Comunicaciones: Casos clínicos

Ecografía... ¡Hasta en los catarros! (Oral)

Ámbito del caso (Atención Primaria, servicios de Urgencias o atención domiciliaria)

Atención Primaria.

Motivos de consulta

Catarros.

Historia clínica

Antecedentes personales relevantes, anamnesis, exploración física y lugar que ocupa en ella la ecografía

Se presentan dos casos habituales en consulta en otoño:

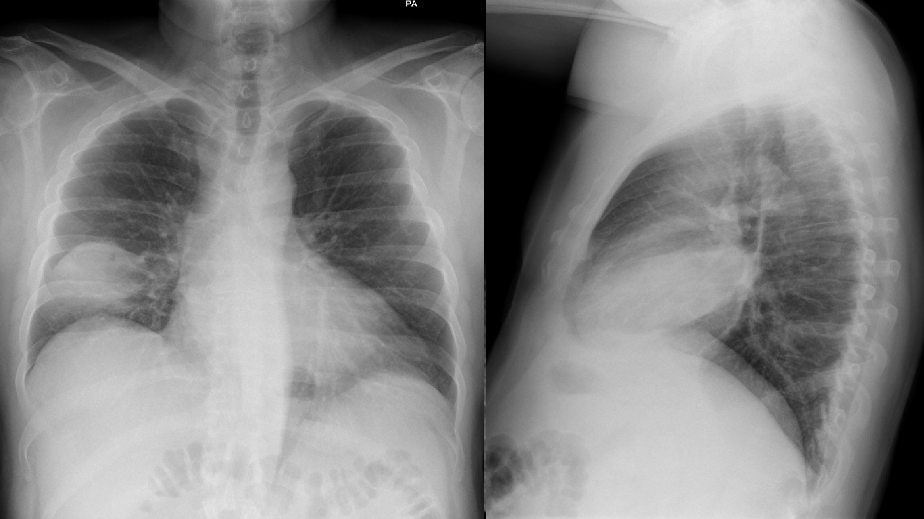
  1. Hombre de 56 años sin antecedentes de interés que acude por fiebre de 38 ºC de tres días de evolución con leve disnea, sin otra sintomatología acompañante. Saturación 98% y temperatura 36,8 ºC. La auscultación pulmonar muestra unos dudosos crepitantes en base derecha, por lo que se pide una radiografía de tórax que revisará al día siguiente su médico en control presencial, resultando normal (figura 1a).
  2. Hombre de 53 años con antecedente de poliartritis seronegativa, asma leve y gota. En tratamiento con febuxostat, colchicina, naproxeno y corticoides en recaídas. Desde hace 10 días presenta tos, expectoración blanquecina y el primer día fiebre de 38,5 ºC. Afebril hasta ayer con nuevo pico de 38 ºC. Auscultación pulmonar normal.

Se hace ecografía pulmonar en ambos casos.

Descripción de los hallazgos ecográficos y las imágenes más relevantes para la resolución del caso

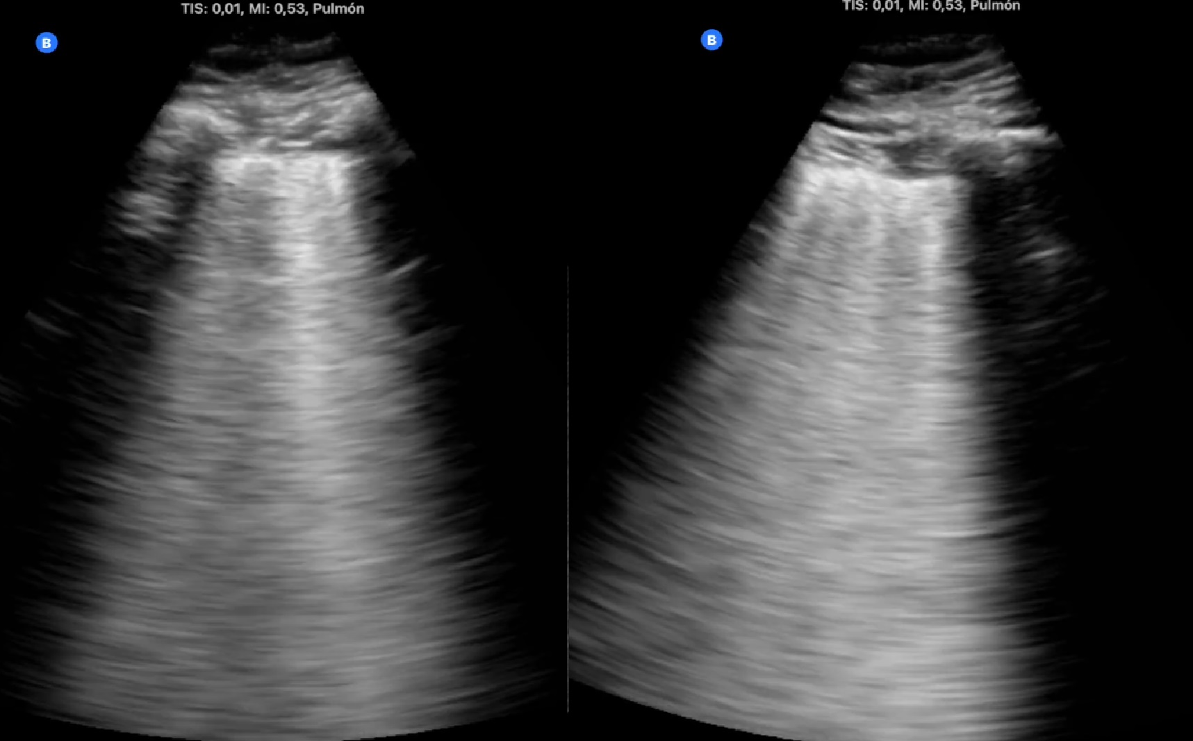
  1. Pequeña consolidación con líneas B adyacentes en la base derecha (figura 1b).
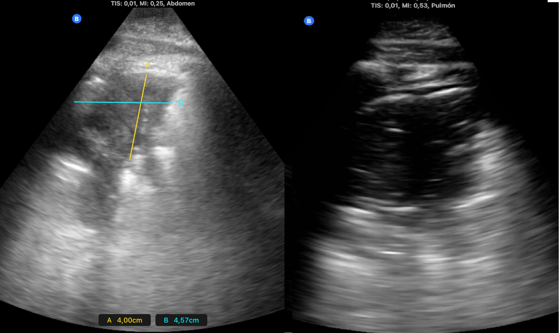
  2. Consolidación de mayor tamaño (figura 2), con zonas de pulmón blanco y líneas B confluentes adyacentes a la misma (figura 3), en zona anterior y lateral derechas. Se vuelve a auscultar apreciando sólo leve disminución de murmullo vesicular en la zona.

Otras pruebas complementarias realizadas (si existen)

  1. Radiografía de tórax normal previa a la ecografía.
  2. Radiografía de tórax con consolidación en lóbulo medio tras los hallazgos ecográficos (figura 4). 

Juicio clínico, diagnóstico diferencial, concordancia con el hospital (en su caso)

Neumonías adquiridas en la comunidad.

Decisiones adoptadas: tratamiento, planes de actuación

Tratamiento con Amoxicilina en ambos casos, realizando seguimiento clínico y ecográfico.

Evolución y seguimiento

Desaparición de síntomas en los primeros dos días. Seguimiento ecográfico que muestra la desaparición de la neumonía a los 15 días en el primer caso y reducción paulatina del tamaño de la lesión en el segundo.

Conclusiones y aplicabilidad para la medicina de familia

Se trata de dos casos en los que los hallazgos clínicos y las pruebas complementarias convencionales no hubieran llevado al diagnóstico ni tratamiento adecuados. En el primer caso por una radiografía normal y en el segundo por sintomatología no sospechosa que podría no haber indicado dicha radiografía. La disponibilidad de ecógrafo en la consulta facilita su utilización de inmediato tras la auscultación, detectando las lesiones y consiguiendo una mayor precisión diagnóstica y terapéutica.

 

 


Comunicaciones y ponencias semFYC: 2025; Comunicaciones: Casos clínicos. ISSN: 2339-9333

Autores

Barragán Santos, Beatriz
CS Mar Báltico. Madrid
Regueiro Toribio, Paula
CS Mar Báltico. Madrid
Asenjo Calvo, Mar
CS Mar Báltico. Madrid