V Jornadas de Ecografía de la semFYC

9 y 10 de febrero de 2024

Comunicaciones: Experiencias

Experiencia asistencial y docente sobre el manejo de la disnea en Atención Primaria tanto en consulta como en domicilio (póster)

Objetivos

Manejo tanto en diagnóstico como en evolución del paciente con disnea.

Descripción

A través de una serie de casos clínicos surgidos tanto en la consulta como en los domicilios, hemos llevado a cabo una revisión de cómo aplicar la ecografía clínica para mejorar el diagnóstico diferencial del paciente con disnea y su posterior seguimiento. Tras la realización de dicha revisión bibliográfica nos reunimos los responsables de ecografía del centro de salud para realizar una serie de sesiones clínica y compartir nuestra experiencia y plantear un algoritmo sencillo de aplicar en nuestra práctica diaria.

Conclusiones

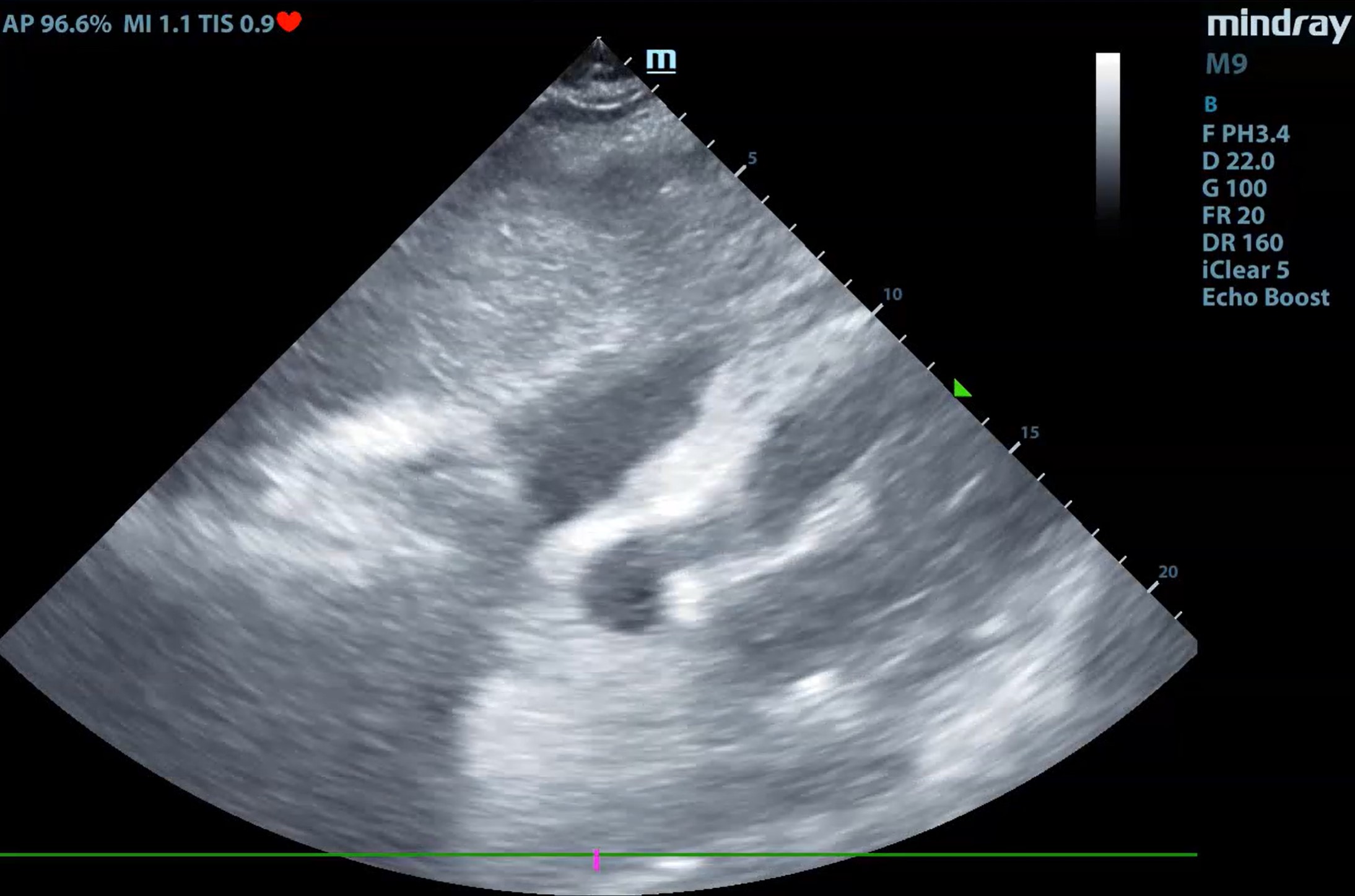
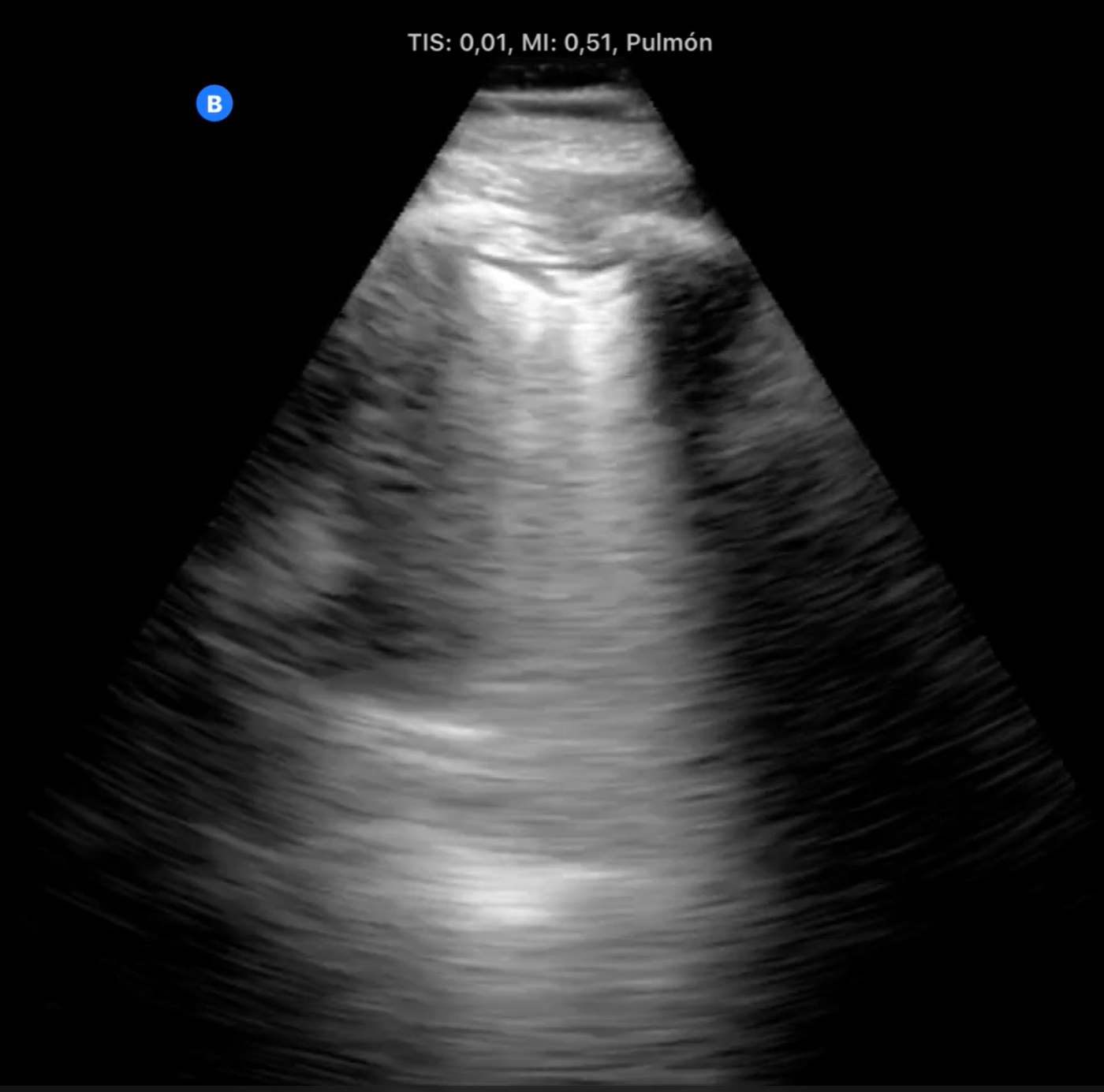
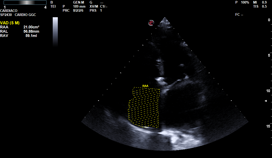
La disnea es una sensación subjetiva de dificultad para respirar siendo común a múltiples situaciones clínicas de elevada prevalencia. Las causas más frecuentes, las de origen respiratorio y las de causa cardiaca, incluso comparten factores de riesgo, por lo que en ocasiones coinciden en el mismo paciente. En estas circunstancias no resulta sencillo solo por la clínica intuir cual puede ser el origen de la disnea. La ecografía multiórgano, constituye una herramienta muy útil para determinar o descartar el origen cardiaco de la disnea. Siendo imprescindible en los pacientes inmovilizados, en los que los ecógrafos ultraportables nos ha aportado un nuevo manejo de la disnea en el paciente domiciliario.

Aplicabilidad

La ecografía multiórgano junto con la mejora de la portabilidad de los ecógrafos nos permiten hacer un diagnóstico más certero del paciente que consulta por disnea tanto en el centro de salud como en su domicilio.
 
 
 

 

Comunicaciones y ponencias semFYC: 2025; Comunicaciones: Experiencias. ISSN: 2339-9333

Autores

Rodríguez Pascual, Nieves
CS Ciudades. Getafe
Calderín Morales, María del Pino
CS Ciudades. Getafe
Tejedor Molledo, Alejandra
CS Ciudades. Getafe
López Moreno, Cristina
CS Ciudades. Getafe