Comunicaciones: Casos clínicos

Ecografía en Atención Primaria, la herramienta clave para la detección temprana de masas hepáticas (Póster)

Ámbito del caso (Atención Primaria, servicios de Urgencias o atención domiciliaria)

Atención Primaria.

Motivos de consulta

Realización de analítica de rutina para control de enfermedades crónicas.

Historia clínica

Antecedentes personales relevantes, anamnesis, exploración física y lugar que ocupa en ella la ecografía

Hombre de 70 años con historial de cardiopatía isquémica y enolismo crónico en seguimiento por Digestivo por hipertransaminasemia. En ecografías hospitalarias realizadas dos años atrás, se apreciaba una moderada esteatosis hepática sin otros hallazgos relevantes.

En una analítica de rutina realizada en Atención Primaria aparece una amilasa discretamente elevada y un empeoramiento discreto de las enzimas de citolisis. Ante estos hallazgos y, dado que se dispone de ecógrafo en el Centro de Salud, se procede a realizar una ecografía en el mismo acto.

Descripción de los hallazgos ecográficos y las imágenes más relevantes para la resolución del caso

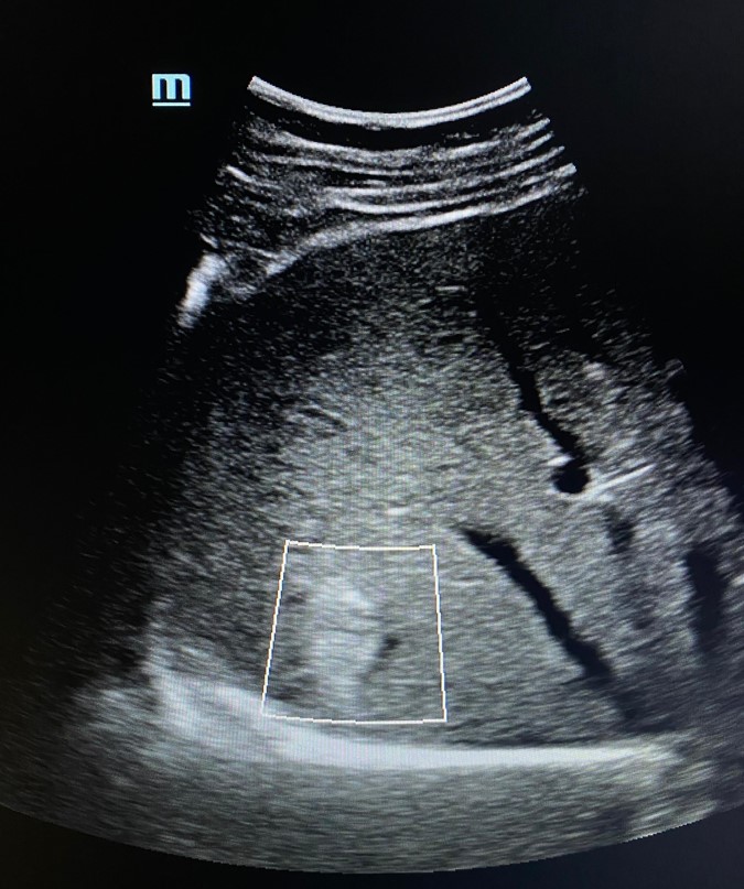
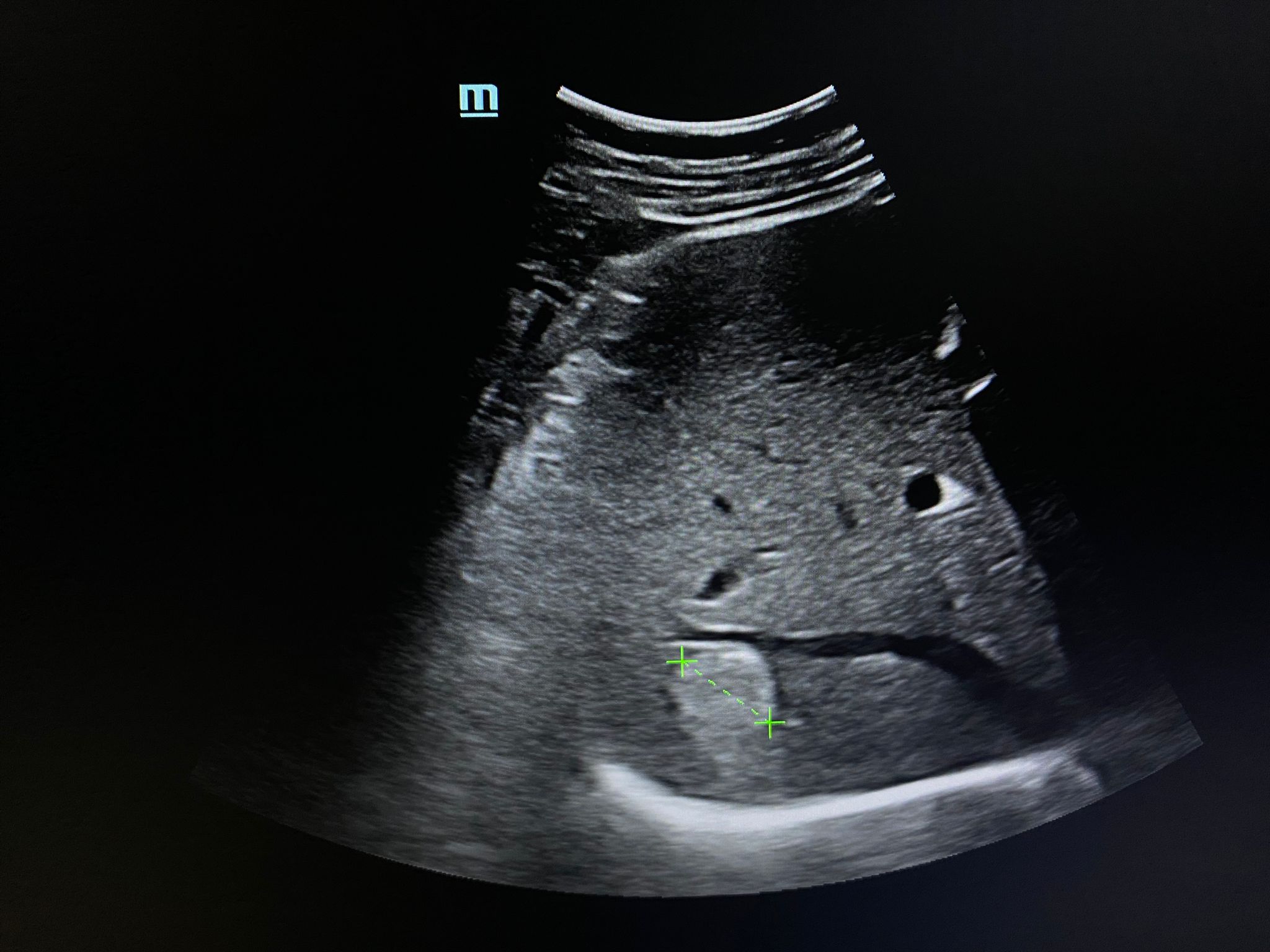
Como hallazgos, se aprecia un aumento moderado y difuso de la ecogenicidad hepática, ya descrito en ecografías previas, además de algunas áreas más hipoecoicas de límites geográficos en cara anterior de la bifurcación portal que pudieran corresponder a zonas de parénquima libre de grasa. Pero además, en el lóbulo hepático derecho, se aprecia una LOE solitaria hiperecogénica, de bordes irregulares, bien delimitada, con un halo hipoecoico y con registro Doppler negativo.

Juicio clínico, diagnóstico diferencial, concordancia con el hospital (en su caso)

LOE hepática a filiar.

Decisiones adoptadas: tratamiento, planes de actuación

Dado que la lesión no se encontraba descrita en Ecografías y TC realizados dos años atrás, se realiza nueva interconsulta de forma reglada al servicio de Digestivo del Hospital Dr. José Molina Orosa y se pone en conocimiento el caso para intentar agilizar los trámites.

Evolución y seguimiento

Al mes de la interconsulta, se realiza un TC abdominal, que no es concluyente y recomiendan realizar una RMN para mayor caracterización. La RMN valora una formación nodular de características inespecíficas, aunque sugiere malignidad; el resto de la exploración es normal. Ante los hallazgos, se realiza biopsia ecoguiada de la lesión (resultado está aún pendiente).

Conclusiones y aplicabilidad para la medicina de familia

Se pone de manifiesto la utilidad de disponer de la ecografía en los Centro de Salud. El adiestramiento correcto y su accesibilidad nos ha permitido, en este caso, agilizar un proceso diagnóstico y terapéutico que, por los cauces habituales, muy probablemente, se hubiese demorado mucho más.

Otro ejemplo, de tantos, de cómo una herramienta inocua y con capacidad diagnóstica, ha incrementado nuestra capacidad resolutiva, optimizando las derivaciones, disminuyendo los tiempos de espera y mejorando la satisfacción de los usuarios.

 


Comunicaciones y ponencias semFYC: 2025; Comunicaciones: Casos clínicos. ISSN: 2339-9333

Autores

Andújar Romero, Juan José
CS de San Bartolomé. Lanzarote
Bordón Pastor, Óscar Vicente
CS de San Bartolomé. Lanzarote
Pallàs Morales, Marta
CS de San Bartolomé. Lanzarote