V Jornadas de Ecografía de la semFYC

9 y 10 de febrero de 2024

Comunicaciones: Casos clínicos

Ecografía ambulatoria en el diagnóstico del hepatocarcinoma (póster)

Ámbito del caso

Ecografía del Centro de Atención Primaria (CAP).

Motivos de consulta

Astenia

Historia clínica

Enfoque individual

Mujer de 76 años, natural de India. Vive en familia. Barrera idiomática. Sin alergias medicamentosas conocidas o hábitos tóxicos.

Antecedentes patológicos: Hipertensión arterial en tratamiento con enalapril, alteración de función hepática con fosfatasa alcalina (FA) con valores de 203-222 y enzima hepático GGT de 186-275; obteniendo un FIB-4 de 3,35, desde 2021; por lo cual realizó analíticas de seguimiento manteniéndose asintomática. Ecografía en 2021 objetivándose leve esteatosis hepática.

  • Anamnesis: Clínica de astenia, hiporexia, pérdida ponderal no cuantificada, artromialgias y episodios de urticaria de más de 3 meses de evolución.
  • Exploración física: Dolor inespecífico en hipocondrio derecho y edemas distales.

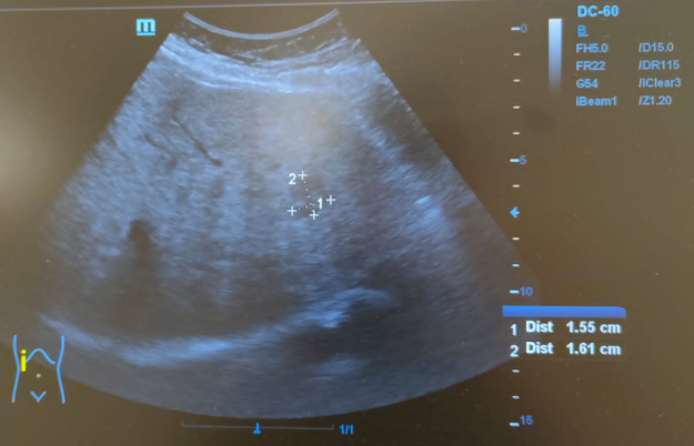
Hallazgos ecográficos

Hígado de tamaño normal, contornos ligeramente nodulares, alteración de la ecoestructura compatible con hepatopatía crónica. Nódulo hipoecoico de contornos irregulares en lóbulo hepático izquierdo de 16x24mm sin captación Doppler.

Pruebas complementarias

TAC: Nódulo de 17 mm en segmento II que capta contraste en fase arterial con discreto lavado en fase portal y seudocápsula que sugerirían un carcinoma hepatocelular(CHC).

RM: El estudio dinámico estaba muy artefactado. Altamente sugestiva de CHC.

Biopsia: CHC

Juicio clínico, diagnóstico diferencial, identificación de problemas

Tras realizar la ecografía en el CAP se observó un nódulo hipoecoico de contornos irregulares. Entre los diagnósticos diferenciales posibles que justificasen el patrón de colestasis se encontraba el CHC o una metástasis, por lo que se realizó una prueba complementaria que confirmó el diagnóstico de CHC.

Tratamiento y planes de actuación

Radiofrecuencia (RF) sobre CHC.

Evolución

Ecografía con contraste (CEUS) observando respuesta favorable al tratamiento.

Conclusiones (y aplicabilidad para la Medicina de Familia)

La incorporación de la ecografía en la práctica clínica habitual de la Atención Primaria resulta valiosa, ya que su realización inmediata permite tomar decisiones vitales para los pacientes; como confirmar enfermedades que requieran soporte de otras especialidades de una forma más temprana; mejorando de este modo su pronóstico. De la misma manera en otros casos permite descartar gravedad, continuando su seguimiento en Atención Primaria.

En la actualidad, el avance tecnológico permite al Médico de Familia y Comunitaria la posibilidad de disponer de una sonda ecográfica conectada a su móvil; consiguiendo así una práctica clínica más resolutiva; como ha sido el fonendoscopio durante décadas.


Comunicaciones y ponencias semFYC: 2025; Comunicaciones: Casos clínicos. ISSN: 2339-9333

Autores

Raposo De Sao Pedro, Paula
Cap Les Corts. Barcelona
Porta Suárez, Marc
Cap Les Corts. Barcelona
Mas Heredia, Minerva
Cap Les Corts. Barcelona