X Jornadas de Actualización en Medicina de Urgencias y VI Jornadas de Ecografía de la semFYC
6-7-8 de febrero de 2025
Atención Primaria.
Hematuria.
Antecedentes personales relevantes, anamnesis, exploración física y lugar que ocupa en ella la ecografía
Hombre de 76 años exfumador que consulta por hematuria franca intermitente de dos meses de evolución sin síntomas miccionales asociados. Fue valorado en consultas de urología en abril de 2024 por infección de tracto urinario de repetición con cultivos positivos a E. Coli desde agosto de 2023, realizan ecografía de aparato urológico en gabinete radiológico que informa de no visualización de vejiga por no estar repleccionada.
Acude a consulta de nuevo en agosto de 2024 continuar con episodios intermitentes de hematuria franca sin coágulos. Solicito citología de orina, analítica básica de sangre y orina, urocultivo, realizó ecografía de aparto urinario y derivo a Urología de manera preferente.
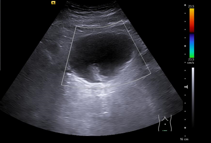
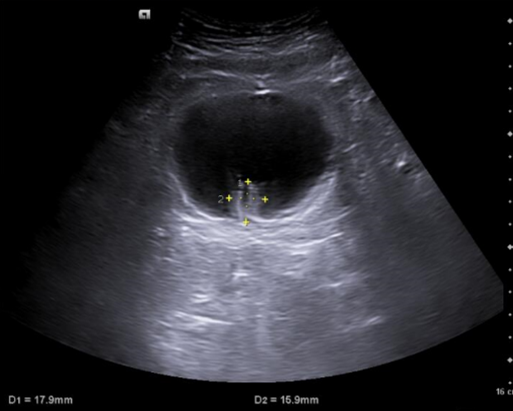
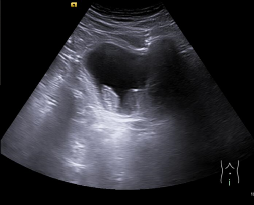
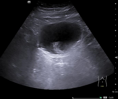
Descripción de los hallazgos ecográficos y las imágenes más relevantes para la resolución del caso
En ecografía clínica de aparato urinario se objetiva a nivel de vejiga imagen hiperecogénica dependiente de pared que no se moviliza con la movilización del paciente y no capta con modo Doppler color.
Otras pruebas complementarias realizadas (si existen)
Analítica: Bioquímica: Glucosa 117, Creatinina 1.41, Sodio 140, Potasio 4.3. Hemograma: Hemoglobina 10,3, Plaquetas 279.0, Leucocitos 7,45, Neutrófilos 4,70, Linfocitos 2,05. Coagulación: ratio Tiempo de Protrombina 1,00, PTTA ratio 0,99, Fibrinógeno derivado 296.
Urocultivo agosto 2024: Negativo.
Ecografía aparato urinario agosto 2024: Litiasis en cáliz medio izquierdo de 6 mm, lesiones vesicales, próstata de 45 g.
Cistoscopia agosto 2024: Descripción de hallazgos vesicales: Lesión papilo-sólida en fondo vesical con calcificaciones en su superficie, de aproximadamente 1-1,5 cm de tamaño.
Juicio clínico, diagnóstico diferencial, concordancia con el hospital (en su caso)
Carcinoma de vejiga.
Decisiones adoptadas: tratamiento, planes de actuación
Se deriva a consultas externas de Urología para estudio preferente de hematuria por alta sospecha de tumor vesical, donde realizar estudio de la lesión e ingresan de manera programa para resección transuretral de lesión vesical.
Evolución y seguimiento
Tras la intervención la evolución ha sido favorable por lo que se le da el alta hospitalaria con sonda vesical para seguimiento ambulatorio en consultas externas.
El manejo de la ecografía por parte del Médico de Atención Primaria es una herramienta útil, fiable y accesible en el ámbito de la de Medicina de Familia que aporta información permitiendo correlacionar la clínica con los resultados de las imágenes obtenidas ayudando así a la toma de decisiones. En el caso de la hematuria se trata de una prueba rápida e inocua que permite establecer un diagnóstico definitivo y poder instaurar así el tratamiento adecuado.