Comunicaciones: Casos clínicos

Dolor mandibular como expresión de patología emergente (Póster)

Ámbito del caso (Atención Primaria, servicios de Urgencias o atención domiciliaria)

Servicio de Urgencias.

Motivos de consulta

Dolor mandibular y otorragia.

Historia clínica

Enfoque individual: antecedentes personales, anamnesis, exploración, pruebas complementarias, etc.

Mujer de 82 años sin alergias conocidas, hipertensa y con Flutter auricular desde 2009.

Acude refiriendo dolor mandibular bilateral de inicio hacía tres horas mientras achicaba agua tras inundarse su garaje asociado a otorragia leve en oído derecho con leve cefalea occipital (3 de 10 en la Escala Visual Analógica) sin náuseas, vómitos u otra clínica. No traumatismo craneal.

Exploración física: Tensión arterial 160/110 mmHg; afebril (Tª 36.7 ºC); FC 120 lpm; SatOs 96%. Buen estado general. Exploración neurológica normal con pulso temporal izquierdo palpable y derecho indiferente, ATM con dolor a la palpación bilateral y otoscopia en oído izquierdo con tapón de cerumen y derecho con tímpano perforado en borde inferior interno, sin evidencia de sangrado activo. Resto sin hallazgos destacables.

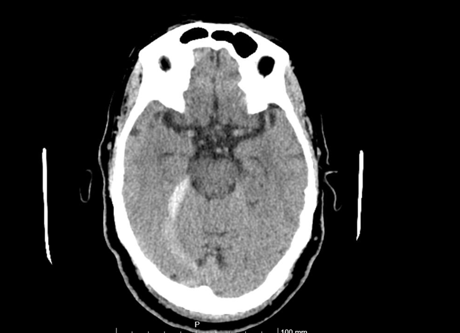
Pruebas de laboratorio normales. ECG con fibrilación auricular a 120 lpm. TAC craneal simple: Hemorragia subaracnoidea en tentorio derecho y hoz cerebral posterior junto con encefalopatía de pequeño vaso crónica severa (Fazekas 3). 

Enfoque familiar y comunitario: estudio de la familia y la comunidad (si fuese necesario)

No.

Juicio clínico, diagnóstico diferencial, identificación de problemas

Juicio clínico: Hemorragia subaracnoidea espontánea y otitis media crónica perforada en oído derecho.
Diagnóstico diferencial: Arteritis de la Temporal, Disfunción de la articulación temporomandibular, bruxismo, problemas otológicos como otitis perforadas, cefalea tensional.
Problemas: dolor mandibular, otorragia, cefalea tensional. 

Tratamiento y planes de actuación.

Bisoprolol oral, primperán iv, paracetamol iv y labetalol iv. Plan: realizar prueba de imagen cerebral (TAC) e interconsulta con ORL. Neurocirugía desestimó la intervención e indicó únicamente retirar la anticoagulación y vigilar evolución. 

Evolución

A la anamnesis presentaba buen estado general salvo por la leve cefalea. Posteriormente presentó náuseas y empeoramiento general con aparición de fibrilación auricular rápida, vómitos y aumento de la cefalea. Fue vista por ORL con diagnóstico de otitis media crónica perforada en oído derecho. Posteriormente se realizó el TAC craneal que dio el diagnóstico final. 

Conclusiones y aplicabilidad para la medicina de familia

Debemos tratar al paciente atendiendo la globalidad de sus síntomas, además a veces los síntomas comunes son expresión de otras patologías menos frecuentes y más urgentes y por último, el cuadro clínico usual no es que siempre tendrán nuestros pacientes.


Comunicaciones y ponencias semFYC: 2025; Comunicaciones: Casos clínicos. ISSN: 2339-9333

Autores

Alcázar Pérez, Cristina
CS Profesor Jesús Marín-Molina Sur (Hospital Morales Meseguer). Murcia
De La Ossa Guirao, Isidro
CS Vistabella, Hospital Reina Sofía. Murcia