Comunicaciones: Experiencias

Experiencia en ecografía abdominal: un mismo dolor y distinto diagnóstico (Póster)

Objetivos de la experiencia

Fomentar el uso de la ecografía clínica en la consulta del médico de familia para mejorar el manejo del dolor agudo abdominal.

Descripción de la experiencia

Se realiza formación a residentes sobre ecografía abdominal y uso en patología urgente y lo aplicamos. Os mostramos casos que acuden con clínica muy similar. 

Dos mujeres con dolor de 15 días de evolución en hipocondrio derecho y Murphy positivo, se realiza ecografía para descartar patología vesicular.

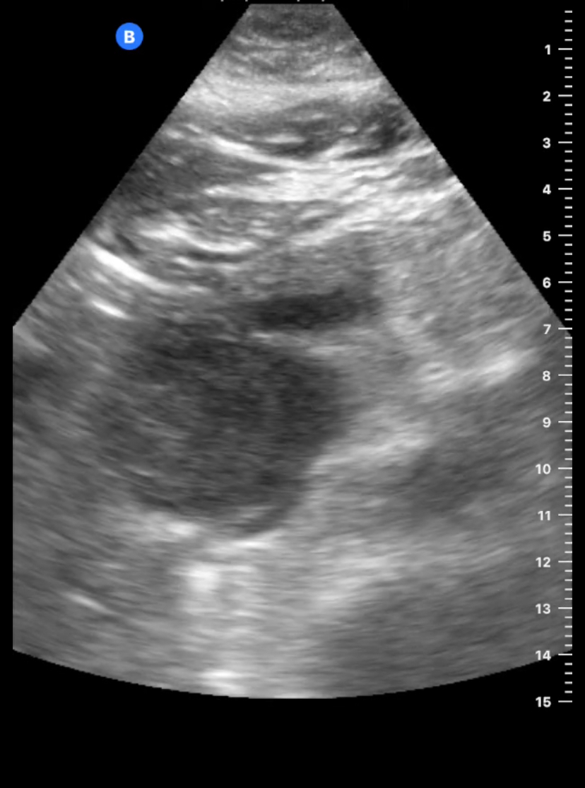
Paciente 1: vesícula con paredes muy engrosada, con contenido en su interior y empastamiento sugerente de abscesificación, derivada a urgencias y diagnóstico de colecistitis flemonosa.

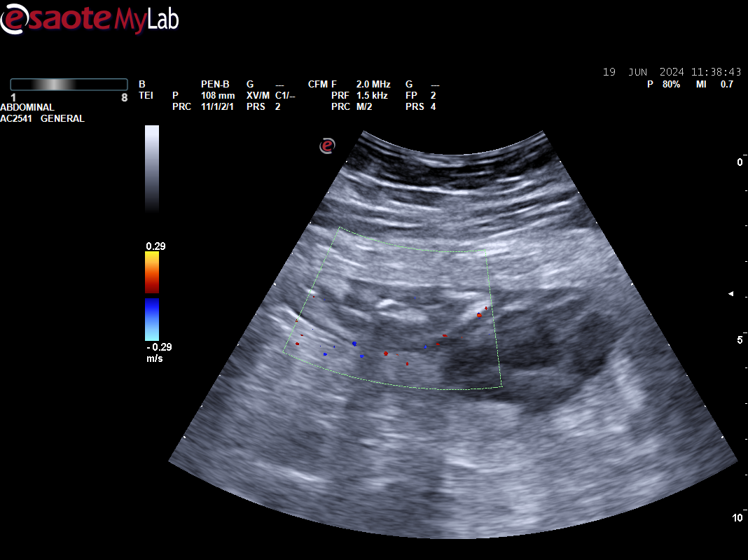
Paciente 2: vesícula distendida sin ecos en su interior, en línea media detectamos masa redondeada de 3-4 cm, Doppler positivo bajo proceso uncinado, dado dolor intenso no controlado se remite a urgencias e ingresa para estudio de posible masa pancreática.

Y tres pacientes con dolor en FID de 3 días de evolución y Blumberg positivo y se realiza eco:

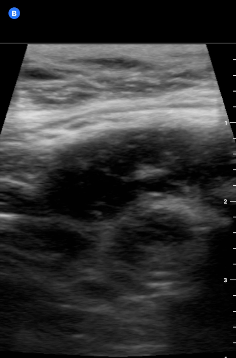
Paciente 3: con sonda lineal vemos asa intetinal engrosada (imagen de donut) y heterogenicidad alrededor del asa sugerente de abscesificación, se remite urgencias y se diagnostica de apendicitis abscesificada.

Paciente 4: en ovario derecho imagen anecoica con septos y tabiques con contenido en su interior se deriva a ginecólogo preferente ante sospecha de quiste complicado. 

Paciente 5: asa intestinal incarcerada no reductible, se remite a urgencias donde es intervenida.

Conclusiones

Con la ecografía vemos que casos con clínica similar que con exploración habitual no podríamos diferenciar las distintas patologías, la ecografía nos ayuda en la orientación diagnóstica, siendo más efectivos en nuestras derivaciones.

Aplicabilidad

  • El uso de la ecografía clínica en la atención al paciente urgente nos permite mejorar nuestra incertidumbre y orientación diagnóstica.

 

 

 


Comunicaciones y ponencias semFYC: 2025; Comunicaciones: Experiencias. ISSN: 2339-9333

Autores

Tejedor Molledo, Alejandra
CS Las Ciudades. Getafe, Madrid
Calderín Morales, María del Pino
CS Las Ciudades. Getafe, Madrid
Otero Merayo, Maria Del Rocio
CS Las Ciudades. Getafe, Madrid
Hermosa Hernán, Juan Carlos
CS Las Ciudades. Getafe, Madrid