V Jornadas de Ecografía de la semFYC

9 y 10 de febrero de 2024

Comunicaciones: Casos clínicos

Epigastralgia en Atención Primaria, más allá del reflujo (póster)

Ámbito del caso

Atención Primaria.

Motivos de consulta

Epigastralgia de un mes de evolución.

Historia clínica

Enfoque individual

Varón de 62 años de edad sin alergias conocidas, exfumador, ex bebedor, Diabetes tipo II, Dislipemia mixta, Hiperuricemia, Obesidad, Cardiopatía isquémica crónica. Enfermedad obstructiva crónica. 
Refiere epigastralgia tras las comidas con reflujo, distensión abdominal, sin náuseas, vómitos o pérdida de peso. Indicamos tratamiento con dieta, antiácido más analítico con test Helicobacter pylori siendo negativo y leve anemia. Exploración abdominal: blando, depresible, dolor en epigastrio, sin masas ni visceromegalias.
Se realiza ecografía clínica.

Hallazgos ecográficos

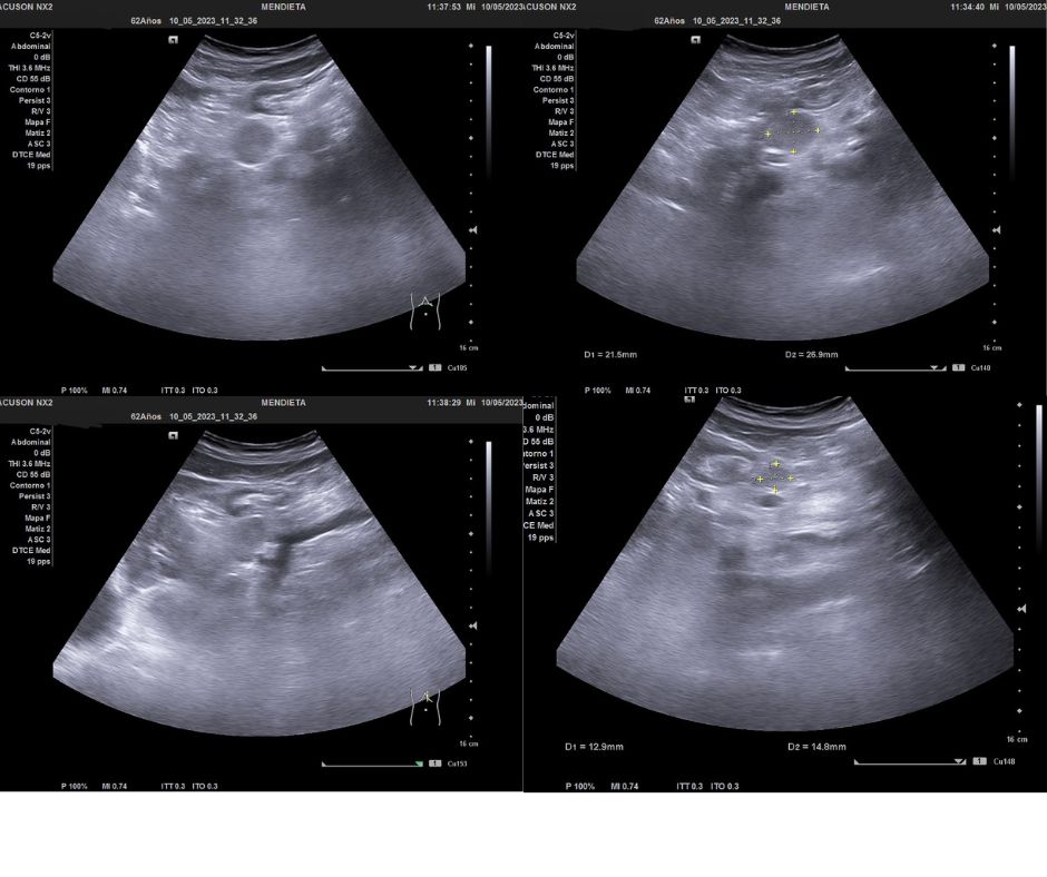
Ecografía clínica abdominal: Dos imágenes hipo/isoecogénicas a nivel de cabeza de páncreas redondeadas que no captan al Doppler color. 
Ecografía cuello: Múltiples imágenes hiporecogénicas, heterogéneas que captan al Doppler color compatibles con adenopatías patológicas. 

Pruebas complementarias

Punción de adenopatía: positiva de malignidad.
Tomografía abdominal: Neoplasia esofágica inferior T2/T3 N1, M1.

Juicio clínico, diagnóstico diferencial, identificación de problemas

Masa pancreática; Adenocarcinoma de esófago metastásico.
Diagnóstico diferencial de cáncer esofágico es con acalasia, cáncer gástrico, estenosis esofágica, reflujo gastroesofágico y Ulcera péptida. De masa pancreática con Tumores de Páncreas, Linfoma, Metástasis, Pancreatitis crónica, Autoinmune y variaciones anatómicas como la grasa local y páncreas anular. 

Tratamiento y planes de actuación

Se remitió a hospital por masa pancreática sospechosa de malignidad.
Realizan analítica con proteína C reactiva de 4 mg/dl, solicitan tomografía abdominal preferente y alta. 
Cinco días después acude a consulta por bulto en cuello y pérdida de peso. Presentaba tumoración pétrea de 2 cm no dolorosa en espacio supraclavicular izquierdo. Realizamos ecografía cuello y remitimos nuevamente al hospital.

Evolución

Realizan Tomografía abdominal, punción de adenopatía y Gastroscopia y biopsia confirman diagnóstico.
Se desestima cirugía e inicia tratamiento con quimioterapia paliativa. Hasta la fecha el paciente se encuentra estable y sin síntomas de tipo digestivo.

Conclusiones (y aplicabilidad para la Medicina de Familia)

La ecografía abdominal es una técnica al alcance del médico de Atención Primaria para el estudio de la epigastralgia, con alta sensibilidad y especificidad en el diagnóstico de masas pancreáticas, como en nuestro paciente que al realizar la ecografía se observó masa en cabeza de páncreas sospechosa de malignidad. El reto diagnóstico para el médico de Atención Primaria que realiza la ecografía es identificar si se trata de una lesión benigna o maligna. Que en nuestro caso las imágenes hacían sospechar proceso maligno.
 
 

Comunicaciones y ponencias semFYC: 2025; Comunicaciones: Casos clínicos. ISSN: 2339-9333

Autores

Mendieta Lagos, Mª Nieves
UBS Arenal. CS Platja De Palma. Palma de Mallorca
Roca Pujol, Jaime
CS Martí Serra. Marratxí. Palma de Mallorca
Vega De Mera, María Teresa
UBS Arenal. CS Platja De Palma. Palma de Mallorca