V Jornadas de Ecografía de la semFYC

9 y 10 de febrero de 2024

Comunicaciones: Casos clínicos

«Hace unas semanas me caí...» (póster)

Ámbito del caso

Atención Primaria

Motivos de consulta

Bulto en pierna derecha

Historia clínica

Enfoque individual

Varón de 89 años que acude a consulta por bulto en pierna derecha. Refiere que hace 15 días tras una caída contusión de ambas piernas con heridas en ambas con buena evolución de las mismas. Hace alrededor de una semana, nota pequeño bulto doloroso en región pretibial derecha con aumento del calor local y eritema. Afebril. Sin otra clínica asociada.

Atención Primaria:

  • Hipertensión arterial en tratamiento farmacológico.
  • Diabetes Mellitus en tratamiento con ADO’s.
  • Insuficiencia venosa.
  • Cardiopatía isquémica.

Exploración física:

  • EID: aumento del calor local, eritema y edema de región pretibial derecha. Pequeño bulto de 1 cm x 2 cm con mínima herida superficial, de tejido blando, fluctuante y dolorosa al tacto. Homans negativo. Pulsos pedios y poplíteos palpables.

Ante la duda diagnóstica de TVP, posible celulitis y/o hematoma subcutáneo, valoramos realizar una ecografía en consulta.

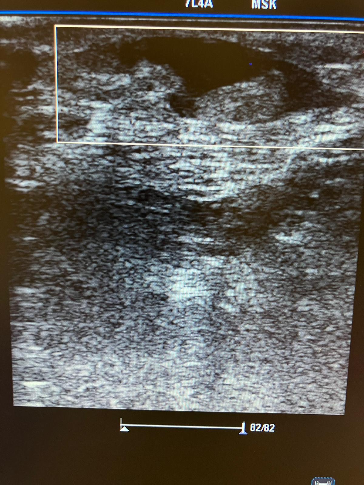
Hallazgos ecográficos

Insonación: pequeña colección líquida con colecciones hipercaptantes en su interior, no captan Doppler color ni Doppler pulsado. Venas poplíteas sin signos de TVP.

Pruebas complementarias

No.

Juicio clínico, diagnóstico diferencial, identificación de problemas

Jucio clínico: Hematoma subcutáneo sobreinfectado
Diagnóstico diferencial: TVP. Celulitis de pierna.

Tratamiento y planes de actuación

Ante sospecha de hematoma subcutáneo con posible sobreinfección, decidimos pautar Cefadroxilo 1 g cada 12 h durante 10 días

Evolución

Mejoría del eritema a los 5 días con menor edema de la pierna. Lo volvimos a valorar a los 10 días encontrándose mucho mejor, ya sin edema ni eritema. En la insonación, persistía misma imagen al inicial hace 10 días, compatible con sero-hematoma de Morell Lavallé.
Ante mejoría sintomática del paciente y comorbilidades presentes, se decide dar de alta con medias compresivas, vigilancia evolutiva explicando signos de alarma por los que reconsultar.

Conclusiones (y aplicabilidad para la Medicina de Familia)

El seroma de Morel-Lavallée (SML) se trata de una enfermedad poco frecuente, secundaria habitualmente a traumatismos directos, y que se caracteriza principalmente por la creación de una cavidad entre el tejido subcutáneo y la fascia muscular que se rellena de sangre y/o linfa.
La ecografía clínica es una gran herramienta en consulta para ayudar al profesional con la incertidumbre y a tomar mejores decisiones terapéuticas, aumentando la seguridad del paciente y en ciertos casos evitar derivaciones a un tercer nivel.

 


Comunicaciones y ponencias semFYC: 2025; Comunicaciones: Casos clínicos. ISSN: 2339-9333

Autores

Erguin , Alex
CS Hondarribia. Osakidetza
Oregi Belaustegi, Irati
CS Hondarribia. Osakidetza
Ramos García, Alba María
CS Irun Centro. Osakidetza