V Jornadas de Ecografía de la semFYC

9 y 10 de febrero de 2024

Comunicaciones: Casos clínicos

Dolor abdominal en paciente senil (póster)

Ámbito del caso

Atención domiciliaria

Motivos de consulta

Dolor abdominal, sensación nauseosa y estreñimiento

Historia clínica

Enfoque individual

Varón de 95 años, vive en casa de su sobrina, necesita ayuda para algunas actividades instrumentales de la vida diaria, función cognitiva normal. Antecedentes personales de fibrilación auricular anticoagulada con acenocumarol, hipertensión arterial, hemorragias digestivas no estudiadas y anemia normocítica (sospechosa de causa mixta por pérdidas y fallo medular). Portador de marcapasos por bloqueo aurícula ventricular. Ingreso en UCI en 2021 por neumonía por covid-19.
Dolor en epigastrio no irradiado de dos días de evolución asociado a sensación nauseosa, pérdida de apetito y estreñimiento. No fiebre.
A la exploración física paciente con regular estado general, tinte ictérico en piel y mucosas, pálido. Costantes de tensión arterial en 114/51mmHg, saturación de 92% y 72 latidos por minuto. Auscultación cardiopulmonar arrítmica tonos apagados, crepitantes en base derecha. Abdomen doloroso en epigastrio con Murphy negativo. Miembros inferiores con edemas con fóvea pretibiales.
Dado que el paciente es reticente a asistencia hospitalaria en otras ocasiones, se decide realizar ecografía portátil en domicilio para investigar posibles causas de dolor abdominal y la aparición de la ictericia.

Hallazgos ecográficos

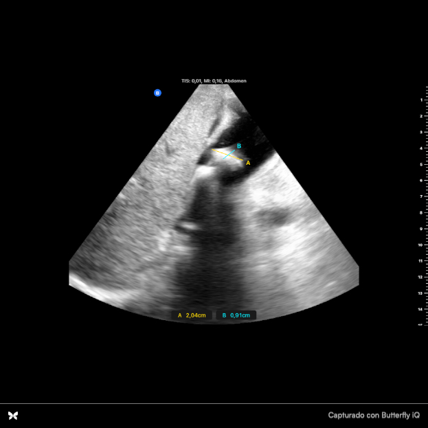
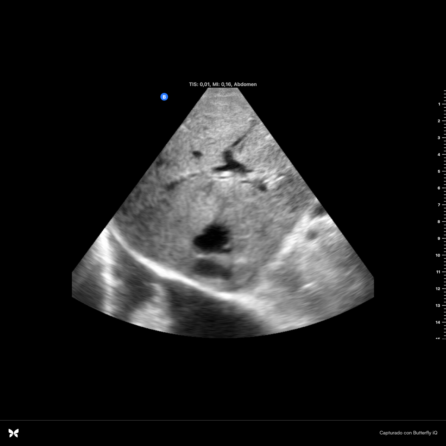
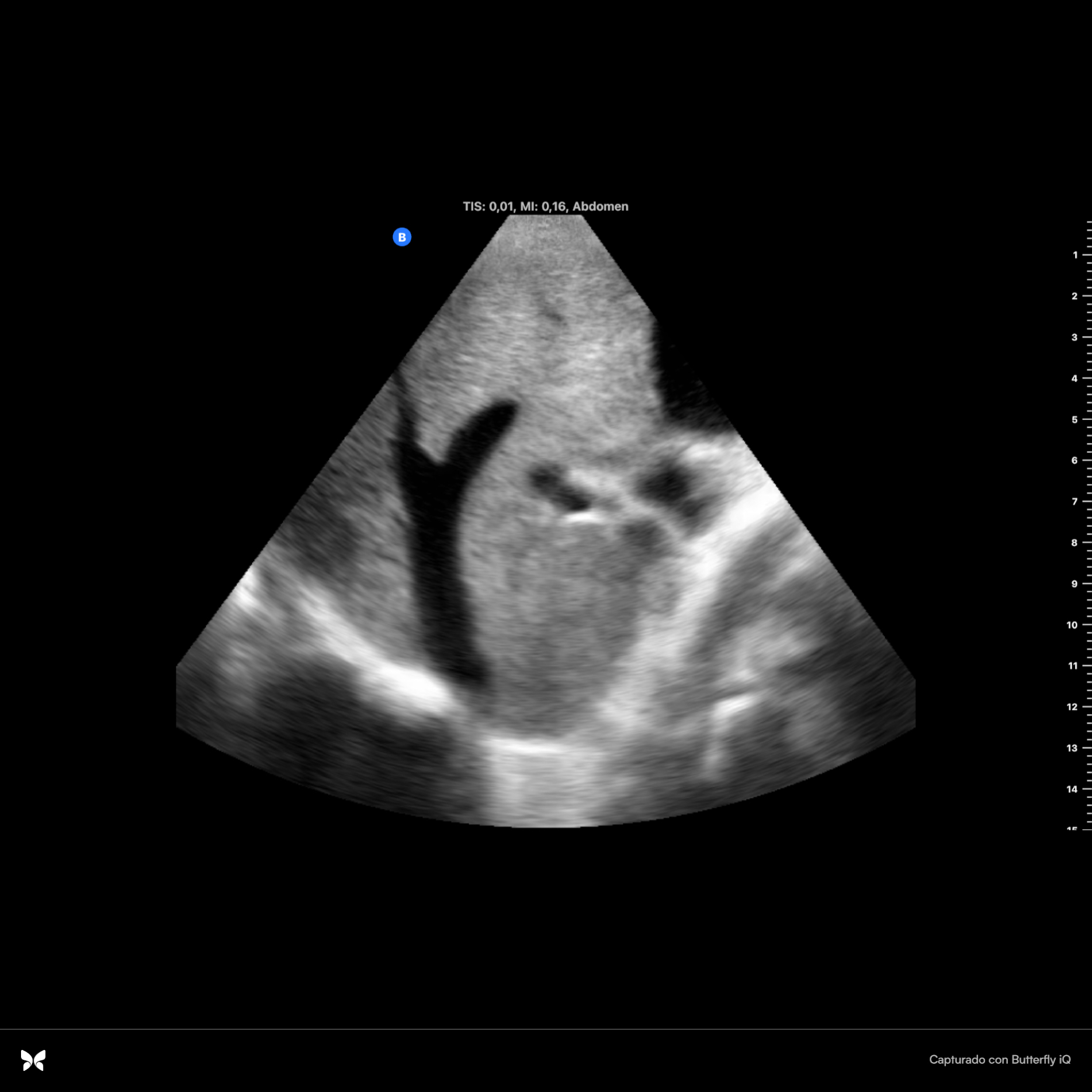
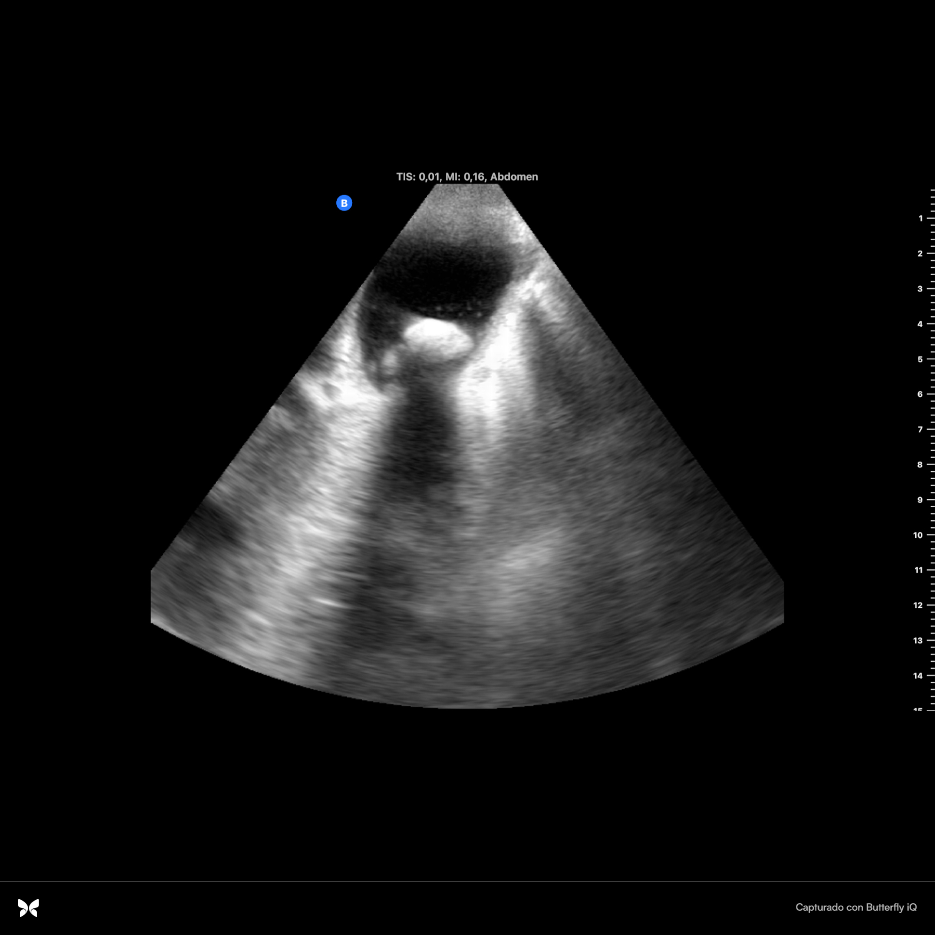
Se observan dos imágenes hiperecoicas en infundíbulo de vesícula que dejan sombra acústica posterior, una de ellas de 2 cm x 0.94 cm con aumento de grosor de vasos suprahepáticas. Parénquima hepático sin alteraciones. Se observa espacio anecoico superior al diafragma. Resto sin hallazgos.

Pruebas complementarias

En la extracción de analítica de primera hora de la mañana destaca: bilirrubina total 3.66mg/dL, bilirrubina directa 2.93mg/dL, ALT 90U/L, GGT 930U/L y FA: 398 U/L, hemoglobina 9.7g/gL.

Juicio clínico, diagnóstico diferencial, identificación de problemas

Colangitis, derrame pleural derecho.

Colangitis, pancreatitis aguda, neoplasias o procesos inflamatorios son algunos diagnósticos diferenciales.

En ecografía hospitalaria se observa claramente la dilatación de vía intra y extrahepática: colédoco con calibre de hasta 18 mm. Además se describen más hallazgos de insuficiencia cardíaca tales como líquido perivesicular y derrame plural derecho de espesor de hasta 7.5 cm y atelectasia del parénquima pulmonar.

Tratamiento y planes de actuación

Se deriva a urgencias hospitalarias. Ingreso para analgesia y antibioterapia intravenosa. Pendiente para CPRE.

Evolución

Sigue ingresado.

Conclusiones (y aplicabilidad para la Medicina de Familia)

Gracias a la ecografía realizada en domicilio se obtuvo un diagnóstico más preciso y dirigido, explicando al paciente la necesidad de asistencia hospitalaria. En caso de no haber realizado ecografía el paciente se hubiese negado a asistir.

 

 

 


Comunicaciones y ponencias semFYC: 2025; Comunicaciones: Casos clínicos. ISSN: 2339-9333

Autores

Segura Quirante, Ana
Consultorio Cúllar
Casares Gómez, Natalia
Consultorio Caniles
Bonilla Bermejo, Julia Maria
Hospital de Baza