Comunicaciones: Casos clínicos

Ecografía en el ámbito de la Atención Primaria (Póster)

Ámbito del caso (Atención Primaria, servicios de Urgencias o atención domiciliaria)

Atención Primaria.

Motivos de consulta

Dolor abdominal en hipocondrio derecho.

Historia clínica

Antecedentes personales relevantes, anamnesis, exploración física y lugar que ocupa en ella la ecografía

Paciente mujer, con antecedentes de HT y dislipemia, en tratamiento con enalapril 25 mg cada 24 h. 

Refiere que desde hace una semana presenta dolor en hipocondrio derecho, que irradia a epigastrio y zona escapular derecha. El dolor se agudiza tras la ingesta y se acompaña de náuseas y algún episodio puntual de vómitos. No refiere fiebre ni ictericia. Ya presentó episodios similares hace 2 meses, que se autolimitaron, en relación con transgresiones dietéticas. No refiere otro tipo de clínica por aparatos. En tratamiento sintomático con Paracetamol 1 g a demanda, con discreta mejora del cuadro. En la exploración física, el paciente se encuentra normotenso y afebril. No ictérico. Presenta una auscultación cardíaca y pulmonar anodina. En la exploración abdominal presenta un abdomen blando y depresible, sin masas ni megalias, doloroso a la palpación en hipocondrio derecho, tiene los ruidos preservados, Murphy y PPL negativos.

Se solicita ecografía abdominal para descartar presencia de litiasis.

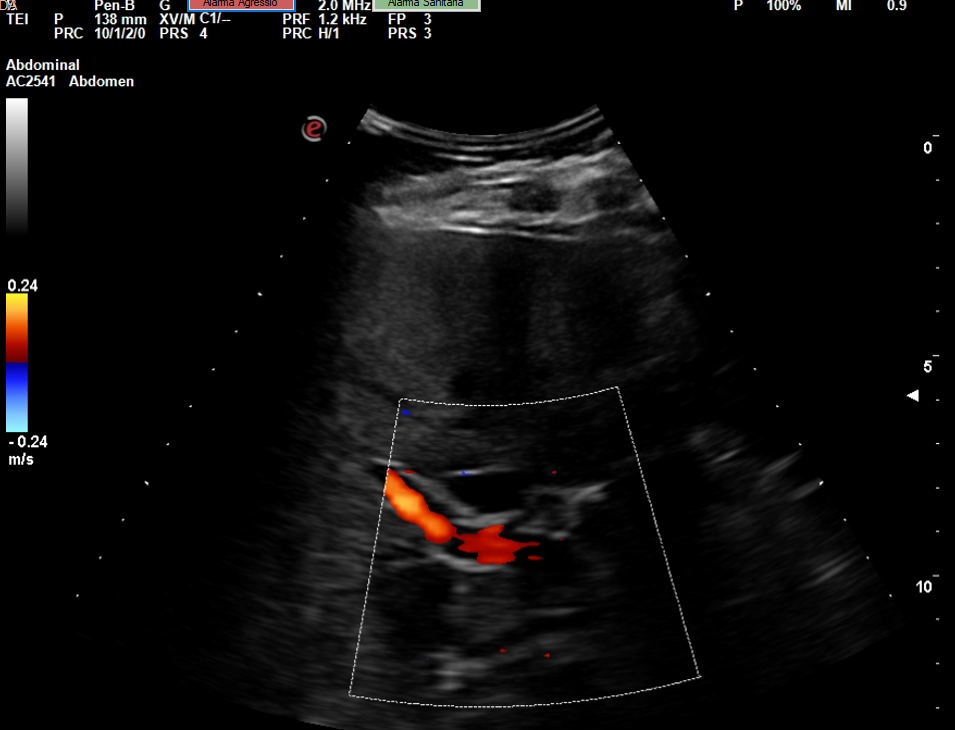
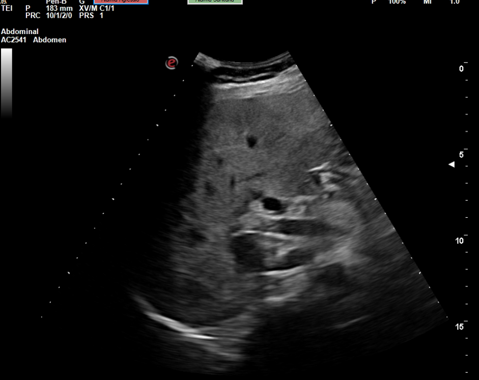
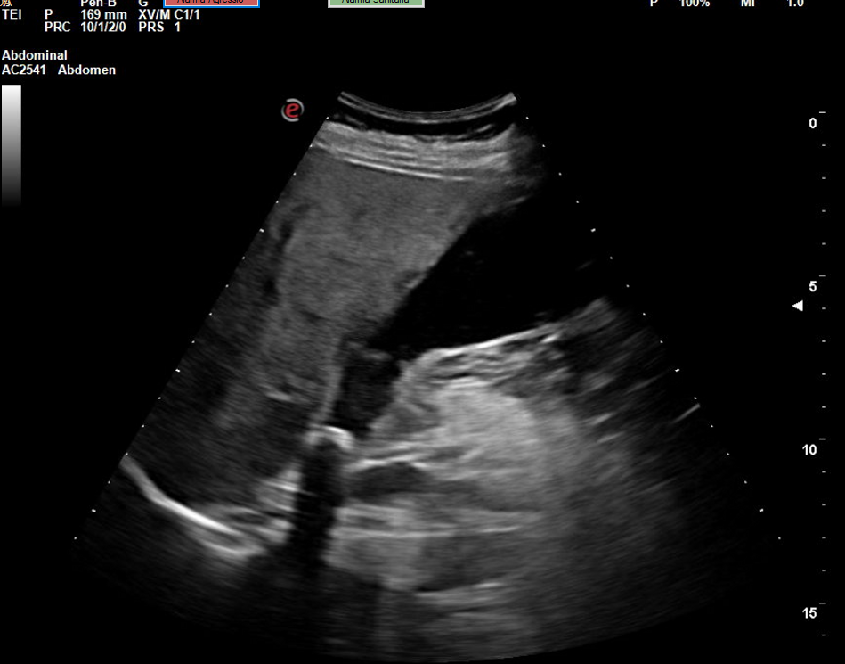
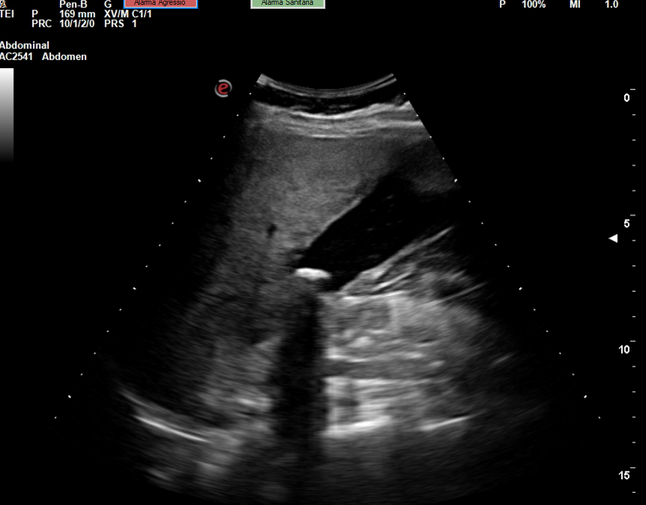
Descripción de los hallazgos ecográficos y las imágenes más relevantes para la resolución del caso

Se realiza la ecografía abdominal en el ambulatorio, donde se objetiva colelitiasis con el colédoco en el límite superior de la normalidad (4,4 mm), también presenta esteatosis hepática grado I. El resto de la ecografía no presenta hallazgos de interés.

Otras pruebas complementarias realizadas (si existen)

Se realiza una analítica donde no presenta alteraciones en el hemograma, presenta función renal conservada con ionograma en rango. No presenta elevación de RFA ni alteración del perfil hepático.

Juicio clínico, diagnóstico diferencial, concordancia con el hospital (en su caso)

Colelitiasis con colédoco en el límite de la normalidad.

Decisiones adoptadas: tratamiento, planes de actuación

Se ajusta tratamiento analgésico y se dan normas higiénico-dietéticas y se deriva a cirugía para valoración.

Evolución y seguimiento

Por el momento, la paciente está pendiente de visita con cirugía y no ha vuelto a reconsultar. 

Conclusiones y aplicabilidad para la medicina de familia

Por el momento, la paciente está pendiente de visita con cirugía y no ha vuelto a reconsultar. 

 

 


Comunicaciones y ponencias semFYC: 2025; Comunicaciones: Casos clínicos. ISSN: 2339-9333

Autores

Conejos Jiménez, Ramon
EAP Centre. Hospitalet de Llobregat
Monforte Rodríguez, Vanessa
EAP Centre. Hospitalet de Llobregat
Sanchez Gomez, Natalia
EAP Centre. Hospitalet de Llobregat