruebas complementarias:

AS: sin alteraciones.

Tras realización de TAC abdominopélvico describen teratoma torsionado de ovario derecho.

Juicio clínico, diagnóstico diferencial, identificación de problemas

Teratoma torsionado de ovario derecho.

Tratamiento y planes de actuación.

Se realizó ingreso a cargo del Servicio de Ginecología para intervención quirúrgica urgente.

Evolución

Favorable.

Conclusiones y aplicabilidad para la medicina de familia

La ecografía clínica en este caso, ayudó a buscar el origen del dolor en un abdomen agudo tras identificar una exploración ecográfica abdominal anormal y necesidad de ampliar el estudio.

 


Comunicaciones y ponencias semFYC: 2025; Comunicaciones: Casos clínicos. ISSN: 2339-9333

Autores

Oregi Belaustegi, Irati
Hospital de Mendaro. Osakidetza
Ramos García, Alba María
Hospital Bidasoa. Osakidetza. Hondarribia
Aguinaga Espinosa, Mikel
Hospital Bidasoa. Osakidetza. Hondarribia