V Jornadas de Ecografía de la semFYC
9 y 10 de febrero de 2024
Enfoque individual
Paciente mujer de 33 años que acude a urgencias por tos seca y fiebre de hasta 38,5 ºC, de unas 3 semanas de evolución. Fue valorada en urgencias, siendo diagnosticada de Faringitis aguda, y pautándose Azitromicina 500 mg 1/24H 3 días (terminando hace 5 días la pauta), la familia refiere leve mejoría durante el tratamiento.
Hoy la familia vuelve a traerla por aumento de la fiebre, al igual que la tos seca, sin expectoración. Niegan atragantamientos y refieren buena deglución en domicilio. Niegan también infecciones respiratorias de repetición, desconociendo si existe RGE.
Hallazgos ecográficos
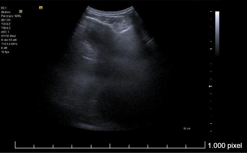
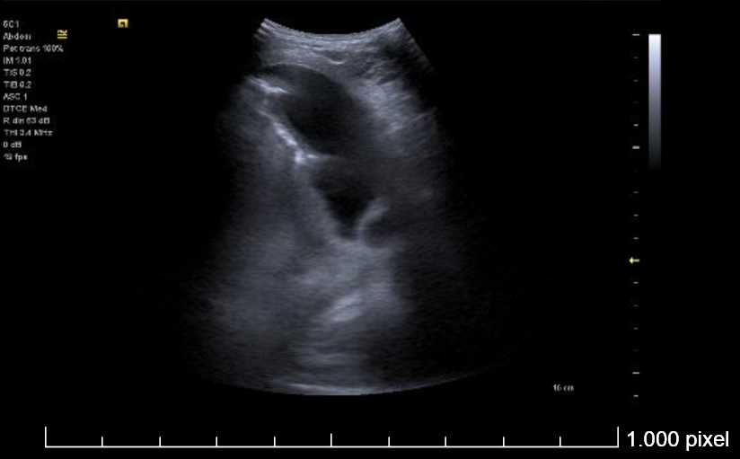
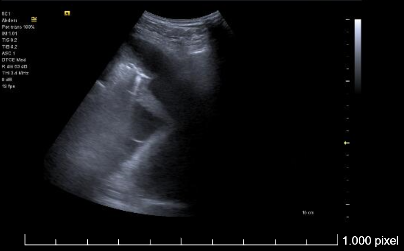
Ecografía torácica:
Derrame pleural izquierdo de 4 espacios intercostales, libre, hipoecogénico, sin ecos internos. Lóbulo pulmonar inferior izquierdo con imagen de patrón mixto (Intersticial y consolidación).
Se realiza toracocentesis diagnóstica y evacuadora con la paciente en decúbito lateral derecho. Se drenan un total de 550 cc en total de LP serohemático (pH en gasómetro 7.58).
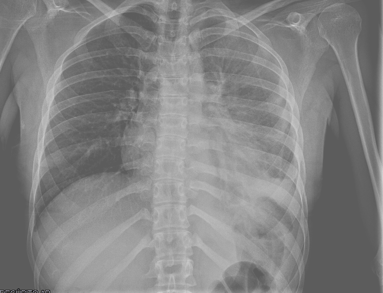
Pruebas complementarias
Juicio clínico, diagnóstico diferencial, identificación de problemas
Tratamiento y planes de actuación
Evolución
Permaneció ingresada durante 10 días. En consulta de revisión posterior al alta, se evidenció recuperación completa del cuadro sin secuelas aparentes.
La ecografía clínica, al ser una prueba dinámica, es útil en el diagnóstico y valoración de pacientes no colaboradores con sospecha de patología respiratoria.