V Jornadas de Ecografía de la semFYC

9 y 10 de febrero de 2024

Comunicaciones: Casos clínicos

Ecografía ambulatoria detectando cardiopatía (póster)

Ámbito del caso

Derivado a ecografía de atención primaria por su médico de familia.

Motivos de consulta

Disnea y edemas maleolares. Hallazgo casual elevación gamma glutamil transpeptidasa (GGT) en analítica.

Historia clínica

Enfoque individual

  • Antecedentes: Varón de 82 años. No alergias medicamentosas conocidas ni hábitos tóxicos. Independiente actividades básicas de la vida diaria. Antecedente de dislipemia, hipertensión y fibrilación auricular.
  • Anamnesis: Edemas en ambas extremidades inferiores y disnea progresiva de dos semanas hasta llegar a medianos esfuerzos, sin ortopnea.
  • Exploración física: Saturación 97%. A la auscultación crepitantes bibasales. Exploraciones complementarias iniciales: Electrocardiograma en fibrilación auricular sin cambios respecto a previos. Analítica con elevación de GGT, por lo que se solicita ecografía abdominal.

Hallazgos ecográficos

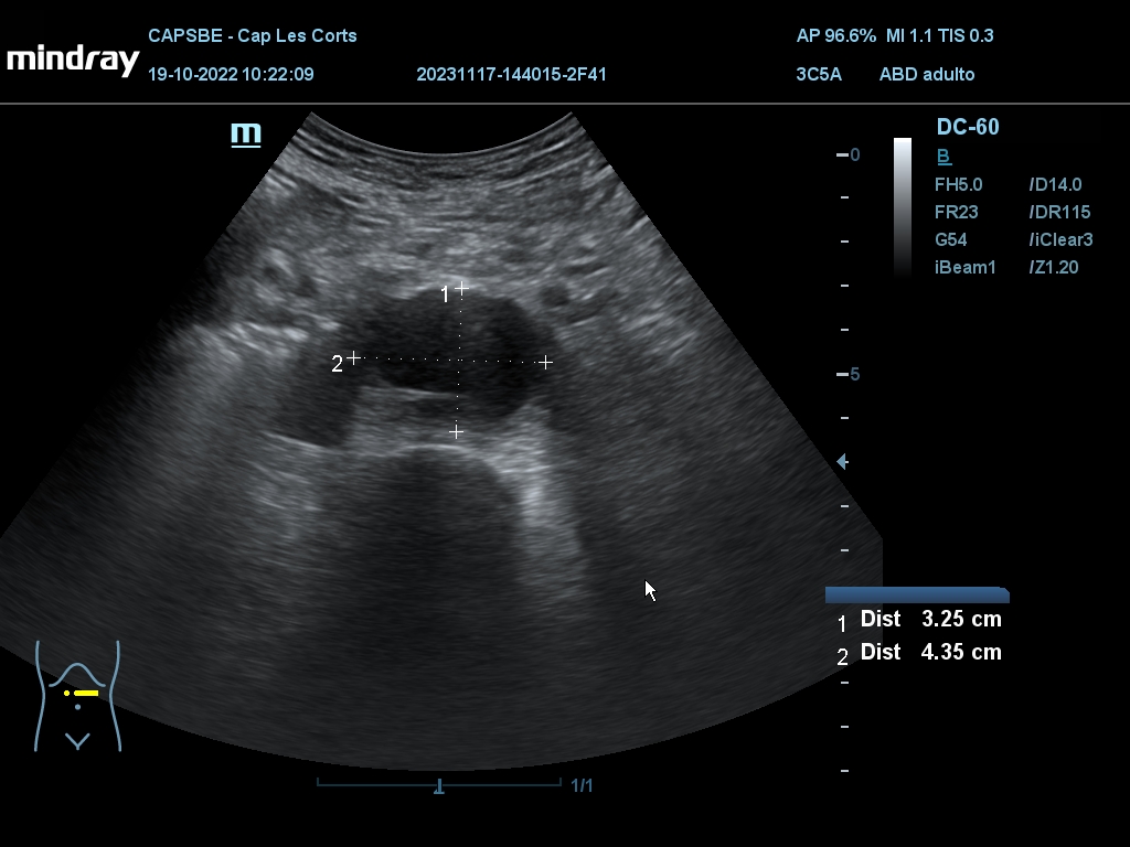
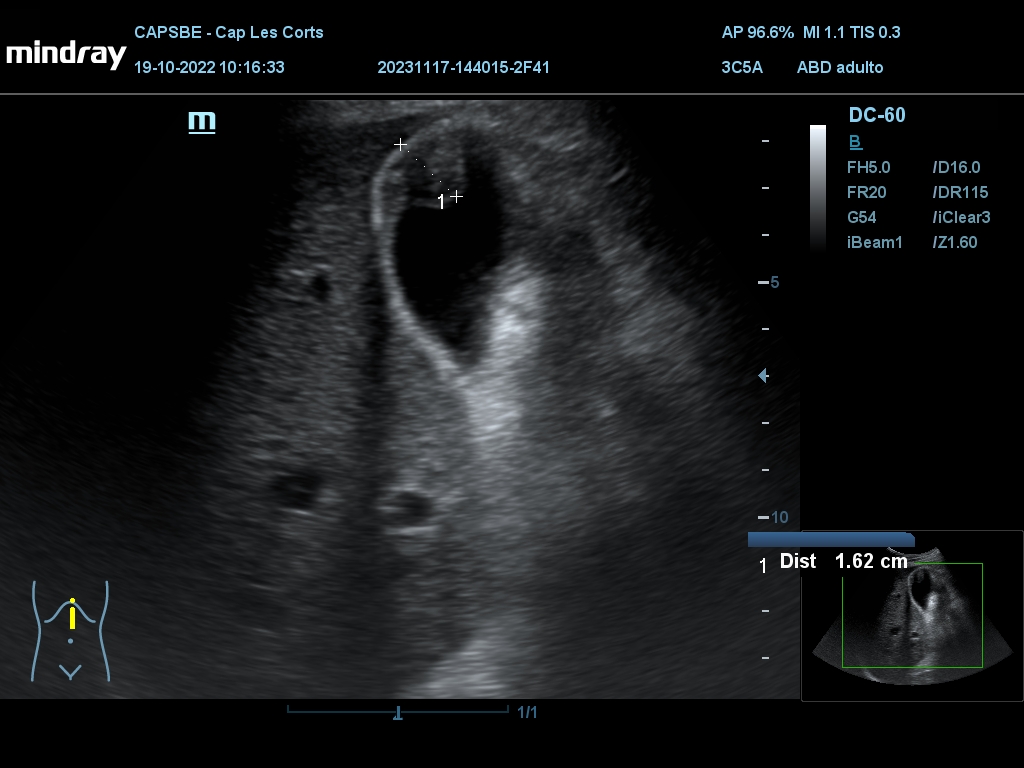
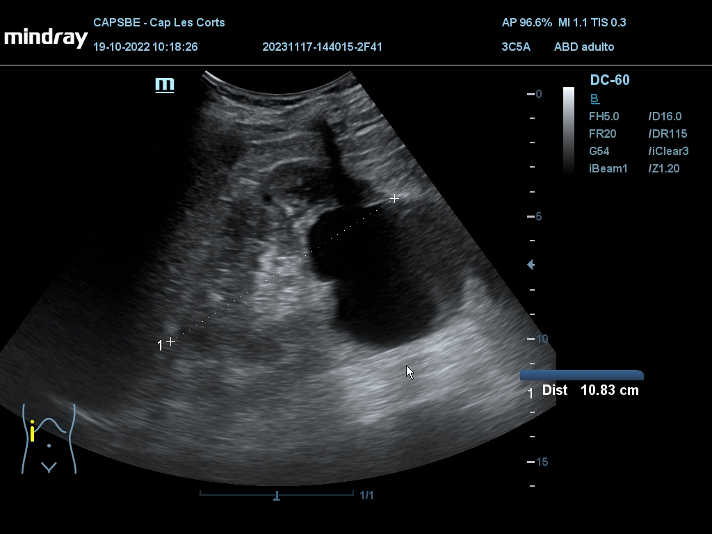
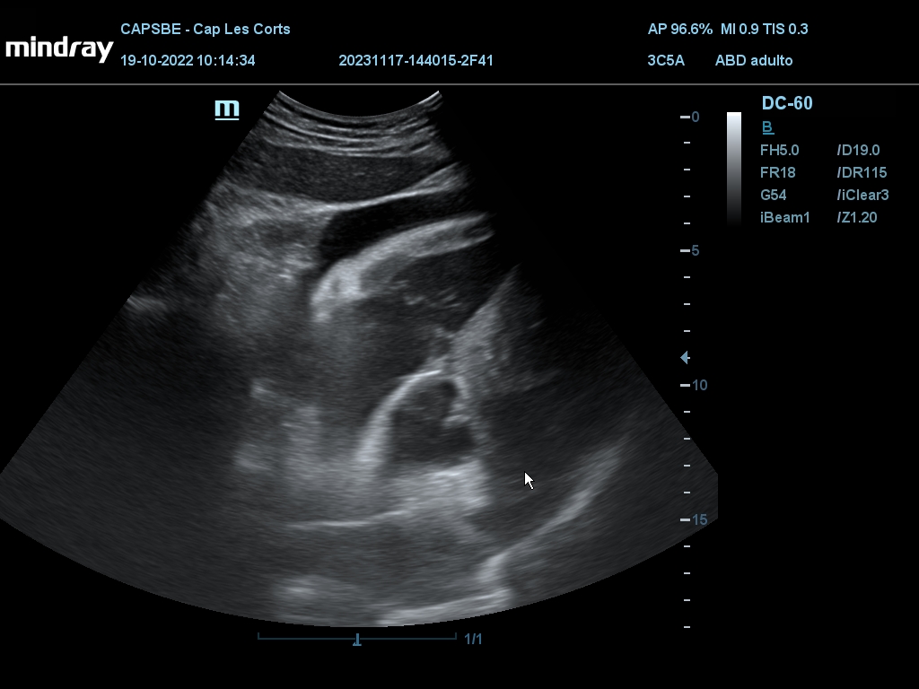
Derrame pericárdico. Vesícula biliar con grosor parietal de 1,6 cm, heterogénea, no se moviliza con cambios posturales. Quistes renales derechos, mayor de 7 cm. Aorta ateromatosa y aneurismática de 36 x 42 mm. Sin líquido intraabdominal.
(Se adjuntan imágenes del derrame, engrosamiento biliar, riñón derecho y aneurisma de aorta).

Pruebas complementarias

  • Ecocardiografía: FE 50%. Ventrículos engrosados, aurícula izquierda dilatada, derrame pericárdico. Signos sugestivos de infiltración (posible amiloidosis).
  • Resonancia: cardiomegalia infiltrativa y aneurisma aorta infrarrenal.
  • Gammagrafía con pirofosfatos (en cardiología) confirma amiloidosis.

Juicio clínico, diagnóstico diferencial, identificación de problemas

Tras realizar la ecografía en el CAP se orienta como insuficiencia cardíaca con derrame pericárdico a estudio, así como lesiones biliares a valorar por Digestivo. Las pruebas complementarias confirmaron enfermedad cardíaca por amiloidosis.

Tratamiento y planes de actuación

Se realiza tratamiento depletivo con furosemida para la insuficiencia cardíaca. Posteriormente se añadió tratamiento con enalapril y bisoprolol.

Evolución

El paciente es incluido, por parte de Cardiología del Hospital, en estudio global en fase III, aleatorizado, doble ciego y controlado con placebo para evaluar la eficacia y la seguridad de ION-682884 en pacientes con miocardiopatía amiloide por transtiretina (MCATTR). Es dado de alta de Digestivo tras estudio de las lesiones biliares sin relevancia clínica y sigue control habitual por medicina de familia.

Conclusiones (y aplicabilidad para la Medicina de Familia)

En este caso observamos como la ecografía en Atención Primaria (con exploración más global) permite encontrar diferentes hallazgos incidentales, algunos significativos (cardiopatía) y otros que requieren estudio y seguimiento, adelantando mucho el proceso de diagnóstico y detectando a tiempo situaciones que pueden ser urgentes, en especial el aneurisma de aorta.
 
 
 
 

Comunicaciones y ponencias semFYC: 2025; Comunicaciones: Casos clínicos. ISSN: 2339-9333

Autores

Porta Suárez, Marc
CAP Les Corts. Barcelona
Raposo De Sao Pedro, Paula
CAP Les Corts. Barcelona
Contreras Raris, Bibiana
CAP Les Corts. Barcelona