V Jornadas de Ecografía de la semFYC

9 y 10 de febrero de 2024

Comunicaciones: Casos clínicos

Esta lesión es nueva (póster)

Ámbito del caso

Atención Primaria.

Motivos de consulta

Síndrome constitucional, náuseas y vómitos.

Historia clínica

Enfoque individual

  • Antecedentes médicos: fibrilación auricular, diabetes mellitus tipo 2, enfermedad pulmonar obstructiva crónica, hipertensión portal, enfermedad renal crónica, dislipemia. 

En tratamiento con apixaban, bisoprolol, insulina, dapaglifozina, semaglutida, oxígeno crónico domiciliario, terapia inhalatoria, espironolactona, torasemida, atorvastatina.

  • Antecedentes familiares: hermano con cáncer de colon.
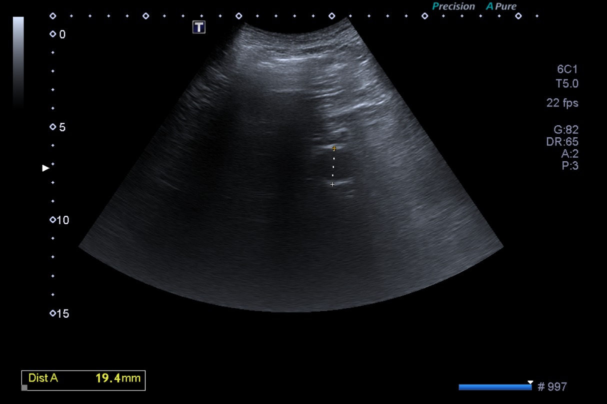
  • Anamnesis y exploración: el paciente consultó hace un año por dolor en miembros inferiores, que se iniciaba con la deambulación y cedía con el reposo. Con exploración osteomuscular normal y sin palparse pulsos pedios, se solicitó ecografía para descartar aneurisma de aorta e iliacas. (Ecografía 1).

Consulta ahora por astenia, hiporexia, dudosa pérdida de peso, náuseas y vómitos no relacionados con la ingesta.

Hallazgos ecográficos

  • Ecografía 1 (hace 1 año): segmento de aorta visible de 2 cm de diámetro, arterias ilíacas no accesibles. Leve ectasia de venas suprahepáticas y vena esplénica. Ligera dilatación de la vía biliar intrahepática. Hígado de morfología y ecogenicidad conservada, nódulo ecogénico bien delimitado en lóbulo derecho de 2,5 cm, compatible con hemangioma.
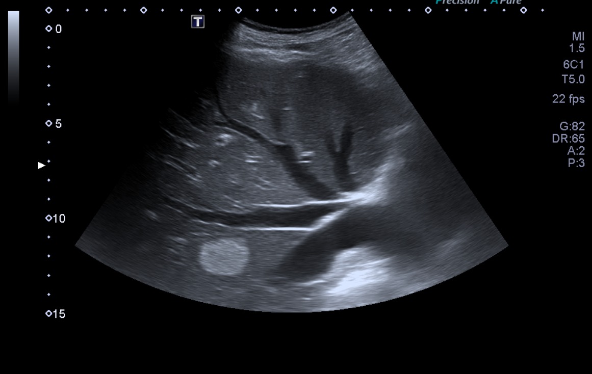
  • Ecografía 2 (actual): lesión hiperecogénica en lóbulo hepático izquierdo, no visualizada en el estudio previo. Pared de vesícula biliar engrosada globalmente, 5 mm.

Pruebas complementarias

  • Analítica sanguínea: discreta elevación de enzimas de colestasis y bilirrubina a expensas de la directa, velocidad de sedimentación globular 54 mm/hora.
  • Sangre oculta en heces: negativa

Juicio clínico, diagnóstico diferencial, identificación de problemas

En el contexto de la sintomatología del paciente, los antecedentes, y las características de la imagen hepática de nueva aparición en ecografía, se plantea el diagnóstico de una probable metástasis hepática.

Tratamiento y planes de actuación

Se solicita ampliación de estudio mediante pruebas de imagen y analíticas.

Evolución

Pendiente de confirmar origen con TAC abdominal (esta semana).

Conclusiones (y aplicabilidad para la Medicina de Familia)

  • La disponibilidad de la ecografía en consulta nos permite reexplorar de manera inocua para el paciente, ante la aparición de nuevos datos clínicos y cambios en la situación clínica, para así orientar nuestra sospecha diagnóstica y poder actuar de manera precoz.
  • La coordinación con otros especialistas del ámbito hospitalario y el registro de las exploraciones en historia clínica electrónica hace posible comparar los hallazgos ecográficos, observar su evolución y cambios.

 


Comunicaciones y ponencias semFYC: 2025; Comunicaciones: Casos clínicos. ISSN: 2339-9333

Autores

Ramos Sánchez, Paula
CS Arrabal. Zaragoza
Pueyo Gascon, Diego
Consultorio de Bronchales. Albarracín. Teruel
Velasquez Chavez, Gary
CS Arrabal. Zaragoza