Comunicaciones: Casos clínicos

Dolor abdominal inespecífico (Póster)

Ámbito del caso (Atención Primaria, servicios de Urgencias o atención domiciliaria)

Atención Primaria.

Motivos de consulta

Dolor abdominal.

Historia clínica

Antecedentes personales relevantes, anamnesis, exploración física y lugar que ocupa en ella la ecografía

Antecedentes personales: Hombre de 58 años, hipertenso, diabético tipo II, dislipémico y obeso, con el siguiente tratamiento crónico: Semaglutida, Canaglifozina, Olmesartán, Pitavastatina y Fenofibrato. 
Anamnesis: El paciente acude a Urgencias de Atención Primaria por dolor abdominal de una hora de evolución, que comenzó de forma súbita, tras la cena, epigástrico, con náuseas y sudoración asociada. No fiebre ni otra clínica acompañante.
Exploración física: Palidez mucocutánea, mal estado general. En la exploración abdominal, dolor a la palpación generalizada y Murphy dudoso. Resto de exploración sin alteraciones. 
Se trata de un escenario clínico donde la ecografía permite realizar el diagnóstico diferencial del abdomen agudo. 

Descripción de los hallazgos ecográficos y las imágenes más relevantes para la resolución del caso

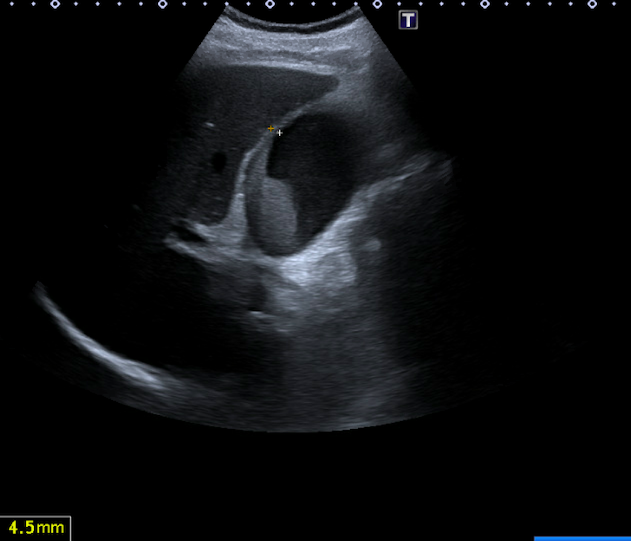
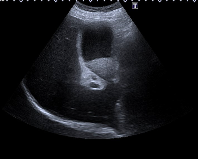
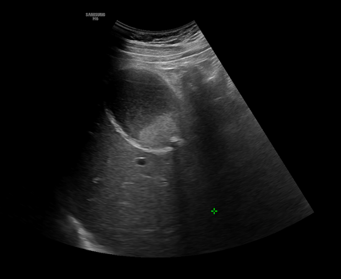
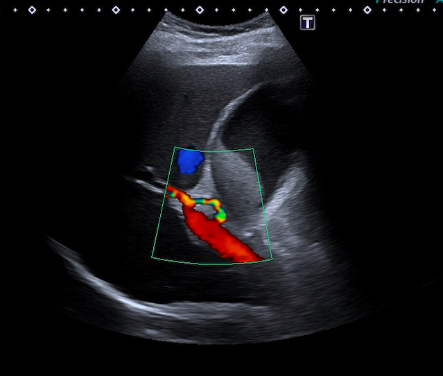
Se realiza una exploración abdominal, donde se objetiva distensión de la vesícula biliar, con un diámetro longitudinal de 10 cm, y engrosamiento de la pared de 4 mm (figura 1), abundante barro biliar (figura 2) y la presencia de una litiasis en cuello vesicular (figura 3). Murphy ecográfico positivo. Doppler negativo, sin dilatación de la vía biliar (figura 4). No líquido perivesicular. Resto de rastreo sin alteraciones.

Otras pruebas complementarias realizadas (si existen)

Electrocardiograma sin alteraciones de la repolarización. 

Juicio clínico, diagnóstico diferencial, concordancia con el hospital (en su caso)

Colecistitis aguda.

Decisiones adoptadas: tratamiento, planes de actuación

Se administra analgesia por vía endovenosa, sin mejoría. Se remite a urgencias hospitalarias, donde se realiza analítica de sangre y ecografía abdominal, confirmándose la sospecha diagnóstica de colecistitis aguda. 

Evolución y seguimiento

El paciente es intervenido de forma urgente mediante colecistectomía laparoscópica. 

Conclusiones y aplicabilidad para la medicina de familia

La ecografía clínica en Atención Primaria es una herramienta útil y accesible para el diagnóstico temprano de la colecistitis aguda. Permite identificar signos claves como el engrosamiento de la pared, la presencia de cálculos o el líquido perivesicular, lo que favorece una intervención temprana, disminuye complicaciones y mejora la eficiencia en el manejo de esta patología.

 


Comunicaciones y ponencias semFYC: 2025; Comunicaciones: Casos clínicos. ISSN: 2339-9333

Autores

González Llaneza, Aroa
CS Pola de Siero. Pola de Siero
Pérez Prada, Julia
CS Pola de Siero. Pola de Siero
Fernández Rodríguez, Roberto Carlos
CS Pola de Siero. Pola de Siero