V Jornadas de Ecografía de la semFYC

9 y 10 de febrero de 2024

Comunicaciones: Casos clínicos

«Dolor abdominal: del diagnóstico de presunción al de certeza» (póster)

Ámbito del caso

Atención Primaria.

Motivos de consulta

Dolor abdominal. 

Historia clínica

Enfoque individual

Se trata de un varón de 78 años con hipertensión, dislipemia, miocardiopatía hipertrófica con fracción de eyección conservada y fibrilación auricular. Como tratamiento habitual toma valsartán/hidroclorotiazida 80/12,5 mg, atorvastatina 10 mg, rivaroxabán 20 mg y atenolol 50 mg.

Acude a consulta por dolor abdominal en cuadrante superior derecho de 48 h de evolución. Náuseas acompañantes. No fiebre ni otra clínica asociada.

A la exploración física asocia constantes normales y el abdomen es blando, depresible; no se palpan masas y asocia dolor en región de epigastrio e hipocondrio derecho. No signos de irritación peritoneal.
Se decide realizar una ecografía abdominal en consulta como una herramienta más de exploración para guiar nuestra actitud ante la sospecha de una posible patología biliar.

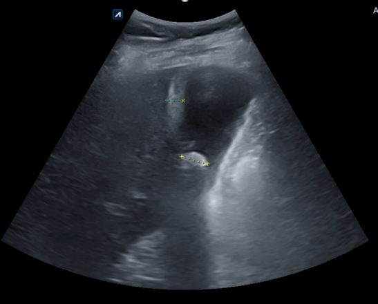
Hallazgos ecográficos

Ecoscopia abdominal: Vesícula biliar distendida con litiasis y barro biliar; visualizándose un engrosamiento de su pared. Murphy ecográfico negativo, compatible con colecistitis aguda litiásica. 

Pruebas complementarias

Se derivó al paciente a Urgencias y realizaron analítica (leucocitosis con desviación izquierda y elevación de transaminasas) y ecografía abdominal.

Juicio clínico, diagnóstico diferencial, identificación de problemas

Juicio clínico: Colecistitis aguda litiásica.

La presencia de dolor cólico en cuadrante superior derecho obliga a realizar el diagnóstico diferencial con el cólico renal, hepatitis aguda, patología pancreática, intestinal, pulmonar y pleural (neumonía del lóbulo inferior derecho o derrame), úlcera gástrica/duodenal o músculo-esquelético.

Tratamiento y planes de actuación

El paciente una vez fue diagnosticado en urgencias (ecografía compatible con colecistitis, como el diagnóstico de presunción), se ingresó en la planta de Digestivo con antibiótico intravenoso. 

Evolución

Tuvo una evolución favorable y fue dado de alta con interconsulta a cirugía general para la realización de una colecistectomía programada. 

Conclusiones (y aplicabilidad para la Medicina de Familia)

Como conclusión al caso clínico, la ecografía nos ayudó en consulta para valorar al paciente al igual que la exploración física; es una herramienta más para llegar al diagnóstico. Además, sirvió para que el paciente se pudiera tratar de forma más precoz.


Comunicaciones y ponencias semFYC: 2025; Comunicaciones: Casos clínicos. ISSN: 2339-9333

Autores

González Rodríguez, Lorena
CS Daimiel I
Sevilla Reyes, María Nazaret
CS Ciudad Real II
Rivera Alonso, Inés
CS Ciudad Real II