V Jornadas de Ecografía de la semFYC

9 y 10 de febrero de 2024

Comunicaciones: Casos clínicos

El edema, la vacuna y el coche (póster)

Ámbito del caso

Servicio de Urgencias

Motivos de consulta

Edema de extremidad inferior izquierda (EII)

Historia clínica

Enfoque individual

Paciente de 76 años sin antecedentes personales de interés, que consulta por edema indoloro y progresivo en EII y frialdad de 72 horas de evolución, después de vacunarse de gripe y COVID. No presenta otros datos de alarma ni refiere cirugía, inmovilización ni antecedentes oncológicos en los últimos meses.

Un mes antes, consultó por edema en pie ipsilateral tras un viaje largo en coche; con dímero D 1800 y una escala de Wells -1 es dada de alta al domicilio con resolución del episodio.

Estable hemodinámicamente y con una auscultación normal, en la exploración física (EF) destaca un aumento del perímetro de la EII con respecto a la contralateral de > 3 cm, de raíz del miembro hasta el pie, leve cianosis y frialdad, con una exploración sensitivomotora sin alteraciones y pulsos conservados. Se pasa la escala de Wells obteniendo un riesgo moderado y mientras llega el resultado de las pruebas, se realiza una ecografía a pie de cama. 

Hallazgos ecográficos

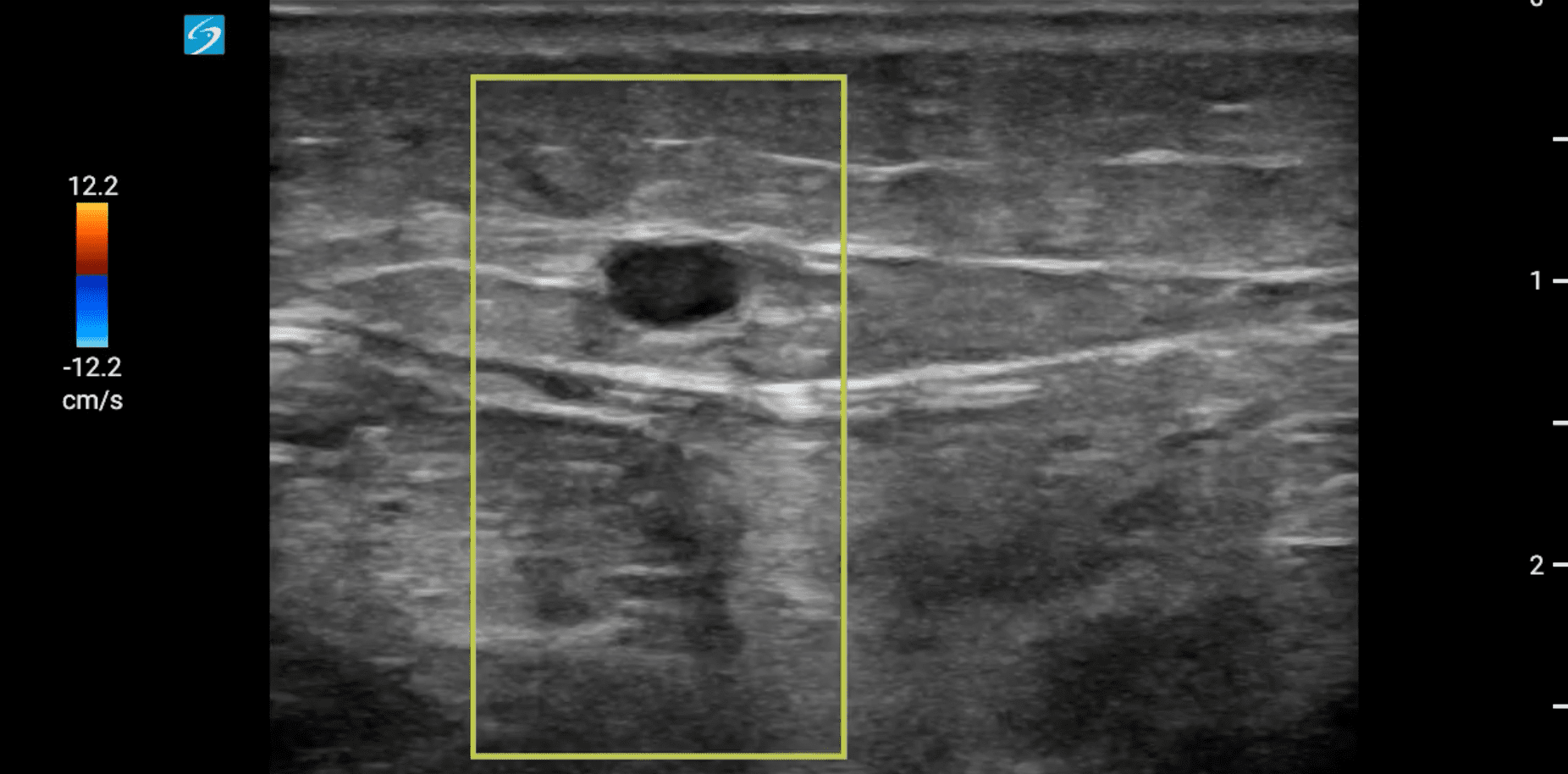
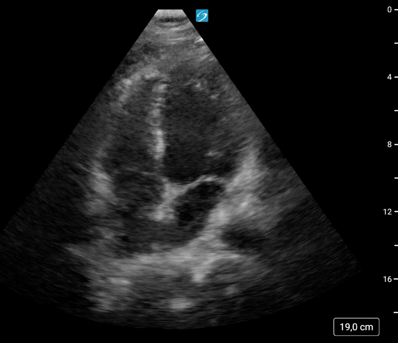
Se localiza ecográficamente la vena femoral común con una imagen hipoecogénica que no colapsa con a la compresión y que se extiende por femoral superficial hasta poplítea. Tras hallazgos, se realiza también una ecografía cardíaca, con un diámetro de visu VD/VI < 1 y con una función cardíaca conservada, con resultado en escala PESI de riesgo bajo.

Pruebas complementarias

Llega el resultado de las pruebas donde destaca un dímero D > 20000, siendo resto de la analítica, ECG y radiografía de tórax estrictamente normales.

Juicio clínico, diagnóstico diferencial, identificación de problemas

Como diagnóstico diferencial se valoran celulitis e insuficiencia venosa crónica. Se realiza una ecografía reglada que confirma el diagnóstico de sospecha de trombosis venosa profunda (TVP) extensa subaguda.

Tratamiento y planes de actuación

 Se anticoagula y se ingresa para observación.

Evolución

Buena evolución clínica.

Conclusiones (y aplicabilidad para la Medicina de Familia)

En el diagnóstico de la TVP, la ecografía a pie de cama se ha convertido en una herramienta imprescindible dentro de la EF. Diversos estudios han demostrado que es una prueba con una alta sensibilidad (96%) y especificidad (97%) tras un pequeño entrenamiento con una curva de aprendizaje rápida; motivo por el cual es casi obligatorio incluirlo en la EF de todos los paciente con sospecha de TVP.
 
 
 
 

Comunicaciones y ponencias semFYC: 2025; Comunicaciones: Casos clínicos. ISSN: 2339-9333

Autores

Ramos García, Alba María
Ambulatorio Irún Centro. Gipuzkoa
Oregi Belaustegi, Irati
Ambulatorio Hondarribia. Gipuzkoa
Erguin , Alex
Ambulatorio Hondarribia. Gipuzkoa