V Jornadas de Ecografía de la semFYC

9 y 10 de febrero de 2024

Comunicaciones: Casos clínicos

El impacto de no realizar una ecografía en Atención Primaria (póster)

Ámbito del caso

Urgencias, servicio de Urología.

Motivos de consulta

Paciente que llega a Urgencias por una disnea de 3-4 días de evolución, rápidamente progresiva. Clínica que se acompaña de lumbalgia de más de 7 meses de evolución.

Historia clínica

Enfoque individual

Paciente de 56 años sin alergias medicamentosas, con los siguientes antecentes personales: meniscopatía e insuficiencia venosa crónica. Colostasis disociada pendiente de estudio.
Intervenciones quirúrgicas: Hernia inguinal derecha, recientemente de pterigium.
A la llegada a Urgencias, el paciente se encuentra con buen estado general, consciente y orientado, taquipneico, con ingurgitación yugular a 30º. AC: rítmico sin soplos. AP: normal.
Abdomen: con gran masa pétrea en hipocondrio derecho y epigastrio, que llega prácticamente hasta pelvis. Adenopatía pétrea de 5 cm en zona inguinal derecha.
Analítica de Urgencias con Dímero D 64000 (motivo por el cual se inicia HBPM a dosis terapéuticas).
Ecografía de abdomen y angioTC que confirma TEP.

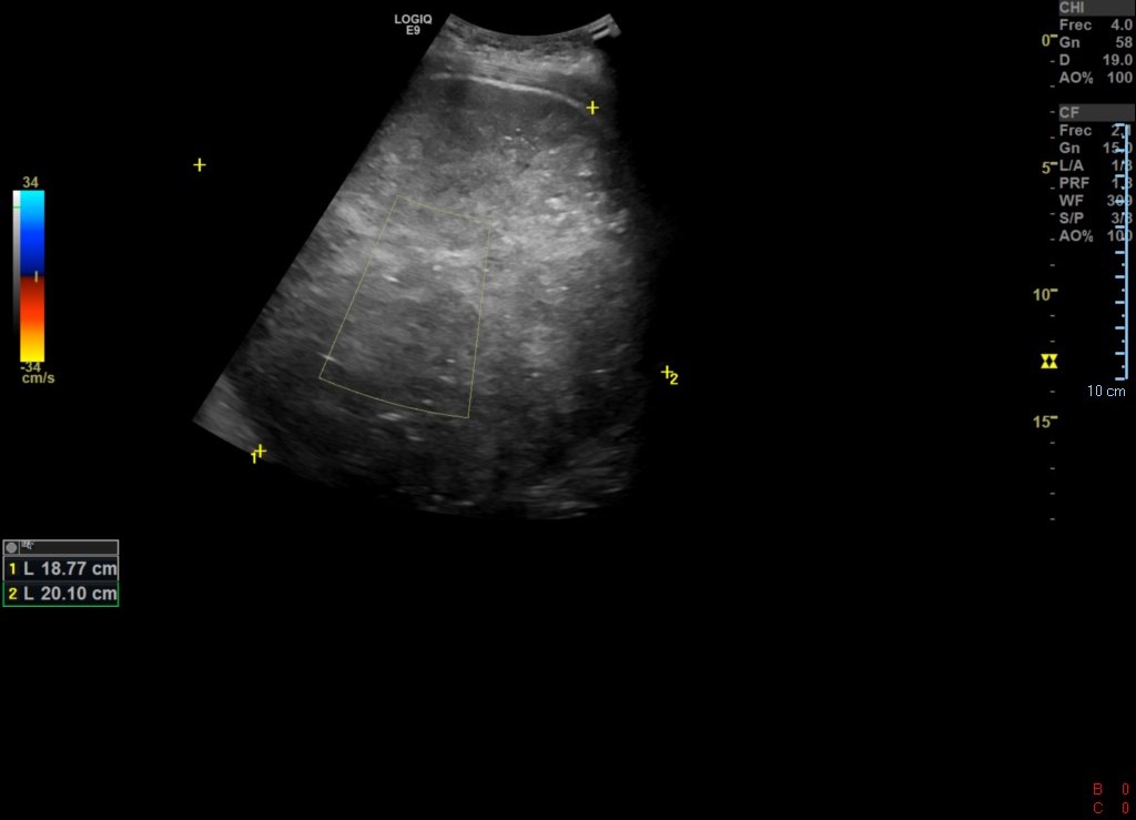
Hallazgos ecográficos

Ecografía de abdomen de Urgencias: se observa gran LOE pélvico abdominal ecogenicidad heterogénea, con hígado aumentado de tamaño y con imágenes hipoecoicas. Uterohidronefrosis derecha.

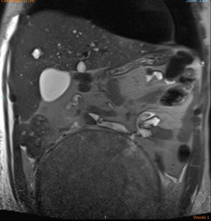
Pruebas complementarias

Durante el ingreso hospitalario se realizó biopsia de adenopatía que concluyó metastásis de neoplasia de estirpe germinal (posible Seminoma).
Igualmente se concluyó el estudio con ecografía de testículo y RNM.

Juicio clínico, diagnóstico diferencial, identificación de problemas

En Atención Primaria, los meses previos fue tratado como una lumbalgia de cáracter crónico. La disnea por la que se derivó fue fruto de un TEP. El diagnóstico definitivo: Seminoma con hígado metastásico con adenopatías derechas y compresión de ilíaca derecha.

Tratamiento y planes de actuación

Se ingresó al paciente para estudio de masa abdominal y control de tromboembolismo pulmonar.

Evolución

Actualmente en seguimiento por Oncología médica, con un pronóstico incierto debido al estadiaje avanzado del Seminoma.

Conclusiones (y aplicabilidad para la Medicina de Familia)

Desde Atención Primaria se banalizó la clínica de una lumbalgia, no haciendo precozmente una exploración exhaustiva ni prueba de imagen ecográfica, pudiendo ello haber acelerado el diagnóstico definitivo.
Además los datos iniciales de colostasis también hubiesen sido suficientes para justificar la realización de una ecografía de abdomen.
Con este caso vemos reflejado la importancia de hacer una sistemática de anamnesis y exploración a todos nuestros pacientes, sin desestimar dolores frecuentes en la población y, por supuesto, la gran relevancia de la ecografía en nuestra consulta, donde una vez más se puede convertir en nuestra aliada para realizar un primer despistaje de los signos de alarma.

 


Comunicaciones y ponencias semFYC: 2025; Comunicaciones: Casos clínicos. ISSN: 2339-9333

Autores

Lara Ojeda, Rosa Maria
CS de Villacarrillo. Jaén
Aranda Bellon, Gloria
CS de Úbeda
Martínez Chaves, Victoria
CS de Villacarrillo. Jaén