V Jornadas de Ecografía de la semFYC

9 y 10 de febrero de 2024

Comunicaciones: Casos clínicos

Ecografía clínica rodilla derecha: trombosis venosa profunda (póster)

Ámbito del caso

Atención Primaria

Motivos de consulta

Gonalgia derecha.

Historia clínica

Enfoque individual

Varón de 70 años que consulta por gonalgia derecha tras traumatismo hace días y no mejoría de dolor. EF: Derrame articular, no hematoma, no dolor a la palpación de interlínea articular, cajón anterior y posterior negativo, bostezo en varo positivo. Se realiza ecografía para valoración tendinosa.

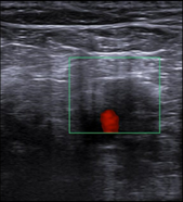
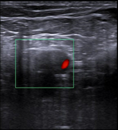
Hallazgos ecográficos

En ecografía clínica realizada por dolor de rodilla derecha se aprecia en región posterior vena poplítea que no comprime. En modo Doppler: defecto de repleccion del vaso por probable trombo intraluminal.

Pruebas complementarias

Analítica: Dimero D 5371.

Doppler miembro inferior derecho: Ocupación de vena poplítea por material ecogénico, no permeable ni compresible, sin flujo doppler presente. Venas femoral común, superficial y troncos infrapoplíteos permeables y compresibles. Safena mayor y ambos cayados permeables y compresibles. Conclusión: TVP vena poplítea derecha. 

Juicio clínico, diagnóstico diferencial, identificación de problemas

TVP de vena poplítea derecha.

Diagnóstico diferencial: lesión meniscal, lesión ligamento lateral externo.

Tratamiento y planes de actuación

Se deriva a urgencias hospitalarias donde se propone ingreso en planta de Medicina Interna para estudio e inicio de anticoagulación con heparina de bajo peso molecular (HBPM).

Evolución

Estable y asintomático durante su estancia en planta, sin edema, dolor ni tumefacción de la pierna afecta. No síntomas respiratorios. Se inicia HBPM con buena tolerancia y se plantean opciones de anticoagulación a largo plazo, optando por continuar con HBPM. Es alta para seguimiento en consultas externas.

Conclusiones (y aplicabilidad para la Medicina de Familia)

La ecografía por parte del Médico de Atención Primaria en el caso de la TVP se trata de una prueba rápida e inocua que permite el diagnostico precoz así como tratamiento de esta patología potencialmente grave.

 

 


Comunicaciones y ponencias semFYC: 2025; Comunicaciones: Casos clínicos. ISSN: 2339-9333

Autores

Latorre Rui, Gloria
CS San Antón. Cartagena
Palacios Colom, Alberto
CS San Antón. Cartagena
Andujar Martinez - Moratalla, Maria
CS San Antón. Cartagena