V Jornadas de Ecografía de la semFYC

9 y 10 de febrero de 2024

Comunicaciones: Casos clínicos

Ecografía en Atención Primaria: afinando nuestra sospecha clínica en un caso de dolor abdominal (póster)

Ámbito del caso

Atención Primaria

Motivos de consulta

Dolor abdominal

Historia clínica

Enfoque individual

Mujer de 30 años sin factores de riesgo cardiovascular ni otros antecedentes personales, con lactancia materna actual, que acude por dolor abdominal de 3 días de evolución, sin náuseas, vómitos ni fiebre. Fue valorada y dada de alta, tras analítica, en Urgencias Hospitalarias el día previo. La paciente se encontraba muy sintomática durante la exploración física, con dolor a la palpación de hipocondrio derecho y Murphy +. Ausencia de ictericia. Se realiza ecografía urgente en el Centro de Salud para valorar nueva derivación al ámbito hospitalario.

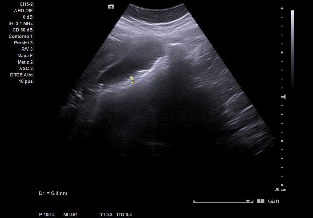
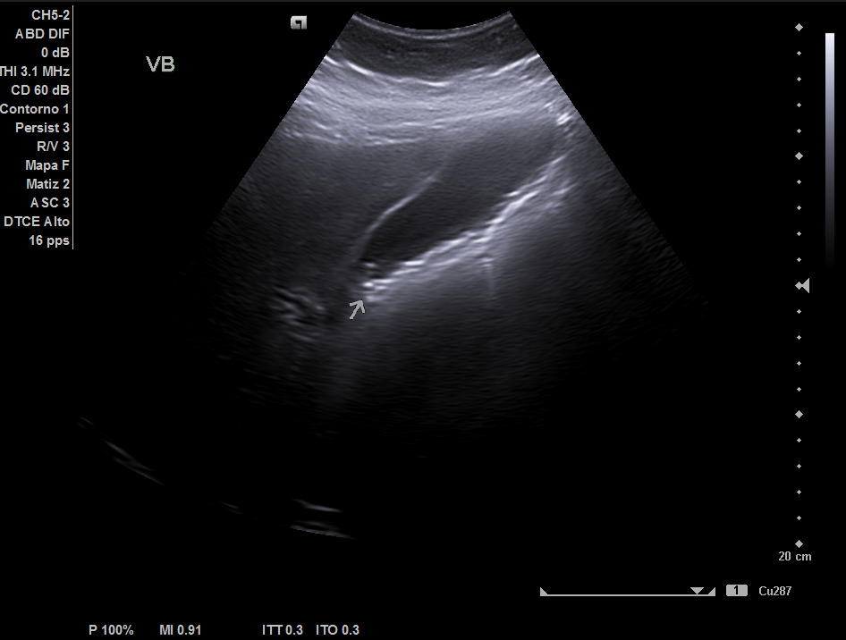
Hallazgos ecográficos

Hígado de tamaño, forma y ecoestructura conservadas, con parénquima homogéneo. Vena porta de calibre conservado. Colédoco dilatado, de 8,8 mm. Vesícula biliar de paredes gruesas y edematizadas (5,4 mm) en cara posterior, con contenido ecogénico y 2 microlitiasis en su infundíbulo.

Pruebas complementarias

En la analítica de Urgencias del día anterior:  GPT 983

Juicio clínico, diagnóstico diferencial, identificación de problemas

Colecistitis aguda. Diagnóstico diferencial: Colelitiasis, Coledocolitiasis, Colangitis aguda. Tras nueva valoración por parte de los servicios hospitalarios de Urgencias, Aparato digestivo y Cirugía general se diagnosticó de colelitiasis sintomática y coledocolitiasis sin signos de colecistitis.

Tratamiento y planes de actuación

Se administró diclofenaco IM en el Centro de Salud, se realizó ecografía clínica urgente y con los resultados se derivó a la paciente al servicio de Urgencias Hospitalario.

Evolución

Tras su estancia en Urgencias, la paciente ingresó en Digestivo para control sintomático y realización de CPRE (colangiopancreatografía retrógrada endoscópica). Posteriormente fue valorada por Cirugía General, realizándose colecistectomía laparoscópica en un segundo tiempo sin complicaciones.

Conclusiones (y aplicabilidad para la Medicina de Familia)

En este caso la ecografía permitió reevaluar de manera rápida y eficiente a la paciente. Los hallazgos reafirmaron con certeza nuestro juicio clínico de patología de vía biliar, ya orientado a través de la historia clínica realizada en consulta. Así pues, la ecografía facilitó la toma de decisiones y la nueva derivación pertinente al ámbito hospitalario para un tratamiento especializado necesario.

 


Comunicaciones y ponencias semFYC: 2025; Comunicaciones: Casos clínicos. ISSN: 2339-9333

Autores

Lorenzo Sáez, Ana
Profesor Jesús Marín. Molina de Segura
Alcázar Pérez, Cristina
Profesor Jesús Marín. Molina de Segura
Delsors Mérida-Nicolich, Eloisa
Profesor Jesús Marín. Molina de Segura