Comunicaciones: Casos clínicos

Estableciendo objetivos de bienestar (Oral)

Ámbito del caso (Atención Primaria, servicios de Urgencias o atención domiciliaria)

Atención Primaria.

Motivos de consulta

Hematuria con coágulos de repetición.

Historia clínica

Antecedentes personales relevantes, anamnesis, exploración física y lugar que ocupa en ella la ecografía

Hombre de 88 años con AP de carcinoma urotelial papilar de bajo grado no infiltrante y nefrolitiasis bilaterales conocidas desde 2022, se decidió vigilancia. Acude por episodio de hematuria tras meses asintomático y disuria. A la exploración física presenta molestias en hipogastrio con PPC renal bilateral negativa. Realizamos ecografía para valorar causa de nueva hematuria.

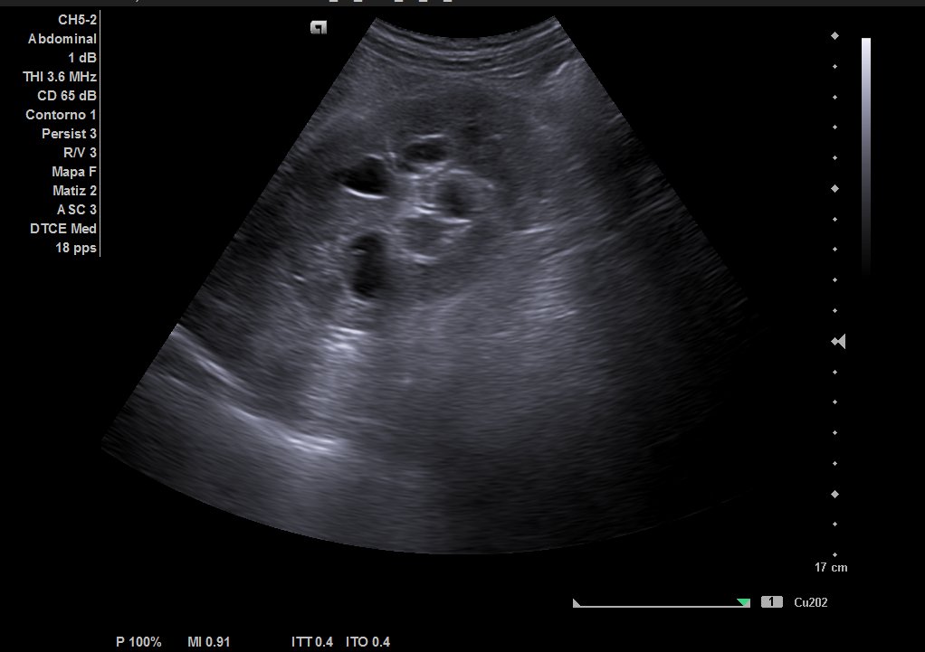
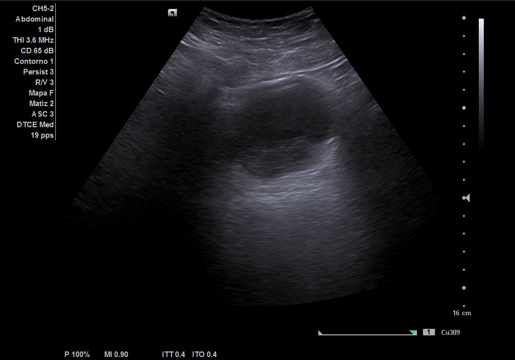
Descripción de los hallazgos ecográficos y las imágenes más relevantes para la resolución del caso

Ecografía urinaria: vejiga bien replecionada, observándose masa en trígono de 20 x 12 mm. Riñón derecho con dilatación pielocalicial moderada, sin hidronefrosis. Riñón izquierdo sin alteraciones reseñables.

Otras pruebas complementarias realizadas (si existen)

Comparamos con informes previos de ecografías, objetivando cambios. Valorando la clínica (STUI y hematuria) y las imágenes, sospechamos de invasión tumoral uretral y crecimiento de tumor. Solicitamos analítica, observando empeoramiento renal con creatinina de 2.1 y FG 27.28.

Ecografía reglada: ureterohidronefrosis grado III secundaria a lesión en uréter medio-distal. Vejiga parcialmente replecionada con material ecogénico en suelo vesical con aparente doppler color e interior. Posible coágulo vs lesión subyacente.

UroTAC 2023: Hallazgos sugestivos de tumor urotelial en tercio medio de uréter derecho que condiciona ectasia ureteropielocalicial grado II.

Juicio clínico, diagnóstico diferencial, concordancia con el hospital (en su caso)

Carcinoma de uréter derecho con extensión de enfermedad.

Ante la hematuria teníamos que discernir entre patología de tracto superior o inferior de vía urinaria; constatando el progreso de su patología urológica de base.

Decisiones adoptadas: tratamiento, planes de actuación

El tratamiento definitivo requería nefroureterectomía. Al ser un paciente de 88 años con afectación renal; acordamos manejo conservador según las preferencias del paciente y la familia. Interrumpiendo las pruebas complementarias innecesarias.

Evolución y seguimiento

En todo este transcurso ha tenido varias complicaciones que hemos tratado de manera conservadora con el apoyo de cuidados paliativos, medicina infecciosas y urología. Evitando ingresos hospitalarios, disminuyendo la iatrogenia y el encarnizamiento terapéutico.

Conclusiones y aplicabilidad para la medicina de familia

Aunque el diagnóstico era previo, la disponibilidad de la ecografía en la consulta nos ayuda a la toma de decisiones ante un pronóstico vital incierto.

Es imprescindible contar con un equipo que responda a las necesidades de la familia y el paciente. La colaboración con cuidados paliativos, junto a enfermería de atención primaria; ha contribuido a cumplir con sus expectativas de vida, respetando su autonomía.


Comunicaciones y ponencias semFYC: 2025; Comunicaciones: Casos clínicos. ISSN: 2339-9333

Autores

Carrasco Claros, Sara
CS Mazarrón. Cartagena
Fuentes Almagro, Hortensia
CS Isaac Peral. Cartagena
Artero Alemán, Bibiana
CS Mazarrón. Cartagena