V Jornadas de Ecografía de la semFYC

9 y 10 de febrero de 2024

Comunicaciones: Casos clínicos

Es solo una piedrecita en el camino (póster)

Ámbito del caso

Servicio de Urgencias Hospitalarias

Motivos de consulta

Dolor lumbar y hematuria

Historia clínica

Enfoque individual

Paciente varón de 43 años, con antecedentes personales de hipertensión arterial esencial en tratamiento con enalapril 10 mg y hernia de hiato con clínica de reflujo gastroesofágico para lo que toma lansoprazol 30 mg al día.

Consulta por cuadro de dolor lumbar derecho no relacionado con sobreesfuerzo desde esta mañana que se ha ido intensificando con el día hasta ser casi invalidante, con varios episodios eméticos asociados mientras se traslada al hospital. Al aportar muestra de orina, evidencia hematuria que no había tenido hasta el momento, refiriendo solo cierta disuria sin fiebre en el día anterior que había asumido que era por no haber ingerido suficiente líquido.

La auscultación cardio-respiratoria es anodina, a nivel abdominal presenta dolor a la palpación profunda en flanco derecho, irradiado a hipogastrio, sin defensa. Puño-percusión renal derecha positiva, izquierda negativa. Ante la elevada sospecha clínica de cólico nefrítico derecho, se decide realizar ecografía clínica para descartar hidronefrosis asociada al cuadro.

Hallazgos ecográficos

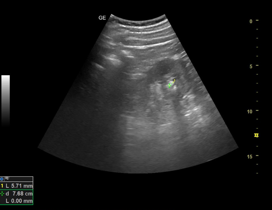
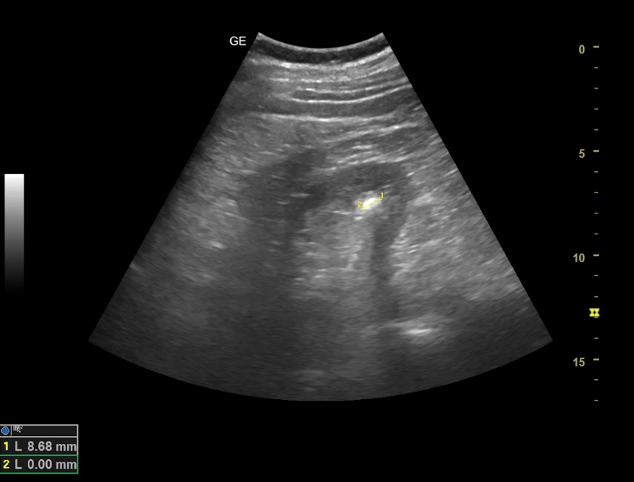
Ambos riñones son de tamaño similar considerándose normales y no apreciando hidronefrosis asociada. En el interior del riñón derecho se aprecia litiasis renal única que proyecta sombra posterior de diámetro máximo de 8,68 mm y potencial responsable del cuadro.

Pruebas complementarias

Analítica con hemograma y bioquímica anodinas, sin elevación de los niveles de creatinina. El estudio del sedimento urinario mostraba hematuria sin leucocituria ni proteinuria como único hallazgo.

Juicio clínico, diagnóstico diferencial, identificación de problemas

Cólico nefrítico/meteorismo/pielonefritis.

Tratamiento y planes de actuación

Durante su estancia en urgencias al paciente se le pautó tratamiento analgésico hasta conseguir un adecuado control del dolor con EVA 2/10 pautando también tratamiento con tamsulosina clorhidrato para continuar en domicilio, pudiendo ser dado de alta a domicilio al no presentar datos agudos obstructivos.

Evolución

Tras seguimiento por su Médico de Familia, en días posteriores la clínica del paciente fue remitiendo hasta desaparecer la hematuria y el dolor sin precisar más medicación.

Conclusiones (y aplicabilidad para la Medicina de Familia)

La ecografía también resulta útil en el estudio de patología urinaria/renal, pudiendo visualizarse con relativa facilidad las litiasis renales, si existen, así como medir el tamaño de los riñones y descartar dilatación por cuadro obstructivo.
 
 
 
 

Comunicaciones y ponencias semFYC: 2025; Comunicaciones: Casos clínicos. ISSN: 2339-9333

Autores

Tena Santana, Gonzalo
CS de Valverde del Camino.
Plata Martinez, Juan José
CS de Valverde del Camino.
Linares Canalejo, Anaís María
CS de Isla Chica. Huelva