V Jornadas de Ecografía de la semFYC

9 y 10 de febrero de 2024

Comunicaciones: Casos clínicos

Hematuria asintomática. Una imagen que nos alerta (póster)

Ámbito del caso

Atención Primaria.

Motivos de consulta

Mujer de 63 años de edad que acude a control analítico anual.

Historia clínica

Enfoque individual

Exfumadora, Hipotiroidismo. Dislipemia, Depresión.
En analítica se objetiva microhematuria en sedimento, con función renal normal, sin anemia. Niega síndrome miccional, no dolor abdominal ni lumbar. A la exploración abdomen: blando, depresible no masas ni megalias, puño percusión negativa. Se repite sedimento urinario con cultivo orina que es negativo y se confirma  microhematuria. Se decide realizar ecografía clínica en consulta.

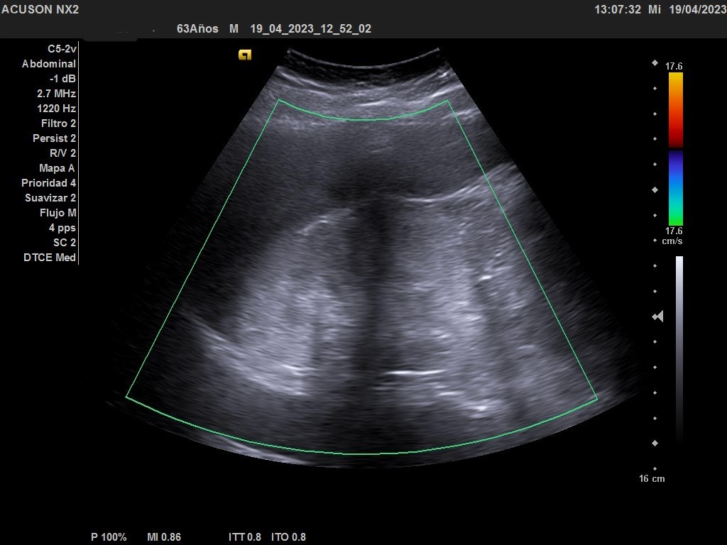
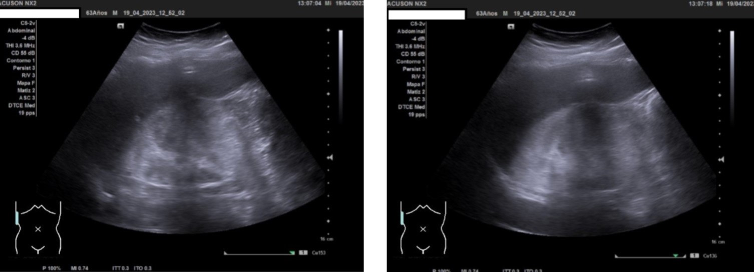
Hallazgos ecográficos

Ecografía clínica urológica: se observa imagen hiperecogénica a nivel de polo superior de riñón derecho que no capta al Doppler color y que mide 10 cm.

Pruebas complementarias

Se solicita citología de orina que es negativa y tomografía abdominal para completar estudio. Este confirma imagen en área suprarrenal derecha de 11 cm que muestra abundante cantidad de grasa macroscópica en su interior, así como también áreas de calcificaciones centrales, hallazgos compatibles con miolipoma suprarrenal derecho.

Juicio clínico, diagnóstico diferencial, identificación de problemas

Diagnóstico: Miolipoma suprarrenal. El diagnóstico diferencial de masa suprarrenal (miolipoma) lo debemos realizar con tumores benignos suprarrenales que contienen grasa, como el Angiomiolipoma, Lipoma y el Adenoma suprarrenal, así como de tumores malignos como el Liposarcoma, Carcinoma suprarrenal y las Metástasis suprarrenales.

Tratamiento y planes de actuación

Se derivó a Urología, que dado el tamaño de la lesión realizó intervención quirúrgica con suprarrenalectomía derecha, extrayendo masa de aproximadamente 12-13 cm. Estudio anatopatológico: glándula suprarrenal derecha de 341 gr de peso que mide 11,2 x 8 x 5,2, de aspecto irregular, adiposo que presenta áreas de cambios hemorrágicos, quísticos y calcificaciones.

Evolución

La paciente presentó buena evolución clínica postoperatoria sin complicaciones.

Conclusiones (y aplicabilidad para la Medicina de Familia)

El mielolipoma suprarrenal es un tumor benigno, compuesto por tejido adiposo y hematopoyético. Suele diagnosticarse de manera incidental, como en nuestro caso que al estudiar la microhematuria y realizar ecografía clínica en consulta de Atención Primaria se objetiva masa en suprarrenal. Este tumor suele ser asintomático como en nuestra paciente y solo en algunos casos pueden causar síntomas como dolor abdominal, masa palpable o hipertensión. El diagnóstico de certeza se puede realizar con tomografía computarizada (TC) o la resonancia magnética nuclear (RMN) y el definitivo con biopsia. Su tratamiento es generalmente conservador, a menos que el tumor sea grande o cause síntomas. Con buen pronóstico.
 
 
 

Comunicaciones y ponencias semFYC: 2025; Comunicaciones: Casos clínicos. ISSN: 2339-9333

Autores

Mendieta Lagos, Mª Nieves
UBS Arenal. CS Platja de Palma. Palma de Mallorca
Roca Pujol, Jaime
CS Martí Serra. Marratxí. Palma de Mallorca
Garcia-Castrillón Menén, Claudia
UBS Arenal. CS Platja de Palma. Palma de Mallorca