V Jornadas de Ecografía de la semFYC

9 y 10 de febrero de 2024

Comunicaciones: Casos clínicos

El aumento silente del riesgo cardiovascular, visible por ecografía (póster)

Ámbito del caso

Desarrollado en el ámbito urbano de la Atención Primaria.

Motivos de consulta

Varón de 61 años de edad que acude asintomático para una revisión preventiva. Refiere como preocupación que su padre ha sido operado de las carótidas.

Historia clínica

Enfoque individual

Entre los antecedentes personales constan dislipemia y tabaquismo activo de 18 paquetes/año, sin medicaciones previas. No refiere clínica en la anamnesis. En la exploración física se evidencia tensión arterial de 135/88 mmHg, índice de masa corporal de 24,3 kg/m2, con auscultación cardiopulmonar normal y sin soplos carotídeos. Ante los antecedentes personales y familiares se decide la evaluación de las carótidas por ecografía en atención primaria.

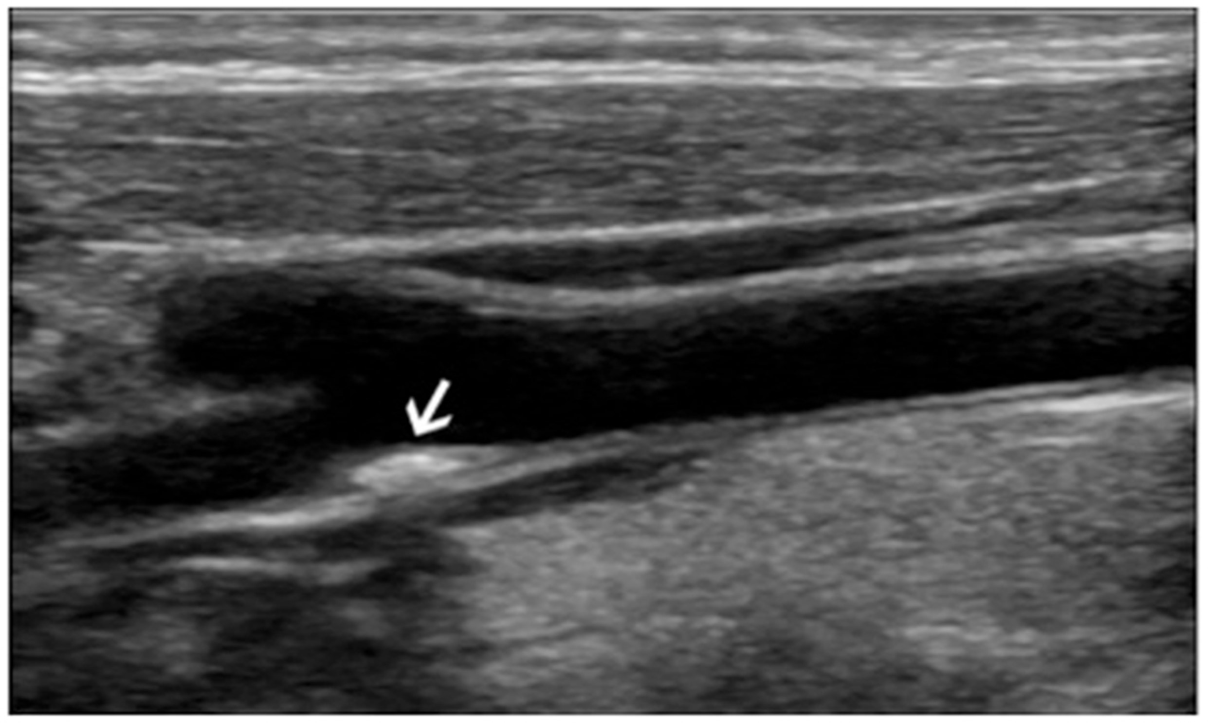
Hallazgos ecográficos

En la ecografía se evidencia placa de ateroma en bifurcación carotídea derecha con grosor de íntima-media de 0,8 mm.

Pruebas complementarias

Analítica: Colesterol total 265, LDL 122, resto de parámetros normales. Espirometría: Cociente CVF/VEF1 0,75, CVF 85%, VEF1 78%.

Juicio clínico, diagnóstico diferencial, identificación de problemas

Nuestro paciente, previo a las pruebas complementarias presentaba un riesgo cardiovascular moderado, según REGICOR del 11%. Tras realizar la ecografía carotídea y diagnosticarse de ateromatosis subclínica, indicador de enfermedad vascular, el riesgo cambia a muy alto riesgo cardiovascular.

Tratamiento y planes de actuación

Se decide iniciar tratamiento con atorvastatina/ezetimiba, y en paralelo un plan de deshabituación tabáquica junto a la educación para la salud (dieta mediterránea y ejercicio físico).

Evolución

El paciente se capta para realizar controles sucesivos en AP de su riesgo cardiovascular.

Conclusiones (y aplicabilidad para la Medicina de Familia)

La intervención realizada a este paciente ha cambiado tras la realización de una ecografía en AP. El hallazgo de ateromatosis carotídea puede verse hasta en un 70% de los pacientes con bajo-moderado riesgo cardiovascular, a pesar de ello las guías de práctica clínica no proponen un cribado de manera general. La mayor disponibilidad de ecografía en AP quizás pueda cambiar esta recomendación hacia una búsqueda más activa para mejorar el pronóstico de la enfermedad vascular.


Comunicaciones y ponencias semFYC: 2025; Comunicaciones: Casos clínicos. ISSN: 2339-9333

Autores

Fernández Rodríguez, Roberto Carlos
CS Pola de Siero
Aispuru Lanche, Gualberto Rodrigo
CS Pola de Siero
Vigal García, Noelia
CS Pola de Siero