V Jornadas de Ecografía de la semFYC

9 y 10 de febrero de 2024

Comunicaciones: Casos clínicos

Ecografía pulmonar en urgencias de Atención Primaria... Más allá del covid (póster)

Ámbito del caso

Atención Primaria.

Motivos de consulta

Mujer de 64 años de edad que acude al centro de Atención Primaria porque desde hace 15 días, al volver de un viaje a Almería presenta clínica de instauración progresiva de tos seca, astenia y dispnea de moderados esfuerzos sin ortopnea. No fiebre ni expectoración. Niega dolor torácico.

Historia clínica

Enfoque individual

 

No antecedentes patológicos de interés.
Jubilada hace 4 meses. Trabajó en una panadería los últimos 5 años.
A la exploración física paciente afebril, saturación O2 94% y auscultación respiratoria con crepitantes bibasales. No presenta edemas distales.
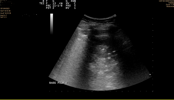
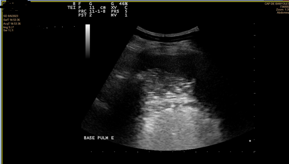
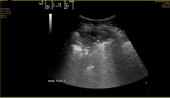
Se realiza ecografía pulmonar a pie de cama.

 

Hallazgos ecográficos

En la ecografía se objetiva irregularidad en la línea pleural, líneas B coalescentes (light beam) y un patrón de consolidación pulmonar en ambas bases pulmonares (I > D).

Pruebas complementarias

Se realizan test rápidos de virus respiratorios, incluyendo COVID, que resultan negativos.

Juicio clínico, diagnóstico diferencial, identificación de problemas

Ante estos hallazgos, ¿estaríamos ante patología cardíaca de debut o ante una posible infección respiratoria?

Tratamiento y planes de actuación

Se deriva a Urgencias hospitalaria con sospecha de neumonía bilateral pendiente de filiar.

En la Rx de tórax de urgencias presenta un patrón de infiltrados bilaterales con imagen de condensación nivel de base pulmonar izquierda, se inicia tratamiento antibiótico y la paciente es dada de alta a su domicilio.

Evolución

Desde la consulta de Atención Primaria se realiza seguimiento clínico y ecográfico posterior a la visita a urgencias no observando mejoría con el tratamiento antibiótico pautado por lo que se decide volver a derivar a la paciente para valorar ingreso en el servicio de neumología y completar estudio.
La paciente ingresa con OD de neumonía bilateral no filiada que no responde a tratamiento y finalmente se diagnostica de NOC (neumonía organizada criptogénica).

Conclusiones (y aplicabilidad para la Medicina de Familia)

Importancia de la ecografía clínica como una herramienta más en nuestra consulta diaria para ayudarnos en la toma de decisiones y en el seguimiento de nuestros pacientes.

Concienciar a las direcciones de Atención Primaria del valor de esta exploración complementaria, para que mejoren la accesibilidad a ecógrafos de calidad en nuestra consulta del día a día.

Formación continuada en ecografía clínica a los profesionales de Atención Primaria.


Comunicaciones y ponencias semFYC: 2025; Comunicaciones: Casos clínicos. ISSN: 2339-9333

Autores

Páez Regadera, Carme
Cap Banyoles. Girona
Sinyol Gispert, Berta
Cap Banyoles. Girona
Ràfols Crestani, Anna
Cap Banyoles. Girona