Comunicaciones: Casos clínicos

Dolor en pene (Oral)

Ámbito del caso (Atención Primaria, servicios de Urgencias o atención domiciliaria)

Atención Primaria consulta de Centro de Salud.

Motivos de consulta

Dolor en pene.

Historia clínica

Antecedentes personales relevantes, anamnesis, exploración física y lugar que ocupa en ella la ecografía

Hombre 28 años.
Antecedentes sin interés.

Anamnesis: Hace 2 semanas, mientras mantenía relaciones, estando en erección se dobló pene hacia abajo y desde entonces presenta dolor en base del pene. No disuria ni hematuria.

Exploración: dolor a la palpación y movilización en ⅓ inferior de cara dorsal del pene. Se palpa formación tubular dura dolorosa. No tumefacción ni hematoma de la zona afectada.

Se decide completar la exploración realizando en consulta una ecografía clínica de pene. 

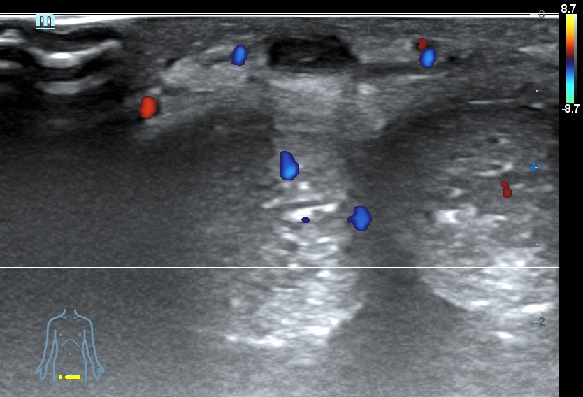
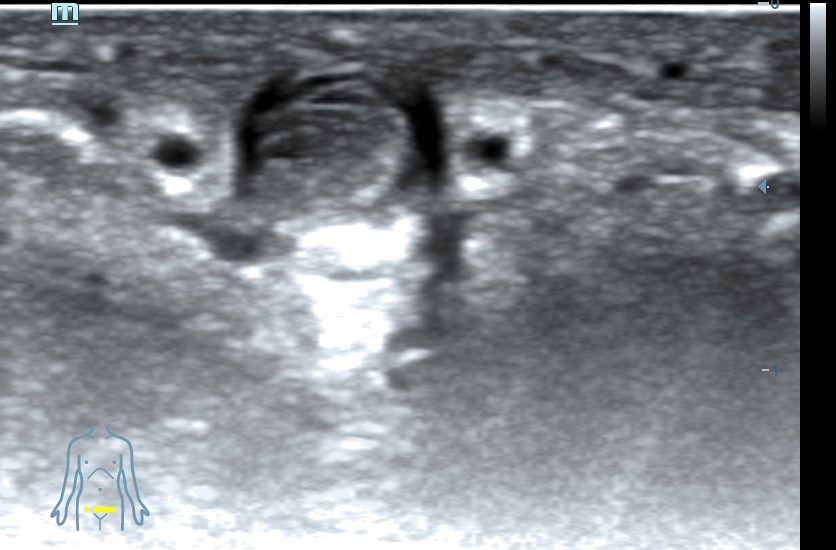
Descripción de los hallazgos ecográficos y las imágenes más relevantes para la resolución del caso

Ecografía clínica pene: se visualiza vena dorsal rellena de material hipoecogénico heterogéneo, no compresible, no flujo con Doppler color.

Otras pruebas complementarias realizadas (si existen)

No se realizaron otras pruebas.

Juicio clínico, diagnóstico diferencial, concordancia con el hospital (en su caso)

Diagnóstico: Trombosis vena dorsal del pene.

Decisiones adoptadas: tratamiento, planes de actuación

Se pauta AINE pra el dolor y se deriva a urología. 

Evolución y seguimiento

Urólogo le explica benignidad y que se resolverá espontáneamente. Mantener AINE si dolor.

A la 6ª semana el paciente estaba asintomático.

Conclusiones y aplicabilidad para la medicina de familia

La trombosis de la vena dorsal del pene (o flebitis de Morton) es una rara entidad que cursa con dolor e induración dorsal, la etiología puede ser traumática, neoplásica, por excesiva actividad sexual o prolongada abstinencia. Puede cursar de forma aguda, subaguda o crónica. Para el diagnóstico, el estudio de imagen ideal es el eco-Doppler y el tratamiento se basa en antiinflamatorios y antibióticos en caso de infección. Pueden ser útiles sustancias heparinizantes locales reservándose el manejo quirúrgico con trombectomía o resección de la vena dorsal para casos persistentes.
Desde la consulta de Atención Primaria, la exploración y ecografía clínica nos permite un diagnóstico rápido y certero, facilitando la toma de decisiones terapéuticas y el seguimiento clínico. 

 


Comunicaciones y ponencias semFYC: 2025; Comunicaciones: Casos clínicos. ISSN: 2339-9333

Autores

Diaz Ramirez, Ana
CS de Doctoral. Vecindario, Las Palmas
González Jiménez, Miguel
CS de Doctoral. Vecindario, Las Palmas
Diaz Barreiros, Miguel Angel
CS de Doctoral. Vecindario, Las Palmas