Comunicaciones: Casos clínicos

«Help me! I can’t breathe» (Oral)

Ámbito del caso (Atención Primaria, servicios de Urgencias o atención domiciliaria)

Servicio de urgencias de Atención Primaria (SUAP).

Motivos de consulta

Paciente traído en ambulancia a un SUAP por disnea.

Historia clínica

Enfoque individual: antecedentes personales, anamnesis, exploración, pruebas complementarias, etc.

Hombre 69 años.
+ Antecedentes: EPOC restrictivo grave (Extrabajador mina de diamantes) con oxígeno domiciliario.
+ Anamnesis: Aumento disnea habitual en últimas 48 horas con dolor centrotorácico que le impide respirar con normalidad. No fiebre ni aumento de tos.
+ Exploración: 
- Constantes: Saturación oxígeno 92% (FiO2 21%), 24 respiraciones/minuto, trabajo respiratorio. Tensión Arterial: 112/74. Frecuencia Cardíaca: 92. Temperatura 36,3 ºC. Glucosa 112.
- Auscultación Cardíaca: ruidos cardiacos rítmicos, tonos apagados, no soplos.
- Auscultación Pulmonar: hipofonesis generalizada, no ruidos añadidos.
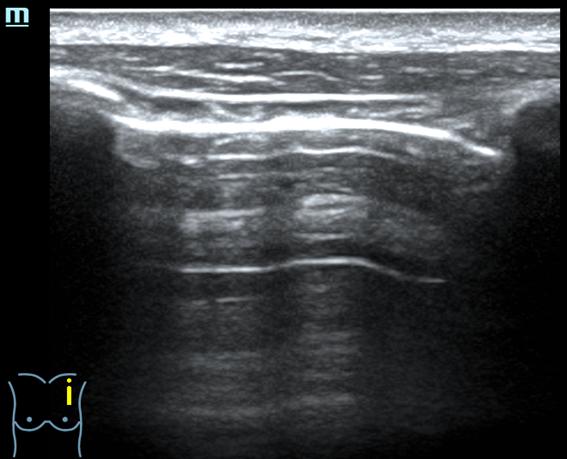
- Ecografía pulmonar (protocolo BLUE): Perfil A en los 4 puntos BLUE anteriores: deslizamiento pleural y líneas A. Signo de la playa en modo M. Puntos PLAPS: deslizamiento pleural, irregularidades pleurales, >2 líneas B.
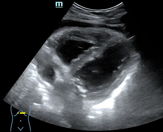
- Ecografía abdominal: ventana subxifoidea: buena contractilidad miocárdica, cámaras de tamaño normal, derrame pericárdico. Corte epigastrio: cava de tamaño y colapsabilidad normal.
- Electrocardiograma (EKG): Taquicardia sinusal, aumento ST cóncavo en todas las derivaciones (excepto AVR, AVL y V1) con descenso del PR. 

Enfoque familiar y comunitario: estudio de la familia y la comunidad (si fuese necesario)

No.

Juicio clínico, diagnóstico diferencial, identificación de problemas

Diagnóstico diferencial: la ecografía pulmonar descarta: neumotórax, derrame pleural y consolidación pulmonar. La ecografía abdominal descarta: tromboembolismo pulmonar, insuficiencia cardíaca y taponamiento cardíaco. 
Juicio clínico: Pericarditis aguda (dolor centrotorácico + ascenso ST en casi todas las derivaciones + derrame pericárdico), pero surgió un problema: el EKG informaba que era un infarto inferior agudo.

Tratamiento y planes de actuación.

Se contacta Cardiólogo de guardia para consensuar actitud. Se decide manejarlo como SCACEST INFERIOR.
Se administra al paciente nitroglicerina sublingual, aspirina vía oral y morfina intravenosa.
Se activa Código Infarto y se traslada en helicóptero al hospital de referencia.

Evolución

Resumen informe Cardiología:

  • EKG: Ritmo sinusal, elevación generalizada del ST en todas las derivaciones.
  • Ecografía transtorácica: buena función ventricular. No valvulopatías. Derrame pericárdico de 1,3 cm.
  • Cateterismo cardíaco: coronarias sin lesiones significativas.
  • Diagnóstico: Pericarditis Aguda con derrame pericárdico asociado.

Conclusiones y aplicabilidad para la medicina de familia

  • Utilidad de la ecografía en un SUAP para la valoración de paciente con disnea y dolor torácico. 
  • Los informes automatizados de los electrocardiógrafos son de gran ayuda, pero a veces pueden confundirnos y dificultar la toma de decisiones.

 

 


Comunicaciones y ponencias semFYC: 2025; Comunicaciones: Casos clínicos. ISSN: 2339-9333

Autores

Diaz Barreiros, Miguel Angel
CS de Tejeda. Las Palmas
Diaz Ramirez, Ana
CS de Tejeda. Las Palmas
Díaz Ramírez, Pablo
CS de Tejeda. Las Palmas