V Jornadas de Ecografía de la semFYC

9 y 10 de febrero de 2024

Comunicaciones: Casos clínicos

Dolor en muslo tras cirugía correctora de insuficiencia venosa periférica (póster)

Ámbito del caso

Atención Primaria

Motivos de consulta

Dolor en cara interna del muslo izquierdo tras safenectomia.

Historia clínica

Enfoque individual

Paciente de 47 años con los antecedentes personales de HTA, obesidad grado II, IVP CEAC IV, sedentaria y trabajadora de McDonald que refiere dolor intenso en cara interna del muslo izquierdo de varios dias de evolucion tras safenectomia interna izquierda por los antecedentes anteriormente descritos. No disnea.
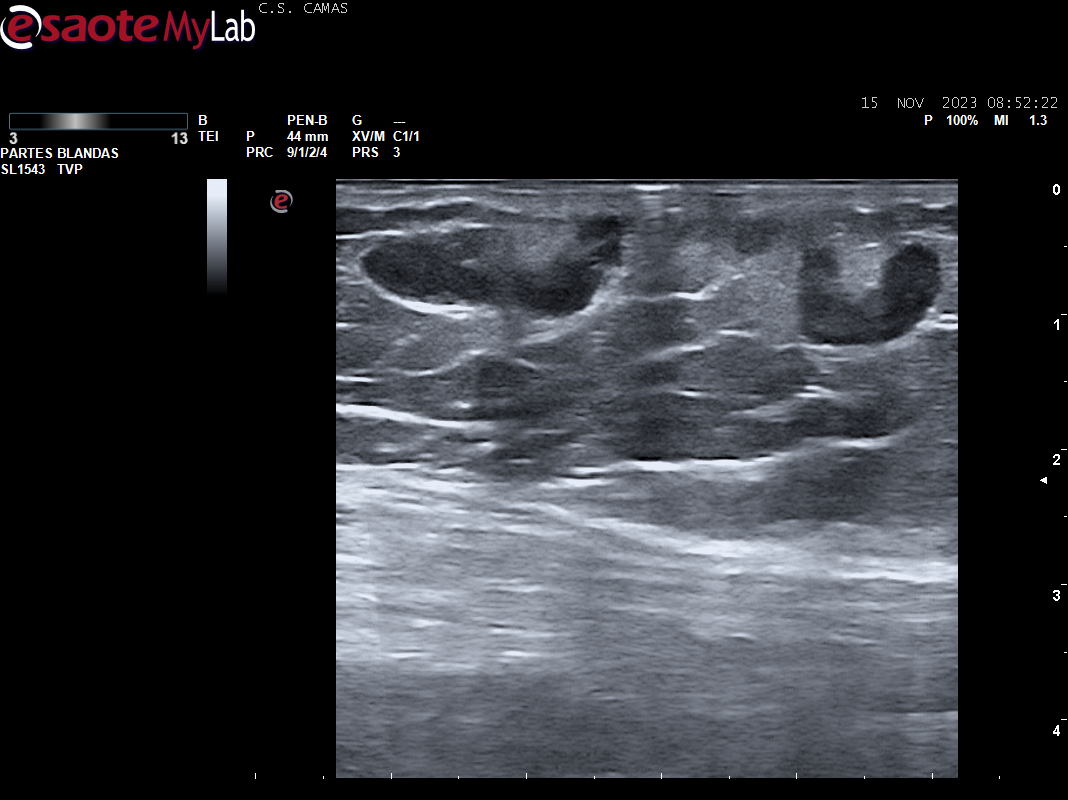
A la exploración se aprecia cordón varicoso en cara interna del muslo izq. Se realiza POCUS en consulta para descartar la presencia de TVP.

Hallazgos ecográficos

Ecografia vascular cara interna del muslo izq: Trombosis de todo el recorrido de la safena izq con dolor al paso de la sonda por colaterales inferiores que colapsan. Presenta además en zona del cayado de la safena imagen heterogenea sin apreciar la llegada de la safena a la femoral común compatible con arrancamiento de la misma.

Pruebas complementarias

No se realizaron otras pruebas complementarias.

Juicio clínico, diagnóstico diferencial, identificación de problemas

Trombosis de todo el recorrido de la safena interna izquierda con tromboflebitis de las colaterales inferiores que concuerda con el diagnóstico hospitalario.

Tratamiento y planes de actuación

Dada la clinica de la paciente, los hallazgos ecográficos y la discordancia con la intervención realizada se decide su derivación a urgencias hospitalarias.

Evolución

Tras ser valorada en urgencias hospitalarias por el equipo de cirugía vascular, su diagnóstico concuerda con el nuestro, pero no así su desición terapéutica ya que deciden la pauta de INES y HBPM a dosis profilacticas 1 mg/Kg advirtiendo que se trata de un proceso/evolución natural de la cirugia realizada.

Conclusiones (y aplicabilidad para la Medicina de Familia)

La safenectomia es una intervención quirúrgica que se realiza en el quirófano bajo anestesia general o raquídea. Se realiza una incisión en la ingle de unos 3 - 4 cm, como así presentaba la paciente, justo en la zona donde la vena safena causante de las varices desemboca en las venas profundas.
 
Pero al realizar la ecografía y encontrarnos ante la presencia de una safena interna trombosada pensamos que la intervención que se le ha practicado ha sido por escleroterapia con microespuma de polidocanol. 

Dado que presentaba una cicatriz quirurgica para la realización de safenectomia, creemos que pudo producirse una complicación/dificultad para su realización y optaron por la realizacion de la técnica con microespuma, cuya evolución es la que presenta la paciente.


Comunicaciones y ponencias semFYC: 2025; Comunicaciones: Casos clínicos. ISSN: 2339-9333

Autores

García López, Antonio
CS Camas
Tena Santana, Gonzalo
Hospital de Rio Tinto
Plata Martinez, Juan José
Hospital de Rio Tinto